C
最終更新日:2025.2.15
We are not selling antibodies. / Nous ne vendons pas d'anticorps. / Wir verkaufen keinen Antikorper.
No vendemos un anticuerpo. / 我們沒銷售抗體 / мы не продавать антило.
抗体は販売していません。
| Anti- | 抗体名 | 略称 | 別名 | HOST | CLONE名 | 適用 |
|---|---|---|---|---|---|---|
| Human | c-erb B-1 | EGFR | →EGF receptor,HER-1,ERBB1 | Rabbit | SP84 | P* |
| c-erb B-2 (HER-2) 研究用試薬 | c-erbB2 | →HER-2, neu, ERBB2 | Rabbit | Poly | P* | |
| Human | c-erb B-2 (HER-2) 体外診断薬 | HER-2 | →HER-2, neu, ERBB2 | Mouse | SV2-61γ | P* |
| Human | c-kit | cKit | →CD117,SCFR,→SCF Ligand,KIT | Rabbit | Poly | P |
| Human | CA-125 | CA125 | Ovarian cancer antigen | Mouse | OV185:1 | P* |
| Human | CA-19-9 | →Sialyl Lewis A,s-LeA | Mouse | C241:5:1:4 | P* | |
| Human | Cadherin(E) | E-Cd | →E-Cadherin,Uvomorulin, cell-CAM12/80,L-CAM |
Mouse | 36B5 | P* |
| Human | Calcitonin | Cal | Rabbit | Poly | P | |
| Human | Caldesmon | CaD | Rabbit | E89 | P* | |
| Human | CALLA | CD10 | →CD10 | Mouse | 56C6 | P* |
| Human | Calponin | CaP | calmodulin-binding troponin-like protein |
Mouse | CALP | P* |
| Human | Calretinin | Calret | Mouse | DAKCarlet1 | P* | |
| Human | Carcinoembryonic antigen | CEA | →CD66e | Mouse | COL-1 | P* |
| Human | Caspase-3 | Casp3 | CPP32,SCA-1,ICE3 | Rabbit | Poly | P* |
| Human | Catenin,β | βCate | →β-Catenin | Mouse | 17C2 | P* |
| Human | CDK4 | CDK4 | EC 2.7.11.22 | Rabbit | D9G3E | P* |
| Human | Caudal-type homeobox 2 (CDX2) | CDX2 | Mouse | DAK-CDX2 | P* | |
| Chondroitin sulfate A | PG4S | →Proteoglycan ΔDi-4S | Mouse | 2B6 | P | |
| Chondroitin sulfate C | PG6S | →Proteoglycan ΔDi-6S | Mouse | 3B3 | P | |
| Human | Chromogranin A | CgA | CGA,CHGA,SP-1 | Mouse | 5H7 | P |
| Human | Cyclin D1 | CCND1 | PRAD1,bcl-1,D11S287,CCND1 | Rabbit | SP4 | P* |
| Human | Cyclin-dependent kinase 4 | CDK4 | EC 2.7.11.22 | Rabbit | D9G3E | P* |
| Human | Cyclo-oxygenase2 (Cox-2) | COX-2 | Prostaglandin H synthase, prostaglandin endoperoxidase |
Rabbit | Poly | P* |
| Human | Cysteine protease p32 | CPP32 | →Caspase-3 | Rabbit | Poly | P* |
| Cytomegalovirus, human | CMV | HHV-5 (Early antigen) | Mouse | DDG9/CCH2 | P | |
| ■ Collagen (COL) ■ | ||||||
| Human | Collagen type I | Coll-1 | Rabbit | Poly | P* | |
| Human | Collagen type II | Coll-2 | Mouse | II-4C11 | P* | |
| Human | Collagen type III | Coll-3 | Goat | Poly | P* | |
| Human | Collagen type IV | Coll-4 | Rabbit | Poly | P* | |
| ■ Complement (C) ■ | ||||||
| Human | Complement C1q subunit | C1q | Rabbit | Poly | P | |
| Human | Complement C3 (C3) | C3 | Rabbit | Poly | P | |
| Human | Complement C4 (C4) | C4 | Rabbit | Poly | P | |
| ■ Complement receptor (CR) ■ | ||||||
| Human | type1, CR1, C3BR | CD35 | →CD35 | Rabbit | EPR6602 | P* |
| Human | type2, CR2, C3DR | CD21 | →CD21, SLEB9 | Mouse | 2G9 | P* |
| ■ Cyclin, CDK, CDKN ■ | ||||||
| Human | Cyclin D1 | CCND1 | PRAD1,bcl-1,D11S287,CCND1 | Rabbit | SP4 | P* |
| Human | Cyclin-dependent kinase 4 | CDK4 | EC 2.7.11.22 | Rabbit | D9G3E | P* |
| → |
||||||
| Human | CDKN1C | p 57 | →p57,Kip-2 | Rabbit | Poly | P* |
| Human | CDKN2A | p 16 | →p16,INK4a,MTS-1 | Mouse | IHC016 | P* |
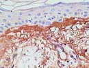
| c-erb B-1 ( ERBB1, Epidermal growth factor receptor:EGFR,HER-1 ) | |
|---|---|
![]() EGFR 肺癌 SCC X400 |
EGFのレセプター(EGFR)は170-180kDaのチロシンキナーゼ活性(EC2.7.10.1)を持つ膜貫通型糖蛋白(前駆体として1210aa)で、 c-erb(鳥類にerythroblastosisを起こすVirus oncogeneの細胞内ホモログという意味) B遺伝子ファミリーのひとつ、染色体7p12-13上のc-erbB1(ERBB1/EGFR) 遺伝子(188.3kb,34Exon)にコードされる。 c-erb B-2 (HER2/neu)とは約50%の塩基配列に相同性があるといわれる。食道や肺の扁平上皮癌に特に陽性率が高いと言われ、生物学的悪性度と相関することが報告されている。一方腺癌では扁平上皮癌より陽性頻度は低いが、EGFRとc-erb B-2の同時発現は特に予後が悪いという報告もある。細胞膜に陽性となるが、ホルマリン固定材料では熱処理が必要。 |
Iressa(R) と EGFR
Iressa(R)(一般名:ゲフィチニブ gefitinib)は手術不能又は再発非小細胞性肺癌を対象として2002年7月に承認された経口投与型の分子標的抗癌剤。EGFRのチロシンキナーゼ活性を阻害し腫瘍細胞の増殖シグナル伝達を抑制する。(※2009年現在、Iressa(R)はアストラゼネカ社より販売されている商品名です。) |
MRPSGTAGAA LLALLAALCP ASRALEEKKV CQGTSNKLTQ LGTFEDHFLS LQRMFNNCEV VLGNLEITYV QRNYDLSFLK TIQEVAGYVL IALNTVERIP LENLQIIRGN MYYENSYALA VLSNYDANKT GLKELPMRNL QEILHGAVRF SNNPALCNVE SIQWRDIVSS DFLSNMSMDF QNHLGSCQKC DPSCPNGSCW GAGEENCQKL TKIICAQQCS GRCRGKSPSD CCHNQCAAGC TGPRESDCLV CRKFRDEATC KDTCPPLMLY NPTTYQMDVN PEGKYSFGAT CVKKCPRNYV VTDHGSCVRA CGADSYEMEE DGVRKCKKCE GPCRKVCNGI GIGEFKDSLS INATNIKHFK NCTSISGDLH ILPVAFRGDS FTHTPPLDPQ ELDILKTVKE ITGFLLIQAW PENRTDLHAF ENLEIIRGRT KQHGQFSLAV VSLNITSLGL RSLKEISDGD VIISGNKNLC YANTINWKKL FGTSGQKTKI ISNRGENSCK ATGQVCHALC SPEGCWGPEP RDCVSCRNVS RGRECVDKCN LLEGEPREFV ENSECIQCHP ECLPQAMNIT CTGRGPDNCI QCAHYIDGPH CVKTCPAGVM GENNTLVWKY ADAGHVCHLC HPNCTYGCTG PGLEGCPTNG PKIPSIATGM VGALLLLLVV ALGIGLFMRR RHIVRKRTLR RLLQERELVE PLTPSGEAPN QALLRILKET EFKKIKVLGS GAFGTVYKGL WIPEGEKVKI PVAIKELREA TSPKANKEIL DEAYVMASVD NPHVCRLLGI CLTSTVQLIT QLMPFGCLLD YVREHKDNIG SQYLLNWCVQ IAKGMNYLED RRLVHRDLAA RNVLVKTPQH VKITDFGLAK LLGAEEKEYH AEGGKVPIKW MALESILHRI YTHQSDVWSY GVTVWELMTF GSKPYDGIPA SEISSILEKG ERLPQPPICT IDVYMIMVKC WMIDADSRPK FRELIIEFSK MARDPQRYLV IQGDERMHLP SPTDSNFYRA LMDEEDMDDV VDADEYLIPQ QGFFSSPSTS RTPLLSSLSA TSNNSTVACI DRNGLQSCPI KEDSFLQRYS SDPTGALTED SIDDTFLPVP EYINQSVPKR PAGSVQNPVY HNQPLNPAPS RDPHYQDPHS TAVGNPEYLN TVQPTCVNST FDSPAHWAQK GSHQISLDNP DYQQDFFPKE AKPNGIFKGS TAENAEYLRV APQSSEFIGA (Sus:83% Mus:85% Rat:85%) |
| c-erb B-2 ( ERBB2, HER-2,neu, CD340 ) | |
|---|---|
![]() c-erbB-2 乳癌 X400 Hercep test score 3+ |
染色体17q21上の c-erb B-2遺伝子がコードする約185kDaの受容体型膜貫通性糖蛋白(前駆体として1255aa)で、 EGFR(c-erb B-1)に類似するところよりHER-2(human EGFR-2)とも、またラットのneuroblastomaから発見されたことにちなんで neu蛋白とも呼ばれる。 c-kit、c-METなどと同様にチロシンキナーゼ活性(EC2.7.10.1)を持ち、リガンドとしてはヘリグリンが報告されている。癌細胞ではEGF、c-erb B-1と共にこの遺伝子の増幅がみられ、腺癌、移行上皮癌などで陽性例が多く、一般的傾向としてその発現強度(陽性細胞率)は組織学的悪性度・核異型度と相関すると言われる。また乳癌ではestrogen receptorとの逆相関が指摘されており、Transtuzumab治療の適応症例選別に使用される。細胞膜に陽性となる。ホルマリン固定材料では熱処理が必要。 |
Herceptin(R) と Hercep test(R)
Herceptin(R)(一般名:トラスツズマブ trastuzumab)はヒト化抗p185HER2モノクローナル抗体による静脈注射用抗癌剤で、乳癌を進行させる腫瘍細胞増殖因子受容体であるHER2をターゲットとし、それを阻害することによって腫瘍細胞増殖を抑制する分子標的治療薬。抗癌剤領域での抗体医薬品の第1号と言われる。米国では98年9月に (U.S. Department of Health and Human Services 98/9/25)、EUでは2000年8月に承認。本邦では2001年5月に薬価収載された。 HER2過剰発現が確認された乳癌症例だけが対象となる(こういうのを個別化医療あるいはテイラーメイド医療という)ため、HER2の事前検査が必要となる。Hercep Test(R)はその検査用に体外診断用医薬品の認可を受けたキット商品であるが、その内容は基本的には従来より行われていた抗HER-2/neu抗体を用いた間接酵素抗体法である。ただ、抗原性の賦活法としての熱処理の条件や陽性対照の選択、結果の判定方法など従来各施設においてそれぞれ独自に工夫検討されていたものが、キットのプロトコールに従うことによって事実上「標準化」されることになる。 病理学的検査法として免疫抗体法加算とは別に保険適応(1120点*,請求コード160173550)となった(13年5月31日保医第144号)(*14年4月1日より950点になった)。 ※Hercep Test(R)はダコ・ジャパン株式会社より販売されている商品名です。なお2009年現在、HER-2の体外診断薬は他の会社からも発売されています。) |
||||||||||||
|
||||||||||||
| 【Hercep Test(R) プロトコールの主要な点】 固定液:10%中性緩衝ホルマリン 固定時間:48時間以内 切片薄切後:6週間以内 熱処理:95-99℃温浴40分 熱処理後の放置時間:20分 陽性対照:培養細胞MDA-231,MDA-175,SK-BR-3 判定方法:染色結果を以下のScoreで示し、Score 2+,3+をHER-2陽性とする。 Score 0 陽性細胞が10%以下 Score 1+ 10%以上の細胞の細胞膜に非連続的(部分的)に弱い陽性 Score 2+ 10%以上の細胞の細胞膜に連続性のある軽度〜中等度陽性像 Score 3+ 10%以上の細胞の細胞膜に連続性のある強い陽性像 (1)特にScore1+と2+の鑑別が重要になる。経験的に言うと、一群の細胞の細胞膜が連続性に陽性となると弱拡大で「網目」状に見える。また陽性強度に応じて細胞質にも弱い均一な発色が見られる。一方Score1+では細胞間差が強く、陽性細胞でも細胞膜に破線状あるいはC字状、もっと弱い場合はドット状に反応が見られ、細胞膜全周性に陽性の細胞はあっても少ない。また細胞質はほとんど染まらない。 (2)この判定基準では陽性細胞は10%以上であれば、30%であれ90%であれ数的な要素は考慮されない。 原則として本リストでは特定のメーカー名、商品名は挙げないことにしています。ここで、固有名詞を挙げたのは最初に体外診断薬の承認を受けた製品の使用経験が一番多かったから例示したに過ぎません。特定の会社、商品を推奨あるいは批判する意図はありませんのでお断りしておきます。なお、HER-2の臨床的検査については「トラスツズマブ病理部会」(連絡先:中外製薬株式会社)より「HER2検査ガイド」が出されています。御参照ください。 平成25年8月、Hercep Testの特定ロットが販売元によって自主回収されましたが、当社では対象ロットは使用していません。 | ||||||||||||
MELAALCRWG LLLALLPPGA ASTQVCTGTD MKLRLPASPE THLDMLRHLY QGCQVVQGNL ELTYLPTNAS LSFLQDIQEV QGYVLIAHNQ VRQVPLQRLR IVRGTQLFED NYALAVLDNG DPLNNTTPVT GASPGGLREL QLRSLTEILK GGVLIQRNPQ LCYQDTILWK DIFHKNNQLA LTLIDTNRSR ACHPCSPMCK GSRCWGESSE DCQSLTRTVC AGGCARCKGP LPTDCCHEQC AAGCTGPKHS DCLACLHFNH SGICELHCPA LVTYNTDTFE SMPNPEGRYT FGASCVTACP YNYLSTDVGS CTLVCPLHNQ EVTAEDGTQR CEKCSKPCAR VCYGLGMEHL REVRAVTSAN IQEFAGCKKI FGSLAFLPES FDGDPASNTA PLQPEQLQVF ETLEEITGYL YISAWPDSLP DLSVFQNLQV IRGRILHNGA YSLTLQGLGI SWLGLRSLRE LGSGLALIHH NTHLCFVHTV PWDQLFRNPH QALLHTANRP EDECVGEGLA CHQLCARGHC WGPGPTQCVN CSQFLRGQEC VEECRVLQGL PREYVNARHC LPCHPECQPQ NGSVTCFGPE ADQCVACAHY KDPPFCVARC PSGVKPDLSY MPIWKFPDEE GACQPCPINC THSCVDLDDK GCPAEQRASP LTSIISAVVG ILLVVVLGVV FGILIKRRQQ KIRKYTMRRL LQETELVEPL TPSGAMPNQA QMRILKETEL RKVKVLGSGA FGTVYKGIWI PDGENVKIPV AIKVLRENTS PKANKEILDE AYVMAGVGSP YVSRLLGICL TSTVQLVTQL MPYGCLLDHV RENRGRLGSQ DLLNWCMQIA KGMSYLEDVR LVHRDLAARN VLVKSPNHVK ITDFGLARLL DIDETEYHAD GGKVPIKWMA LESILRRRFT HQSDVWSYGV TVWELMTFGA KPYDGIPARE IPDLLEKGER LPQPPICTID VYMIMVKCWM IDSECRPRFR ELVSEFSRMA RDPQRFVVIQ NEDLGPASPL DSTFYRSLLE DDDMGDLVDA EEYLVPQQGF FCPDPAPGAG GMVHHRHRSS STRSGGGDLT LGLEPSEEEA PRSPLAPSEG AGSDVFDGDL GMGAAKGLQS LPTHDPSPLQ RYSEDPTVPL PSETDGYVAP LTCSPQPEYV NQPDVRPQPP SPREGPLPAA RPAGATLERP KTLSPGKNGV VKDVFAFGGA VENPEYLTPQ GGAAPQPHPP PAFSPAFDNL YYWDQDPPER GAPPSTFKGT PTAENPEYLG LDVPV |
| c-kit ( KIT,c-Kit,Stem cell factor receptor:SCFR,SCF Ligand,CD117 ) ( 別名:Mast cell growth factor receptor ) | |
|---|---|
![]() c-kit 乳腺 X400 ![]() c-kit 胃 GIST X400 |
c-kit 遺伝子(4q11-12,82.7kb,21 Exon)はネコ肉腫ウィルスにおけるv-kit に対する細胞内 homologであり前癌遺伝子として知られるが、これのコードする145-160kDa程度の膜貫通性蛋白はチロシンキナーゼドメイン(EC2.7.10.1)を細胞内に有し、細胞外ドメインはStem cell factor(SCF)/mast cell growth factorをリガンドとする受容体で、造血、精子形成やメラニン合成に関わっており乳管上皮、メラノサイト、グリア細胞、肥満細胞などに発現している。またCD117としても分類されておりCD34陽性の造血幹細胞の分化・増殖とも関わっていると考えられている。腫瘍細胞において過剰な増幅発現がみられることがあり、特に肺では小細胞癌・大細胞癌で陽性率が高く、扁平上皮癌・腺癌では低いと言われる。血液細胞の腫瘍では一部のAMLで反応するが、ALLでは一般に反応しない。しかし large cell anaplastic lymphomaで発現の増幅が見られるという報告もある。乳腺では正常細胞の方が高率に発現が見られる(陽性対照に良い)のに対し乳癌ではむしろ低いとも言われている。また胃腸管間質腫瘍(GIST)では狭義のGISTでCD34と共に発現するものが多い他、黒色腫、神経芽細胞腫でも陽性になるものがあるという。ホルマリン固定材料では熱処理が必要で、細胞膜に陽性となるが過剰発現により細胞質にもやや弱く反応する。 (特に腫瘍細胞ではその傾向が強い。左下図はGISTの症例であるが、はめ込みにしたのは同じ標本の筋層内に見られた正常細胞の拡大像。腫瘍細胞との反応性の違いがわかる。) |
Gleevec(R) と c-kit (+)GIST
分子標的抗癌剤のひとつであるGleevec(R)(一般名:メシル酸イマチニブ imatinib mesylate)はフィラデルフィア染色体(Ph1)陽性の慢性骨髄性白血病に対する経口治療薬として 2000年11月15日に希少疾病用医薬品に指定されたもので、9番染色体上のABL遺伝子と22番染色体のbreakpoint cluster region(BCR)の転座により形成されるbcr/ablキメラ蛋白のチロシンキナーゼ活性を競合阻害する「シグナル形質導入阻害薬」である。その後、チロシンキナーゼ型受容体であるc-kitを発現しているGISTでも高い効果があることがわかり、2003年7月17日に c-kit 陽性GISTに対する治療薬として追加適応承認された。 c-kit 陽性GISTは従来型の化学療法や放射線療法に対して耐性が強く、増殖力が強いことが知られているが、Gleevecは受容体からErkを介したシグナル伝達系を阻害し腫瘍の縮小効果を示すものと考えられている。
(※2009年現在、Gleevec(R)はノバルティスファーマ社より販売されている商品名です。) |
MRGARGAWDF LCVLLLLLRV QTGSSQPSVS PGEPSPPSIH PGKSDLIVRV GDEIRLLCTD PGFVKWTFEI LDETNENKQN EWITEKAEAT NTGKYTCTNK
HGLSNSIYVF VRDPAKLFLV DRSLYGKEDN DTLVRCPLTD PEVTNYSLKG CQGKPLPKDL RFIPDPKAGI MIKSVKRAYH RLCLHCSVDQ EGKSVLSEKF
ILKVRPAFKA VPVVSVSKAS YLLREGEEFT VTCTIKDVSS SVYSTWKREN SQTKLQEKYN SWHHGDFNYE RQATLTISSA RVNDSGVFMC YANNTFGSAN
VTTTLEVVDK GFINIFPMIN TTVFVNDGEN VDLIVEYEAF PKPEHQQWIY MNRTFTDKWE DYPKSENESN IRYVSELHLT RLKGTEGGTY TFLVSNSDVN
AAIAFNVYVN TKPEILTYDR LVNGMLQCVA AGFPEPTIDW YFCPGTEQRC SASVLPVDVQ TLNSSGPPFG KLVVQSSIDS SAFKHNGTVE CKAYNDVGKT
SAYFNFAFKG NNKEQIHPHT LFTPLLIGFV IVAGMMCIIV MILTYKYLQK PMYEVQWKVV EEINGNNYVY IDPTQLPYDH KWEFPRNRLS FGKTLGAGAF
GKVVEATAYG LIKSDAAMTV AVKMLKPSAH LTEREALMSE LKVLSYLGNH MNIVNLLGAC TIGGPTLVIT EYCCYGDLLN FLRRKRDSFI CSKQEDHAEA
ALYKNLLHSK ESSCSDSTNE YMDMKPGVSY VVPTKADKRR SVRIGSYIER DVTPAIMEDD ELALDLEDLL SFSYQVAKGM AFLASKNCIH RDLAARNILL
THGRITKICD FGLARDIKND SNYVVKGNAR LPVKWMAPES IFNCVYTFES DVWSYGIFLW ELFSLGSSPY PGMPVDSKFY KMIKEGFRML SPEHAPAEMY
DIMKTCWDAD PLKRPTFKQI VQLIEKQISE STNHIYSNLA NCSPNRQKPV VDHSVRINSV GSTASSSQPL LVHDDV (26-976)
(Bos:87% Sus:87% Can:85% Mus:79% Gal:64%)
|
![]() c-MET X400 |
c-met 遺伝子はヒト骨肉腫細胞から同定された7q31-34上に位置し、この遺伝子のコードする1366aa(前駆体の25-1390)の蛋白は Hepatocyte growth factor(HGF)のレセプターであり、構造的には細胞膜表面でHGF受容体の一部を成す約50kDaのα鎖と、細胞膜を貫通しチロシンキナーゼ活性(EC 2.7.10.1) を有する約145kDaのβ鎖から成るヘテロダイマーである。HGFは癌細胞の浸潤・転移に関与するscatter factor(拡散因子)として注目されており、c-MET蛋白の過剰発現は肝細胞癌のみならず消化管、甲状腺、腎などの腫瘍でも見られ予後不良因子と考えられている。ホルマリン固定材料では熱処理が必要だが、なかなか納得のいく結果を得るのは難しい時もある。 (リストから削除しました) |
| CA-125 ( 別名:Ovarian cancer antigen 125 ) | |
|---|---|
![]() CA-125 乳癌X400 |
CA125は卵巣漿液性嚢胞腺癌患者の腹水中の細胞から得られたOC125という抗体名に由来する。この抗体が認識する200kDa以上の高分子糖蛋白(Gene:17q21.1,M17S2 )は胎児性蛋白の一種で、胎児においては羊膜、ミュラー管、体腔膜に発現する。従って卵巣・子宮などミュラー管に由来する組織の腺癌において高率に陽性となり、特に卵巣では、俗にOvarian cancer antigen125 などと言われることもあるように漿液性嚢胞腺癌などによく反応するが、他に肺癌、乳癌、子宮癌、消化管癌、中皮腫などでも陽性のことがある。なお正常卵巣では一般的に陽性所見はみられないが、月経時・妊娠時や子宮内膜症の卵管、子宮内膜などでみられたり、またアポクリン汗腺や乳腺に陽性反応がみられることもあるといわれる。ホルマリン固定でも可能。 |
| CA-19-9 | |
|---|---|
![]() CA19-9 結腸癌X400 |
CA19-9は結腸・直腸癌の培養細胞から得られたNS19-9という抗体名に由来する。この抗体が認識する抗原はルイス式血液型物質であるLewis A(Lea)糖鎖抗原(ラクト-N-フコペントースU)にシアル酸が結合した210kDa以上の細胞膜糖蛋白で Sialyl lewis A(sLea)と呼ばれSelectinのリガンドとして知られる。胎生期において消化管の発生段階で認められるといわれ、腫瘍マーカーとしては主に膵、胃、結腸など消化管癌の細胞膜表面やその分泌粘液のムチン様糖蛋白に巨大な分子として含まれるが、他に肺癌など消化管以外の癌での陽性例も多く、正常では唾液腺、汗腺、乳腺などの導管上皮表面に認められることがある。ただし日本人では5-10%と言われる Lewis A(Lea)及びその誘導体である Lewis B(Leb)を欠くLe(a-b-) の人(遺伝子型ではle/le)の組織では陰性となるが、その場合は前駆物質であるDUPAN-2との併用が有効。 |
| E-Cadherin ( Epithelial cadherin ) ( 別名:Cadherin-1,Uvomorulin,cell-CAM120/80,Arc-1,Liver cell adhesion molecule, CD324 ) | |
|---|---|
![]() E-Cad 直腸癌 X400 |
CadherinはCa++依存性の接着分子(Adhesion molecule)という意味で名付けられたように、Caイオンの存在下で接着活性を示しTrypsinなどによる分解に抵抗性をもつ。ほとんどの多細胞生物にみられる細胞間結合装置であるadherence junction(接着帯)における接着分子で、構造的に共通する多数の分子でファミリーを形成している。一般的に言われる「カドヘリン」はクラッシックカドヘリンと呼ばれ、I 型とII 型がある。I 型にはE(上皮)型、N(神経)型、P(胎盤)型など10種類以上が知られており、 同一の型のもの同士が結合(homophilic結合)する性質がある。発生期における同一細胞の結合に関係するほか、特にE-カドヘリンは癌細胞における浸潤・転移に関わる ものとして注目されている。E-カドヘリンは16q22.1の遺伝子に支配される約123kDa前後(糖鎖の修飾により一定しない)の細胞膜貫通性の単鎖糖蛋白で、上皮細胞の細胞膜に分布している。細胞外に突き出したN末端側が相互に接着し、C末端側の細胞内ドメインでβ-cateninなどの細胞内蛋白と結合し接着能が調整されると考えられている。ホルマリン固定組織には熱処理が有効。 (5月よりClone変更しました。なお、凍結切片には使用できません。) |
MGPWSRSLSA LLLLLQVSSW LCQEPEPCHP GFDAESYTFT VPRRHLERGR VLGRVNFEDC TGRQRTAYFS LDTRFKVGTD GVITVKRPLR FHNPQIHFLV YAWDSTYRKF STKVTLNTVG HHHRPPPHQA SVSGIQAELL TFPNSSPGLR RQKRDWVIPP ISCPENEKGP FPKNLVQIKS NKDKEGKVFY SITGQGADTP PVGVFIIERE TGWLKVTEPL DRERIATYTL FSHAVSSNGN AVEDPMEILI TVTDQNDNKP EFTQEVFKGS VMEGALPGTS VMEVTATDAD DDVNTYNAAI AYTILSQDPE LPDKNMFTIN RNTGVISVVT TGLDRESFPT YTLVVQAADL QGEGLSTTAT AVITVTDTND NPPIFNPTTY KGQVPENEAN VVITTLKVTD ADAPNTPAWE AVYTILNDDG GQFVVTTNPV NNDGILKTAK GLDFEAKQQY ILHVAVTNVV PFEVSLTTST ATVTVDVLDV NEAPIFVPPE KRVEVSEDFG VGQEITSYTA QEPDTFMEQK ITYRIWRDTA NWLEINPDTG AISTRAELDR EDFEHVKNST YTALIIATDN GSPVATGTGT LLLILSDVND NAPIPEPRTI FFCERNPKPQ VINIIDADLP PNTSPFTAEL THGASANWTI QYNDPTQESI ILKPKMALEV GDYKINLKLM DNQNKDQVTT LEVSVCDCEG AAGVCRKAQP VEAGLQIPAI LGILGGILAL LILILLLLLF LRRRAVVKEP LLPPEDDTRD NVYYYDEEGG GEEDQDFDLS QLHRGLDARP EVTRNDVAPT LMSVPRYLPR PANPDEIGNF IDENLKAADT DPTAPPYDSL LVFDYEGSGS EAASLSSLNS SESDKDQDYD YLNEWGNRFK KLADMYGGGE DD (155-882) |
![]() CAK-1 卵巣癌X400 |
CAK-1は、低分化な卵巣癌細胞OVCAR-3より得られたclone名「K1」というモノクローナル抗体が認識する約40kDaの糖蛋白細胞膜抗原で、Mesothelinとも言われる。卵巣癌の多くと反応する他、上皮型・混合型中皮腫とも反応する。ただし、肺の扁平上皮癌の一部とも反応すると言われており、特異的なものではない。凍結切片用。 (リストから削除しました。ホルマリン固定組織でも反応する抗Mesothelin抗体(clone:5B2)をお勧めします。) |
![]() Calbindin 小脳 X400 |
CalbindinはTroponinCファミリーに属し、EFハンドと呼ばれる構造を有しビタミンD依存性カルシウム結合蛋白(CBP)として細胞内カルシウム代謝の調節に関係するとともに、細胞内へのカルシウム流入により核へ移行してそのシグナルを伝達する。Calbindinには複数の分子があり、このうち低分子量(約6-11kDa)のものは骨、腸管、皮膚などに発現しているが、D28kと呼ばれる高分子量のもの(8q21.3-q22.1, 261aa, 約29kDa)は神経系に発現し、カルシウムの膜透過性を調節している。ホルマリン固定:要熱処理。 (現在受託リスより外しています) |
MAESHLQSSL ITASQFFEIW LHFDADGSGY LEGKELQNLI QELQQARKKA GLELSPEMKT FVDQYGQRDD GKIGIVELAH VLPTEENFLL LFRCQQLKSC
EEFMKTWRKY DTDHSGFIET EELKNFLKDL LEKANKTVDD TKLAEYTDLM LKLFDSNNDG KLELTEMARL LPVQENFLLK FQGIKMCGKE FNKAFELYDQ
DGNGYIDENE LDALLKDLCE KNKQDLDINN ITTYKKNIMA LSDGGKLYRT DLALILCAGD N
(Bos:98% Equ:98% Rab:98% Rat:98% Mus:98% Gal:79% Frog:74%)
|
| Calcitonin | |
|---|---|
![]() Caltitonin 甲状腺 X400 |
カルチトニンは主に甲状腺の傍濾胞細胞(C細胞)から分泌される32個のアミノ酸から成る分子量3500のペプチドホルモンで、遺伝子は11p15.2にあり、 AmylinやCGRPなどとファミリーを形成する。血中カルシウム濃度を低下させる作用を有し、拮抗する副甲状腺ホルモン(PTH)などと共にカルシウム代謝を調節する。副甲状腺機能亢進に対する傍濾胞細胞の過形成や甲状腺髄様癌(ほぼ100%陽性といわれる)、異所性カルチトニン産生腫瘍の鑑別などに有用。抗原性はホルマリン固定に対して比較的安定であるが、ブアン固定の方が反応は強い。また、動物種間で交差性が認められる。なお、甲状腺濾胞細胞に対してはThyroglobulinを参照。 |
MGFQKFSPFL ALSILVLLQA GSLHAAPFRS ALESSPADPA TLSEDEARLL LAALVQDYVQ MKASELEQEQ EREGSSLDSP RSKRCGNLST CMLGTYTQDF
NKFHTFPQTA IGVGAPGKKR DMSSDLERDH RPHVSMPQNA N (85-116)
(Can:64% Bos:45% Rab:93% Sus:45% Mus:90% Rat:93 Gal:46%)
|
![]() CGRP 脳×400 |
カルチトニンの遺伝子は転写後にスプライシングを受けて2種のmRNAができる。 1つはカルチトニンで他方はカルチトニン遺伝子関連ペプチド(CGRP)と呼ばれるアミノ酸37個よりなるペプチドで、カルチトニンとはおよそ20-30%の相同性がある。ヒトではI型(CGRP-I):とII型(CGRP-II)、ラットではαとβのタイプがある。中枢神経、食道神経叢、副腎髄質、膵ラ島周辺、下垂体前葉、動脈神経などが産生部位と考えられており、中枢・末梢神経、血管平滑筋に対し神経伝達物質として働き、血管拡張作用や細胞からのCa流出を抑制する作用を持つ。カルチトニン同様甲状腺髄様癌で増加することが知られている。 (覚道健一:病理と臨床,6,191-200,1988) 現在使用している抗体はラットα型に反応するが、ヒトとも交差する。凍結組織のみでなくホルマリン固定組織でも可能。(左図は4%PFA 2時間固定) (ついに抗体なくなりました) |
I MGFQKFSPFL ALSILVLLQA GSLHAAPFRS ALESSPADPA TLSEDEARLL LAALVQDYVQ MKASELEQEQ EREGSRIIAQ KRACDTATCV THRLAGLLSR SGGVVKNNFV PTNVGSKAFG RRRRDLQA (83-119) II MGFRKFSPFL ALSILVLYQA GSLQAAPFRS ALESSP-DPA TLSKEDARLL LAALVQDYVQ MKASELKQEQ ETQGSSSAAQ KRACNTATCV THRLAGLLSR SGGMVKSNFV PTNVGSKAFG RRRRDLQA (82-118) |
| Caldesmon ( 別名:CALD,CDM ) | |
|---|---|
![]() CaD 胃GIST X400 |
Actin及びCalmodulin結合性蛋白であるCaldesmonは平滑筋収縮の制御蛋白として、心筋・骨格筋におけるTroponin Iに相当する働きをしている。(Gene:7q33;CALD1,CDM,CAD ともいう) Caldesmonにはisoformがあり、この抗体(clone:TD107)は約80kDaの血小板由来のCaldesmonを免疫源としているが、約140kDaの平滑筋高分子caldesmon(heavy caldesmon:hCaD,HCD)とも交差反応をするので、 fibroblastとmyofibroblastとの鑑別やGISTの分類など平滑筋分化マーカーとして利用できる。ホルマリン固定組織では熱処理が必要。左図は胃のGIST症例で、腫瘍細胞の細胞質にびまん性及び顆粒状に反応している。血管平滑筋などはより強く反応する。 (2012.2.14 cloneを変更しました) |
MDDFERRREL RRQKREEMRL EAERIAYQRN DDDEEEAARE RRRRARQERL RQKQEEESLG QVTDQVEVNA QNSVPDEEAK TTTTNTQVEG DDEAAFLERL ARREERRQKR LQEALERQKE FDPTITDASL SLPSRRMQND TAENETTEKE EKSESRQERY EIEETETVTK SYQKNDWRDA EENKKEDKEK EEEEEEKPKR GSIGENQVEV MVEEKTTESQ EETVVMSLKN GQISSEEPKQ EEEREQGSDE ISHHEKMEEE DKERAEAERA RLEAEERERI KAEQDKKIAD ERARIEAEEK AAAQERERRE AEERERMREE EKRAAEERQR IKEEEKRAAE ERQRIKEEEK RAAEERQRIK EEEKRAAEER QRARAEEEEK AKVEEQKRNK QLEEKKRAMQ ETKIKGEKVE QKIEGKWVNE KKAQEDKLQT AVLKKQGEEK GTKVQAKREK LQEDKPTFKK EEIKDEKIKK DKEPKEEVKS FMDRKKGFTE VKSQNGEFMT HKLKHTENTF SRPGGRASVD TKEAEGAPQV EAGKRLEELR RRRGETESEE FEKLKQKQQE AALELEELKK KREERRKVLE EEEQRRKQEE ADRKLREEEE KRRLKEEIER RRAEAAEKRQ KMPEDGLSDD KKPFKCFTPK GSSLKIEERA EFLNKSVQKS SGVKSTHQAA IVSKIDSRLE QYTSAIEGTK SAKPTKPAAS DLPVPAEGVR NIKSMWEKGN VFSSPTAAGT PNKETAGLKV GVSSRINEWL TKTPDGNKSP APKPSDLRPG DVSSKRNLWE KQSVDKVTSP TKV |
| Calponin | |
|---|---|
![]() Calponin 乳腺 X400 |
カルポニンはニワトリ砂嚢平滑筋より単離されたCa++結合蛋白の一種で、命名者自身によればCalmodulinと結合しTroponinと共通抗原性を有することよりCalponinと命名された。 (山村倫子他:"Vascular Biology navigator",p46,メディカルレビュー,2001) 等電点の違いにより塩基性(h1,Gene:19p 13.2)、中性(h2,Gene:21q 11.1) および酸性(acidic,Gene:1p 21-22)の3種類のisoformに分けられている。 Calponin h1はtropomyosinとactinに結合し、calmodulinとの結合によって平滑筋の収縮を調節しているので平滑筋細胞、筋上皮細胞の分化マーカーとなる。 (Calponin h 2は細胞間接着に関係し、acidic calponinは脳などで発現している。) しかし、N末端側でVav癌遺伝子産物の発癌抑制ドメインと相同性を有する部分があることや、平滑筋肉腫や骨肉腫でCalponin h1遺伝子の発現低下がみられることがわかり最近では間葉系細胞全体の増殖・分化抑制因子と考えられており、動脈硬化などに伴う血管狭窄の防止や、また肉腫症例の悪性度や予後判定の指標、さらに遺伝子治療への応用が注目されている。 肝細胞癌において腫瘍血管のカルポニンの免疫染色陽性は、有用な予後因子となり得るという報告がある。(佐々木洋他,第57回日本癌学会総会) ホルマリン固定組織でも酵素処理程度でよく反応する。 |
h1
MSSAHFNRGP AYGLSAEVKN KLAQKYDHQR EQELREWIEG VTGRRIGNNF MDGLKDGIIL CEFINKLQPG SVKKINESTQ NWHQLENIGN FIKAITKYGV
KPHDIFEAND LFENTNHTQV QSTLLALASM AKTKGNKVNV GVKYAEKQER KFEPGKLREG RNIIGLQMGT NKFASQQGMT AYGTRRHLYD PKLGTDQPLD
QATISLQMGT NKGASQAGMT APGTKRQIFE PGLGMEHCDT LNVSLQMGSN KGASQRGMTV YGLPRQVYDP KYCLTPEYPE LGEPAHNHHA HNYYNSA
(Bos:95% Sus:95% Mus:94% Rat:94% Gal:83%)
|
| Calretinin ( 別名:Calbindin 2, CALB 2 ) | |
|---|---|
![]() Calretinin 鼠径部 X400 "Cystic mesothelioma" |
カルレチニンはEF-handsドメインを有するTroponin Superfamilyに属する約30kDa,271aa,Gene:16q22.2;CALB2 の細胞質内カルシウム結合蛋白で、主に中枢神経系ニューロンに存在している。ビタミンD依存性カルシウム結合蛋白であるCalbindinと構造的によく似ており、おそらくカルシウムの細胞内transportに関係しているものと思われるが、中皮腫の細胞でこの抗体の陽性率が高いことが1996年に報告されてからは病理学分野ではむしろこの点が(過大に?)注目されている。しかし肺などの腺癌でも陽性のことがあるのでMesothelin、Thrombomodulin、HBME-1などや、CEAなどの上皮系マーカーとの併用が望ましい。ほか神経細胞や肥満細胞などにも反応する。胸水細胞診材料にも有効であるが、ホルマリン固定パラフィン切片では熱処理が必要。中皮腫では核・細胞質ともに反応し、核の方が細胞質より濃く染まることが多いが、逆の場合もあり、その強弱の差、細胞間差は一定していない。 |
MAGPQQQPPY LHLAELTASQ FLEIWKHFDA DGNGYIEGKE LENFFQELEK ARKGSGMMSK SDNFGEKMKE FMQKYDKNSD GKIEMAELAQ ILPTEENFLL
CFRQHVGSSA EFMEAWRKYD TDRSGYIEAN ELKGFLSDLL KKANRPYDEP KLQEYTQTIL RMFDLNGDGK LGLSEMSRLL PVQENFLLKF QGMKLTSEEF
NAIFTFYDKD RSGYIDEHEL DALLKDLYEK NKKEINIQQL TNYRKSVMSL AEAGKLYRKD LEIVLCSEPP M (Bos:96% Rat:98% Mus:98% Gal:85%)
|
![]() CB1 皮膚 X400 |
大麻(Cannabis)の幻覚成分であるΔ-9テトラヒドロカンナビノール(Δ9-THC)を外因性リガンドとする受容体として1990年に発見された。その後発見された内因性リガンドはアナンダマイドanandamide(アーナンダはサンスクリット語で「至高の」という意味)と呼ばれるN-アラキドノイルエタノールアミンと、モノアシルグリセロールの一種である2-アラキドノイルグリセロール。CB1とCB2の2種類のサブタイプがあるが、ともにG蛋白共役型・7回膜貫通型と呼ばれる細胞膜受容体で糖鎖を結合する。 CB1受容体は主にシナプスに存在し神経伝達物質の放出を制御していると考えられている。皮膚、子宮など他の組織にも存在が確認されているが、末梢での機能は明確にはなっていない。一方、CB2受容体は脾、扁桃、リンパ節などのマクロファージやBリンパ球に発現しており、炎症や免疫を調節していると考えられている。 (anandamideには免疫抑制、血小板凝集抑制作用がある) (現在受託リスより外しています) |
CB1
MKSILDGLAD TTFRTITTDL LYVGSNDIQY EDIKGDMASK LGYFPQKFPL TSFRGSPFQE KMTAGDNPQL VPADQVNITE FYNKSLSSFK ENEENIQCGE
NFMDIECFMV LNPSQQLAIA VLSLTLGTFT VLENLLVLCV ILHSRSLRCR PSYHFIGSLA VADLLGSVIF VYSFIDFHVF HRKDSRNVFL FKLGGVTASF
TASVGSLFLT AIDRYISIHR PLAYKRIVTR PKAVVAFCLM WTIAIVIAVL PLLGWNCEKL QSVCSDIFPH IDETYLMFWI GVTSVLLLFI VYAYMYILWK
AHSHAVRMIQ RGTQKSIIIH TSEDGKVQVT RPDQARMDIR LAKTLVLILV VLIICWGPLL AIMVYDVFGK MNKLIKTVFA FCSMLCLLNS TVNPIIYALR
SKDLRHAFRS MFPSCEGTAQ PLDNSMGDSD CLHKHANNAA SVHRAAESCI KSTVKIAKVT MSVSTDTSAE AL
CB2
MEECWVTEIA NGSKDGLDSN PMKDYMILSG PQKTAVAVLC TLLGLLSALE NVAVLYLILS SHQLRRKPSY LFIGSLAGAD FLASVVFACS FVNFHVFHGV
DSKAVFLLKI GSVTMTFTAS VGSLLLTAID RYLCLRYPPS YKALLTRGRA LVTLGIMWVL SALVSYLPLM GWTCCPRPCS ELFPLIPNDY LLSWLLFIAF
LFSGIIYTYG HVLWKAHQHV ASLSGHQDRQ VPGMARMRLD VRLAKTLGLV LAVLLICWFP VLALMAHSLA TTLSDQVKKA FAFCSMLCLI NSMVNPVIYA
LRSGEIRSSA HHCLAHWKKC VRGLGSEAKE EAPRSSVTET EADGKITPWP DSRDLDLSDC
|
| Carcinoembryonic antigen ( CEA,CD66e ) | |
|---|---|
![]() CEA 結腸癌 X400 |
結腸癌をはじめ、主に消化管の腺癌に認められる約180kDaの糖蛋白(糖含有量50〜60%、アミノ酸は約600個、Geneは19q13.2)だが、消化管癌に特異的ではなく、肺、乳腺など種々の臓器の上皮性腫瘍のマーカーとして利用される。正常の大腸粘膜にもわずかながら見られ腺管表面に反応が見られるが、癌では細胞質まで強く反応する。 なお CEAは白血球分化抗原のCD66eとしても分類されており、特別な処理をしていないPolyclonal抗体ではNCA(CD66c)などの共通抗原活性を有すると抗原と 交差反応を起こし顆粒球系白血球にも強く反応する。このような共通性をもつものをCEAファミリーと称し、それらの遺伝子はいずれも染色体19q13.1-q13.3上に近接する。 生理活性としては接着分子としての機能を持つと考えられている。 (2020.10.30 クローン変更しました) |
[対処法] 交差反応をどうしても避けたい場合にはNCAと非相同部分を認識する抗CEA monoclonal抗体を用いるか、または古くから用いられている方法として、脾臓の乾燥粉末を希釈抗体に加えてNCAと反応する部分を吸着・沈降させて除去してから使用すればよい。 | |
|
| Caspase-3 ( CPP32,CASP3 ) | |
|---|---|
![]() Casp3 皮膚 X400 |
Cysteine protease p32(CPP32)とも呼ばれる ICE(Interleukin-1β-converting enzyme) Familyに属する蛋白分解酵素。(Gene:4q34)約32kDaの不活性型前駆体として合成されたものが、Cytochrome C/Apaf-1/Caspase-9複合体、あるいはFADDを介したFasL/FasやTNF/TNFRなどデス因子との複合体で活性化されたCaspase-8,10、Granzyme Bなどにより限定分解され約17kD(p17)と約11kD(p12)のサブユニット構造にされることによって活性化される。この酵素が分解する基質は |
MENTENSVDS KSIKNLEPKI IHGSESMDSG ISLDNSYKMD YPEMGLCIII NNKNFHKSTG MTSRSGTDVD AANLRETFRN LKYEVRNKND LTREEIVELM
RDVSKEDHSK RSSFVCVLLS HGEEGIIFGT NGPVDLKKIT NFFRGDRCRS LTGKPKLFII QACRGTELDC GIETDSGVDD DMACHKIPVE ADFLYAYSTA
PGYYSWRNSK DGSWFIQSLC AMLKQYADKL EFMHILTRVN RKVATEFESF SFDATFHAKK QIPCIVSMLT KELYFYH
(Can:89% Rab:87% Fel:87% Bos:84% Sus:88% Rat:89% Mus:86% Gal:66%)
|
![]() Casp8 乳癌 X400 |
Caspase(EC3.4.22.*)はApoptosisに関わるCys残基を活性中心に持つ蛋白質分解酵素の総称で、現在12種類ほどが知られている。いずれも約20kDaと約10kDaほどの2つのサブユニットを持ち、これが分解されることによって活性化する。 Caspase-8も不活性型前駆体として合成されるが、FasL/Fas あるいはTNF/TNFRとFADDを介してDeath inducing signaling complex (DISC) と呼ばれる複合体を作ると自分自身を分解(p18/p10)して活性化し、Caspase-3,7などを分解し活性化する。Geneは2q33-q34。別名としてMORT1-Associated CED-3 Homolog(MACH),FADD-Like ICE(FLICE),ICE-like Apoptotic cysteine Protease 5,CAP4など。乳癌などで陽性が多く、細胞質に反応する。ホルマリン固定では要熱処理。 (抗体力価の低下により削除しました) |
MDFSRNLYDI GEQLDSEDLA SLKFLSLDYI PQRKQEPIKD ALMLFQRLQE KRMLEESNLS FLKELLFRIN RLDLLITYLN TRKEEMEREL QTPGRAQISA
YRVMLYQISE EVSRSELRSF KFLLQEEISK CKLDDDMNLL DIFIEMEKRV ILGEGKLDIL KRVCAQINKS LLKIINDYEE FSKERSSSLE GSPDEFSNGE
ELCGVMTISD SPREQDSESQ TLDKVYQMKS KPRGYCLIIN NHNFAKAREK VPKLHSIRDR NGTHLDAGAL TTTFEELHFE IKPHDDCTVE QIYEILKIYQ
LMDHSNMDCF ICCILSHGDK GIIYGTDGQE APIYELTSQF TGLKCPSLAG KPKVFFIQAC QGDNYQKGIP VETDSEEQPY LEMDLSSPQT RYIPDEADFL
LGMATVNNCV SYRNPAEGTW YIQSLCQSLR ERCPRGDDIL TILTEVNYEV SNKDDKKNMG KQMPQPTFTL RKKLVFPSD
(Can:76% Bos:70% Sus:72% Mus:67% Rat:65% Gal:56%)
|
■ Catenin ■ | |
![]() α-catenin 肺癌 X400 ![]() β-catenin X400 左:膵癌、右:非癌部 ![]() γ-catenin 皮膚 X400 |
ラテン語のcatena(「結合」を意味する)から命名された Cateninは、細胞膜のadherence junction(接着帯)においてCadhelinと細胞骨格のActinフィラメントとを繋ぐ蛋白で、Cadhelinの発現するすべての細胞にみられ、cadherin associated protein(CAP)とか「細胞膜の裏打ち蛋白」などとも言われる。分子量の多い順にα、β、γの3種があり(他にp120がδと呼ばれることもある)、α-catenin(906aa,Gene:5q31;CTNNA1 )はvinculinと構造的に相同性が高い約102kDaの蛋白で、CAP102とも呼ばれる。β-cateninとF-Actininとに結合してActin線維を束ねる働きをし、Cadhelinとは直接結合していないが、この発現が減弱している癌細胞はCadhelinの発現が高くても浸潤傾向が強いといわれる。中枢神経系では発現せず、代わりにアイソフォームであるαN-cateninがみられる。 β-catenin(781aa,Gene:3p21;CTNNB1 )は約92kDaの蛋白で、Cadhelinの細胞内ドメインとα-cateninとに結合している。ショウジョウバエのアルマジロ遺伝子armadillo蛋白と相同性が極めて高い。 c-erbB2やEGFRなどチロシンキナーゼ型の癌遺伝子産物や増殖因子と結合し燐酸化されると細胞間の接着能が阻害され、癌の浸潤・転移を促進する。正常な細胞ではAPCやAxinと複合体を形成し制御されているが、腫瘍細胞では過剰に蓄積したβ-cateninがLymphoid enhancer binding factor1(LEF-1:Lef1)と結合して核内に移行し種々の遺伝子を活性化し細胞増殖を促進するWntシグナルの伝達物質としての働きをする。ホルマリン固定組織でも細胞膜から細胞質によく反応するが、癌細胞では核内にも反応が見られる。(左図中段) γ-catenin(746aa,Gene:17q21)はβ-cateninと構造的に非常に相同性が高い81kDaほどの蛋白で、 Desmoplakin(DSP,250/210 kD paraneoplastic pemphigus antigen)と共に desmosome plaque(接着斑板)を形成しておりPlakoglobinとも呼ばれる。他にδ-catenin(p120,Gene:11q11)もCadhelinと結合しその活性を抑制する作用を示しているらしい。 (α及びγ-cateninは現在受託リスより外しています) |
alpha
MTAVHAGNIN FKWDPKSLEI RTLAVERLLE PLVTQVTTLV NTNSKGPSNK KRGRSKKAHV LAASVEQATE NFLEKGDKIA KESQFLKEEL VAAVEDVRKQ
GDLMKAAAGE FADDPCSSVK RGNMVRAARA LLSAVTRLLI LADMADVYKL LVQLKVVEDG ILKLRNAGNE QDLGIQYKAL KPEVDKLNIM AAKRQQELKD
VGHRDQMAAA RGILQKNVPI LYTASQACLQ HPDVAAYKAN RDLIYKQLQQ AVTGISNAAQ ATASDDASQH QGGGGGELAY ALNNFDKQII VDPLSFSEER
FRPSLEERLE SIISGAALMA DSSCTRDDRR ERIVAECNAV RQALQDLLSE YMGNAGRKER SDALNSAIDK MTKKTRDLRR QLRKAVMDHV SDSFLETNVP
LLVLIEAAKN GNEKEVKEYA QVFREHANKL IEVANLACSI SNNEEGVKLV RMSASQLEAL CPQVINAALA LAAKPQSKLA QENMDLFKEQ WEKQVRVLTD
AVDDITSIDD FLAVSENHIL EDVNKCVIAL QEKDVDGLDR TAGAIRGRAA RVIHVVTSEM DNYEPGVYTE KVLEATKLLS NTVMPRFTEQ VEAAVEALSS
DPAQPMDENE FIDASRLVYD GIRDIRKAVL MIRTPEELDD SDFETEDFDV RSRTSVQTED DQLIAGQSAR AIMAQLPQEQ KAKIAEQVAS FQEEKSKLDA
EVSKWDDSGN DIIVLAKQMC MIMMEMTDFT RGKGPLKNTS DVISAAKKIA EAGSRMDKLG RTIADHCPDS ACKQDLLAYL QRIALYCHQL NICSKVKAEV
QNLGGELVVS GVDSAMSLIQ AAKNLMNAVV QTVKASYVAS TKYQKSQGMA SLNLPAVSWK MKAPEKKPLV KREKQDETQT KIKRASQKKH VNPVQALSEF
KAMDSI
beta
MATQADLMEL DMAMEPDRKA AVSHWQQQSY LDSGIHSGAT TTAPSLSGKG NPEEEDVDTS QVLYEWEQGF SQSFTQEQVA DIDGQYAMTR AQRVRAAMFP
ETLDEGMQIP STQFDAAHPT NVQRLAEPSQ MLKHAVVNLI NYQDDAELAT RAIPELTKLL NDEDQVVVNK AAVMVHQLSK KEASRHAIMR SPQMVSAIVR
TMQNTNDVET ARCTAGTLHN LSHHREGLLA IFKSGGIPAL VKMLGSPVDS VLFYAITTLH NLLLHQEGAK MAVRLAGGLQ KMVALLNKTN VKFLAITTDC
LQILAYGNQE SKLIILASGG PQALVNIMRT YTYEKLLWTT SRVLKVLSVC SSNKPAIVEA GGMQALGLHL TDPSQRLVQN CLWTLRNLSD AATKQEGMEG
LLGTLVQLLG SDDINVVTCA AGILSNLTCN NYKNKMMVCQ VGGIEALVRT VLRAGDREDI TEPAICALRH LTSRHQEAEM AQNAVRLHYG LPVVVKLLHP
PSHWPLIKAT VGLIRNLALC PANHAPLREQ GAIPRLVQLL VRAHQDTQRR TSMGGTQQQF VEGVRMEEIV EGCTGALHIL ARDVHNRIVI RGLNTIPLFV
QLLYSPIENI QRVAAGVLCE LAQDKEAAEA IEAEGATAPL TELLHSRNEG VATYAAAVLF RMSEDKPQDY KKRLSVELTS SLFRTEPMAW NETADLGLDI
GAQGEPLGYR QDDPSYRSFH SGGYGQDALG MDPMMEHEMG GHHPGADYPV DGLPDLGHAQ DLMDGLPPGD SNQLAWFDTD L
|
| Caudal-type homeobox transcription factor 2 ( CDX2,Cdx2 ) | |
|---|---|
![]() CDX2 大腸 X100 |
Homeoboxは、生物の形態形成(Morphogenesis)に重要な、種を超えて相同性の高い180塩基対ほどの塩基配列を指す。Homeobox gene familyのひとつであるCDX2 遺伝子(13q12.3) は、ショウジョウバエの Caudal (「尾側」という意味で、栄養外胚葉の発生や胚の後端部形態の形成に関係する”母性効果遺伝子 maternal effect gene”) 遺伝子に相当するヒト遺伝子で、腸管上皮細胞の分化、CD10、Villin、MUC2などの形質の誘導に関与する転写因子CDX2(313aa,約38kDa)をコードしている。免疫組織化学的には十二指腸〜直腸の上皮細胞や胃の腸上皮化生細胞の核内に陽性となり、腸管癌の転移や胃癌の腸型形質の確認に利用される。ホルマリン固定では要熱処理。 (塚本徹哉ほか:「病理と臨床」Vol.29,臨時増刊;164-158,2011にヒト腫瘍における臓器別陽性率がまとめられている)(2017.4.28clone変更) |
MYVSYLLDKD VSMYPSSVRH SGGLNLAPQN FVSPPQYPDY GGYHVAAAAA AAANLDSAQS PGPSWPAAYG APLREDWNGY APGGAAAAAN AVAHGLNGGS
PAAAMGYSSP ADYHPHHHPH HHPHHPAAAP SCASGLLQTL NPGPPGPAAT AAAEQLSPGG QRRNLCEWMR KPAQQSLGSQ VKTRTKDKYR VVYTDHQRLE
LEKEFHYSRY ITIRRKAELA ATLGLSERQV KIWFQNRRAK ERKINKKKLQ QQQQQQPPQP PPPPPQPPQP QPGPLRSVPE PLSPVSSLQA SVSGSVPGVL
GPTGGVLNPT VTQ
|
| Chondroitin sulfate A (Chondroitin 4-sulfate,Proteoglycan ΔDi-4S) Chondroitin sulfate C (Chondroitin 6-sulfate,Proteoglycan ΔDi-6S) | |
|---|---|
![]() CS A 軟骨 X400 ![]() CS C 軟骨 X400 |
ウロン酸(グルクロン酸:GlcA/イズロン酸:IdoA)とN-アセチルガラクトサミン(GalNAc)の2糖結合が反復する糖鎖に硫酸基が結合したコンドロイチン硫酸(CS,ChS)は硫酸転移酵素によりコンドロイチンから作られ、硫酸基の位置によってコンドロイチン4硫酸(コンドロイチン硫酸A:CS A,GlcAβ1-3GalNAc4-sulfate)、コンドロイチン6硫酸(コンドロイチン硫酸C:CS C,GlcAβ1-3GalNAc6-sulfate)に区分されるほか、グルクロン酸がイズロン酸に代わったデルマタン硫酸(コンドロイチン硫酸B:DS,IdoA1-3GalNAc4-sulfate)や複数の硫酸基結合位をもつD、Eのfamilyがある。 細胞外基質の成分としてCS A(4S)は骨、硝子軟骨などに、CS C(6S)は軟骨などに主に含まれるほか、ほとんどがコア蛋白と呼ばれる蛋白と結合した Proteoglycan(PG)として前身に広く存在し、例えば軟骨ではaggrecan、皮膚ではdecorinと呼ばれるPGの一部を成し、ヒアルロン酸などと結合して高分子複合体を形成したり、コラーゲン線維などと結合している。 現在用いている抗体は、ChondroitinaseでPGを消化した後に残る(ΔDi)CSの結合部("stub":切り株)をエピトープとする抗体で、硫酸基の各結合位に対する特異性(-4S,-6S)があり、core蛋白の種類に関わらずCS A(4S)、CS C(6S)を有するPGの検出に利用でき、ホルマリン固定組織でも可。 |
| Chromogranin A ( 別名:CGA,CHGA,pituitary secretory protein-1:SP-1 ) | |
|---|---|
![]() Chromogranin A 膵EC X400 |
Chromograninはウシの副腎髄質の銀還元(Chromaffin)顆粒中から分離された物質で、A、B、C(secretogranin II)の3種類がある。Chromogranin A(CGA、Gene:14q32;CHGA)は神経・内分泌細胞のクローム親和性分泌顆粒1) 内に存在する約68kDaの酸性の糖蛋白で、カテコールアミン類と共放出される。下垂体、膵ラ氏島、甲状腺C細胞、副腎髄質などの内分泌細胞に見られ、神経内分泌腫瘍及びcarcinoid、Small cell carcinomaなどの同定に便利だが分泌顆粒を持たない細胞では反応が乏しい2)。 また非機能性腫瘍に比べ機能性腫瘍3) では発現が弱く、特に ACTH, PRL, Gastrin産生腫瘍などで陰性のものもある。またCarcinoidでは反応が弱いことが多く、時に核に染まることもある。 (結腸の神経内分泌細胞などと比べてかなり反応が弱いので、これを陽性対照とする場合にはやや過染気味になるくらいでないと反応しないことがある。) なお、分子内にプロセシングを受けやすい部位が複数あり、プロセシングによりpancreastatin(CGAと70%以上の相同性)、β-glanin、parastatinなどの活性をもつペプチドが生成される。 |
2) 胃の内分泌細胞癌(neuroendocrine carcinoma:NEC)では大細胞型(LCNEC)に比べて小細胞型ではCGA陽性率が低いが、CGA陰性であっても PGP9.5,NSE,NCAM,Synaptophysinのいずれかが陽性となるのでこれらを併用して判定することが肝要であると岩渕らは「胃の内分泌細胞癌の特性」:病理と臨床,23(9):966-973,2005で述べている。 3) ホルモン分泌機能を有するものでは、機能面からは各種ホルモン(Serotonin,ACTH,Calcitonin,Insulin,Somatostatinなど)の検索が有用。特に消化管の内分泌細胞癌ではSerotonin陽性例が多いという報告がある。(消化器内視鏡7:275-284,1995) |
MRSAAVLALL LCAGQVTALP VNSPMNKGDT EVMKCIVEVI SDTLSKPSPM PVSQECFETL RGDERILSIL RHQNLLKELQ DLALQGAKER AHQQKKHSGF EDELSEVLEN QSSQAELKEA VEEPSSKDVM EKREDSKEAE KSGEATDGAR PQALPEPMQE SKAEGNNQAP GEEEEEEEEA TNTHPPASLP SQKYPGPQAE GDSEGLSQGL VDREKGLSAE PGWQAKREEE EEEEEEAEAG EEAVPEEEGP TVVLNPHPSL GYKEIRKGES RSEALAVDGA GKPGAEEAQD PEGKGEQEHS QQKEEEEEMA VVPQGLFRGG KSGELEQEEE RLSKEWEDSK RWSKMDQLAK ELTAEKRLEG QEEEEDNRDS SMKLSFRARA YGFRGPGPQL RRGWRPSREE DSLEAGLPLQ VRGYPEEKKE EEGSANRRPE DQELESLSAI EAELEKVAHQ LQALRRG (Bos:63% Sus:63% Rat:51% Mus:51%) |
| キマーゼは主に肥満細胞(MC)から分泌されるChymotrypsin様活性を示す中性セリンプロテアーゼに属する蛋白分解酵素(EC 3.4.21.39,前駆体として約27kDa,Gene:14q11.2;CMA1/CYM )で、CMA1/CYM )CathepsinCにより活性化され、中性pH下で主にチロシン、フェニルアラニンなどの芳香族アミノ酸のC末端を切断する。 αとβchymaseがあり、ヒトとイヌはαのみを有するがマウスなどげっ歯類は複数のchymaseをもつ。 肥満細胞(MC)の脱顆粒促進、MMPやCytokineの活性化、Granzyme様の細胞障害、気管支粘液の分泌亢進などの他、Angiotensin I(AngI)のアミノ酸配列を切断してAngUに変換する作用 (Renin-Angiotensin系におけるAngiotensin Converting Enzyme(ACE)を介さない”キマーゼ経路”) がある。MCのほかには内皮細胞、間質細胞などからも分泌される。ホルマリン固定組織可。 (リストより削除しました) | |
![]() Mast cells (T-B染色) |
肥満細胞(Mast cell,Mastocyte;MC)は1878年にP.Ehrlichが"Mastzellen"と名付けた哺乳類の粘膜や結合織に存在する細胞。言うまでもなく脂肪沈着としての「肥満症」には関係なく、炎症や免疫に関係する細胞であり、中国では肥大細胞と言うらしい。細胞質中に多数の好塩基顆粒を有し、この顆粒はサフラニンO染色(SO染色、ファーストグリーン-サフラニンO染色:FGSO染色あるいはSOF染色とも言う)で赤染、トルイジンブルーでメタクロマジーを起こし赤味を帯びた紫色に染まる。ヒトのMCには、消化管や呼吸器粘膜に多いTryptaseを持つMCT(TMC:粘膜型)と、結合組織(特に皮膚、消化管)に多いTryptaseとChymaseの両方を持つMCTC(TCMC:結合織型)とがあるが、Toluidine-blue染色(T-B染色)でのメタクロマジーは前者で弱く、後者で強い。ヒトでは少ないが、イヌではこの肥満細胞の腫瘍は:けっこう多い。 | |
MLLLPLPLLL FLLCSRAEAG EIIGGTECKP HSRPYMAYLE IVTSNGPSKF CGGFLIRRNF VLTAAHCAGR SITVTLGAHN ITEEEDTWQK LEVIKQFRHP KYNTSTLHHD IMLLKLKEKA SLTLAVGTLP FPSQFNFVPP GRMCRVAGWG RTGVLKPGSD TLQEVKLRLM DPQACSHFRD FDHNLQLCVG NPRKTKSAFK GDSGGPLLCA GVAQGIVSYG RSDAKPPAVF TRISHYRPWI NQILQAN (Can:82% Mus:74% Rat:73%) |
![]() CC10 肺癌 X400 |
末梢気道に局在する粘液産生細胞であるクララ細胞が分泌するclara cell secretory protein (CCSP)は脂質を含む小さな疎水性の分子を吸着しそれらをマクロファージに貪食させる働きをしており、 Clara cell phospholipid-binding protein (CCPBP)とも呼ばれる。この約10kDa程度の蛋白(Gene:11q12.3-q13.1)はCC10と呼ばれ、 Nuclear factor-3(NF-3)ファミリーの転写因子などによって制御され phospholipase inhibitorとして炎症を抑制する作用をしているらしい。クララ細胞由来肺癌の分化マーカーとして利用されるが、Secretoglobin-Uteroglobin familyに属し、性周期によっては子宮内膜にも反応するという。
(リストより削除しました) |
■ Claudin ■ | |
![]() Claudin-1 肺癌 X400 ![]() Claudin-4 肺癌 X400 ![]() Claudin-5 X400 |
Claudin(クローディン)は、脊椎動物に見られる上皮細胞や内皮細胞の細胞間接着装置であるTight Junction(TJ:密着結合)の構成蛋白で、N末端とC末端が細胞質内にあり、途中で細胞膜を4回貫通する(即ち細胞外には2つのループができる)4回膜貫通型の約20-27kDaの蛋白群である。claudin分子間の相互作用により細胞間の隙間をシールし、物質の透過を制御するとともに、C末端側で膜結合グアニール酸キナーゼ(MAGUK)ファミリーのZO-1(Zonula occludens-1),ZO-2などTJの「裏打ち蛋白」を介して細胞骨格のActinと繋がっている。
1998年に月田らが最初にみつけたclaudin-1(Gene:3q28)の他に20種類以上のIsoformからなるファミリーが知られている。これらのファミリーの多くはC末端のアミノ酸がVal(V)、中でもTyr-Val(YV)の配列で終わるものが多いという特徴がある。また、細胞外ループ(extracelullar loop:ECL)には、49〜52アミノ酸残基からなるループ(ECL-1)と16〜33残基からなるループ(ECL-2)があり、ECL-1はファミリー内で相似性が高い。一般に上皮細胞のTJ上では複数のタイプが混在して発現しているが、claudin-5(Gene:22q11.21)は一部の血管内皮細胞に特異的に発現していると考えられている。
また、claudin-1は肝細胞におけるHCV感染のco-receptorとみられており、claudin-4(Gene:7q11.23)はウェルシュ菌(C.perfringens )の毒素(CPE)に対するレセプターとしても知られる。
Claudin-1はSenescence-associated epithelial membrane protein(SEMP)、claudin-4はClostridium perfringens enterotoxin receptor(CPE-R)、 Williams-Beuren syndrome chromosome region 8 protein (WBSCR8)、 claudin-5はTransmembrane protein deleted in velocardiofacial syndrome(TMDVCF)とも呼ばれる。
ホルマリン固定組織では要熱処理。ただし、熱処理を行うと時に核が染まることがある。 (リストより削除しました) |
1
MANAGLQLLG FILAFLGWIG AIVSTALPQW RIYSYAGDNI VTAQAMYEGL WMSCVSQSTG QIQCKVFDSL LNLSSTLQAT RALMVVGILL GVIAIFVATV
GMKCMKCLED DEVQKMRMAV IGGAIFLLAG LAILVATAWY GNRIVQEFYD PMTPVNARYE FGQALFTGWA AASLCLLGGA LLCCSCPRKT TSYPTPRPYP
KPAPSSGKDY V
4
MASMGLQVMG IALAVLGWLA VMLCCALPMW RVTAFIGSNI VTSQTIWEGL WMNCVVQSTG QMQCKVYDSL LALPQDLQAA RALVIISIIV AALGVLLSVV
GGKCTNCLED ESAKAKTMIV AGVVFLLAGL MVIVPVSWTA HNIIQDFYNP LVASGQKREM GASLYVGWAA SGLLLLGGGL LCCNCPPRTD KPYSAKYSAA
RSAAASNYV
5
MGSAALEILG LVLCLVGWGG LILACGLPMW QVTAFLDHNI VTAQTTWKGL WMSCVVQSTG HMQCKVYDSV LALSTEVQAA RALTVSAVLL AFVALFVTLA
GAQCTTCVAP GPAKARVALT GGVLYLFCGL LALVPLCWFA NIVVREFYDP SVPVSQKYEL GAALYIGWAA TALLMVGGCL LCCGAWVCTG RPDLSFPVKY
SAPRRPTATG DYDKKNYV
|
![]() CPE 腸粘膜下組織 X1000 右はそれをさらに拡大 |
C.perfringens は破傷風菌やボツリヌス菌と同じクロストリジウム属の芽胞形成性の嫌気性菌で、1892年に発見された。 3〜4μm×0.9〜1.3μmほどの大型のグラム陽性桿菌で、ガス壊疽菌、ウェルシュ菌(当初発見者の名にちなんで C. welshii と命名された)とも呼ばれる。ヒトや動物の腸管、土壤、海水中などに広く分布し、芽胞形成時にEnterotoxinと呼ばれる外毒素を産生する。大量調理された加熱食品(特に肉類)により食中毒(「給食病」の異名もある)の原因となるほか、創傷部より組織感染するとガス壊疽を起こし致死的な経過を辿ることもある。 EnterotoxinのタイプからA〜Eの5つの毒素型に分類され、食中毒、ガス壊疽ともに原因菌のほとんどはA型であると言われている。ホルマリン固定組織でも可で、菌体は-/+,芽胞は+,周囲組織にも細顆粒状に陽性反応がみられる。 (リストより削除しました) |
■ Collagen ■ | |||||
| Collagen type I(COL1),type II(COL2),type III(COL3),type IV(COL4) | |||||
|---|---|---|---|---|---|
![]() Collagen I 皮膚 X400 ![]() Collagen II 軟骨 X400 ![]() Collagen III 皮膚 X400 ![]() Collagen IV 皮膚 X400 ![]() Collagen IV 血管 X400 |
ギリシア語で「膠」を意味するKollaを名前の由来とするコラーゲンには20種以上のタイプが知られているが、基本的には、3残基ごとにグリシン(G)が繰り返し配列する千数百個ほど(type VI,VIII,Xなどは短い)のアミノ酸から成るペプチド鎖(α鎖と呼ばれるが40以上の異なる遺伝子に対応している)が右回りに三重の螺旋状(triple helical domain)に捩れ合わさった細長い分子で、type I,III,Vではこの捩れた3本のペプチド鎖が集まって直径10〜80nm程度の細線維(collagen fibril)を成し、さらにこれが束状に集合して膠原線維(collageb fiber)を形成し、細胞外基質(ECM)の一部として皮膚、腱、骨など全身に広く分布している。(なお、この三重螺旋構造は60℃程度に加熱すると解離し、再び冷やしても水分を多く含む不規則でルーズな絡まりにしかならず元の強靭さを示さない。これを「ゼラチン」という。) type IIも同様に細線維形成性コラーゲンであるが、コンドロイチン硫酸を含むaggrecanなどProteoglycanと結合し軟骨基質や硝子体の構成成分としてI,III,Vとは異なった分布をする。また type IIには type IXも結合している。 type IV(支配遺伝子はXq22ほか)は膜型(シート形成性)コラーゲンと呼ばれLamininとともにシートを形成し基底膜緻密層の主要な構成成分となっている。(この遺伝子異常がAlport症候群) これらはMMPやElastase,Cathepsin等の基質分解酵素によって分解され常に再構成されている。Integrinを受容体として細胞と接着するが、単に細胞を固定するだけでなく増殖の制御にも関係しているらしい。抗原性はホルマリン固定に対しても安定であるが蛋白分解酵素処理が必要な抗体も多い。 現在使用している抗体のうち、Polyclonal抗体である type I、type IIIは他種動物にも反応する。左に示した図の上から1つ目と3つ目は同一組織で、イヌ(ビーグル犬)の皮膚を用いた。 (猪山賢一ほか:「病理と臨床」Vol.29,臨時増刊;181-185,2011に主なcollagenの構成鎖や組織分布が示されている) (2011.12.27 Type I、Type IVの抗体を変更しました)
|
||||
COL1A1:
MFSFVDLRLL LLLAATALLT HGQEEGQVEG QDEDIPPITC VQNGLRYHDR DVWKPEPCRI CVCDNGKVLC DDVICDETKN CPGAEVPEGE CCPVCPDGSE
SPTDQETTGV EGPKGDTGPR GPRGPAGPPG RDGIPGQPGL PGPPGPPGPP GPPGLGGNFA PQLSYGYDEK STGGISVPGP MGPSGPRGLP GPPGAPGPQG
FQGPPGEPGE PGASGPMGPR GPPGPPGKNG DDGEAGKPGR PGERGPPGPQ GARGLPGTAG LPGMKGHRGF SGLDGAKGDA GPAGPKGEPG SPGENGAPGQ
MGPRGLPGER GRPGAPGPAG ARGNDGATGA AGPPGPTGPA GPPGFPGAVG AKGEAGPQGP RGSEGPQGVR GEPGPPGPAG AAGPAGNPGA DGQPGAKGAN
GAPGIAGAPG FPGARGPSGP QGPGGPPGPK GNSGEPGAPG SKGDTGAKGE PGPVGVQGPP GPAGEEGKRG ARGEPGPTGL PGPPGERGGP GSRGFPGADG
VAGPKGPAGE RGSPGPAGPK GSPGEAGRPG EAGLPGAKGL TGSPGSPGPD GKTGPPGPAG QDGRPGPPGP PGARGQAGVM GFPGPKGAAG EPGKAGERGV
PGPPGAVGPA GKDGEAGAQG PPGPAGPAGE RGEQGPAGSP GFQGLPGPAG PPGEAGKPGE QGVPGDLGAP GPSGARGERG FPGERGVQGP PGPAGPRGAN
GAPGNDGAKG DAGAPGAPGS QGAPGLQGMP GERGAAGLPG PKGDRGDAGP KGADGSPGKD GVRGLTGPIG PPGPAGAPGD KGESGPSGPA GPTGARGAPG
DRGEPGPPGP AGFAGPPGAD GQPGAKGEPG DAGAKGDAGP PGPAGPAGPP GPIGNVGAPG AKGARGSAGP PGATGFPGAA GRVGPPGPSG NAGPPGPPGP
AGKEGGKGPR GETGPAGRPG EVGPPGPPGP AGEKGSPGAD GPAGAPGTPG PQGIAGQRGV VGLPGQRGER GFPGLPGPSG EPGKQGPSGA SGERGPPGPM
GPPGLAGPPG ESGREGAPGA EGSPGRDGSP GAKGDRGETG PAGPPGAPGA PGAPGPVGPA GKSGDRGETG PAGPTGPVGP VGARGPAGPQ GPRGDKGETG
EQGDRGIKGH RGFSGLQGPP GPPGSPGEQG PSGASGPAGP RGPPGSAGAP GKDGLNGLPG PIGPPGPRGR TGDAGPVGPP GPPGPPGPPG PPSAGFDFSF
LPQPPQEKAH DGGRYYRADD ANVVRDRDLE VDTTLKSLSQ QIENIRSPEG SRKNPARTCR DLKMCHSDWK SGEYWIDPNQ GCNLDAIKVF CNMETGETCV
YPTQPSVAQK NWYISKNPKD KRHVWFGESM TDGFQFEYGG QGSDPADVAI QLTFLRLMST EASQNITYHC KNSVAYMDQQ TGNLKKALLL QGSNEIEIRA
EGNSRFTYSV TVDGCTSHTG AWGKTVIEYK TTKTSRLPII DVAPLDVGAP DQEFGFDVGP VCFL
COL2A1:
MIRLGAPQTL VLLTLLVAAV LRCQGQDVQE AGSCVQDGQR YNDKDVWKPE PCRICVCDTG TVLCDDIICE DVKDCLSPEI PFGECCPICP TDLATASGQP
GPKGQKGEPG DIKDIVGPKG PPGPQGPAGE QGPRGDRGDK GEKGAPGPRG RDGEPGTPGN PGPPGPPGPP GPPGLGGNFA AQMAGGFDEK AGGAQLGVMQ
GPMGPMGPRG PPGPAGAPGP QGFQGNPGEP GEPGVSGPMG PRGPPGPPGK PGDDGEAGKP GKAGERGPPG PQGARGFPGT PGLPGVKGHR GYPGLDGAKG
EAGAPGVKGE SGSPGENGSP GPMGPRGLPG ERGRTGPAGA AGARGNDGQP GPAGPPGPVG PAGGPGFPGA PGAKGEAGPT GARGPEGAQG PRGEPGTPGS
PGPAGASGNP GTDGIPGAKG SAGAPGIAGA PGFPGPRGPP GPQGATGPLG PKGQTGEPGI AGFKGEQGPK GEPGPAGPQG APGPAGEEGK RGARGEPGGV
GPIGPPGERG APGNRGFPGQ DGLAGPKGAP GERGPSGLAG PKGANGDPGR PGEPGLPGAR GLTGRPGDAG PQGKVGPSGA PGEDGRPGPP GPQGARGQPG
VMGFPGPKGA NGEPGKAGEK GLPGAPGLRG LPGKDGETGA AGPPGPAGPA GERGEQGAPG PSGFQGLPGP PGPPGEGGKP GDQGVPGEAG APGLVGPRGE
RGFPGERGSP GAQGLQGPRG LPGTPGTDGP KGASGPAGPP GAQGPPGLQG MPGERGAAGI AGPKGDRGDV GEKGPEGAPG KDGGRGLTGP IGPPGPAGAN
GEKGEVGPPG PAGSAGARGA PGERGETGPP GPAGFAGPPG ADGQPGAKGE QGEAGQKGDA GAPGPQGPSG APGPQGPTGV TGPKGARGAQ GPPGATGFPG
AAGRVGPPGS NGNPGPPGPP GPSGKDGPKG ARGDSGPPGR AGEPGLQGPA GPPGEKGEPG DDGPSGAEGP PGPQGLAGQR GIVGLPGQRG ERGFPGLPGP
SGEPGKQGAP GASGDRGPPG PVGPPGLTGP AGEPGREGSP GADGPPGRDG AAGVKGDRGE TGAVGAPGAP GPPGSPGPAG PTGKQGDRGE AGAQGPMGPS
GPAGARGIQG PQGPRGDKGE AGEPGERGLK GHRGFTGLQG LPGPPGPSGD QGASGPAGPS GPRGPPGPVG PSGKDGANGI PGPIGPPGPR GRSGETGPAG
PPGNPGPPGP PGPPGPGIDM SAFAGLGPRE KGPDPLQYMR ADQAAGGLRQ HDAEVDATLK SLNNQIESIR SPEGSRKNPA RTCRDLKLCH PEWKSGDYWI
DPNQGCTLDA MKVFCNMETG ETCVYPNPAN VPKKNWWSSK SKEKKHIWFG ETINGGFHFS YGDDNLAPNT ANVQMTFLRL LSTEGSQNIT YHCKNSIAYL
DEAAGNLKKA LLIQGSNDVE IRAEGNSRFT YTALKDGCTK HTGKWGKTVI EYRSQKTSRL PIIDIAPMDI GGPEQEFGVD IGPVCFL
|
■ Complements ■ | |
| 同じ免疫系の液性因子である抗体(Ig super family protein)を補助して標的細胞を障害する因子という意味から「補体」と名付けられた蛋白の一群。その名前からは”脇役”のように思えるが、抗体による免疫系が魚類以上の生物における蛋白質の識別を主とした「個体」の識別機構であるのに対して、より”原始的”な生物も含め広範な生物において糖質の識別を含めた「種」の識別に関する生体防御機構を担っていると考えられている。基本的な補体はC1〜C9まであり、これらがカスケード(滝)のように順に他を活性化させていく。この連鎖反応には、抗体に依存する「古典的経路」:C1-C4/C2-C3-C5-C6-C7-C8-C9の他に抗体に依存しない「第二経路」「レクチン経路」が知られているが、いずれもC5(C5b)〜C9までの最終段階は共通しており、この複合体(membrane attack complex)が標的の細胞膜を破壊する。またC3(C3b)やC4(C4b)はマクロファージなどのもつ補体受容体(Complement receptor:CR1〜CR4)と結合し貪食作用を促す。 | |
| C1q, C3, C4, | |
|---|---|
![]() C3 腎生検 FITC X200 ![]() C3 皮膚生検 FITC X200 |
C1はCa++を介してC1q(約410kDa,Gene:1p36.3-p34.1)1個に対しC1rとC1s(共に約83kDa,12p13)のサブユニットが各2個ずつ結合した複合体。C1q は古典的経路の最初の段階で、抗原に結合した抗体を認識して結合するアダプター分子であり、標的細胞の表面にC1複合体を固定するとともにC1rを活性化する。 C1rとC1sは共にセリンプロテアーゼに属する酵素(EC3.4.21.41,EC3.4.21.42)で、C1rはC1sを基質として限定分解して活性化し、さらにC1sはC2,C4を基質として活性化させる。 C3はSS結合したα鎖とβ鎖からなる血漿蛋白。(1663aa,180kDaほど,Gene:19p13.3-p13.2)その構造内に生理活性を有するペプチドを複数含んでおり、古典的経路ではC4b/2a複合体により、第二経路ではリポ多糖類(LPS)やプラスミンなどによりC3aとC3bとに分解することにより活性化する。 C3aはmast cellなどに炎症のメディエーターとして作用し、ヒスタミンを放出させ血管透過性を亢進させるなどアナフィラキシー症状を引き起こすのでアナフィラトキシンAnaphylatoxinと呼ばれる。 C3bは標的細胞の膜上の水酸基とエステル結合をし、C5を活性化しC6〜C9による細胞膜破壊の誘導、C3自身の活性化促進、補体受容体CR1〜4との結合による免疫接着反応、食細胞の貪食促進、NK細胞の活性化さらに抗体産生の促進など様々な活性を示す。 C4はα、β、γ鎖よりなる血漿蛋白。(1744aa,190kDaほど,Gene:6p21.3;C4A,C4B の2つのアロタイプがある)古典的経路ではC1sにより、レクチン経路では細菌表面に結合したMannose binding lectin(protein):MBL(MBP)及びその関連蛋白によりC4aとC4bに分解される。 C4bはC3bと同様に標的細胞の表面に結合する。(アミノ基に優先的に結合するものと水素基に結合するものとの2つがある)またC4bは一時的にC2aと複合体を形成しC3をC3aとC3bとに分解するC3 convertase(転換酵素)となり、一方、C4aはC3aと同様に遊離したアナフィラトキシンとして血管透過性を亢進させるなど炎症のメディエーターとなる。 C5はα、β鎖よりなる血漿蛋白(1676aa,180kDaほど,Gene:9q32-q34)で、C3,C4と構造的にも似ており、いずれの経路を経ても C3bを含むC5 convertase(転換酵素)が形成されることによりC5aとC5bに分解される。C5aはアナフィラトキシンとして働き、一方C5bは標的細胞の表面に結合しC6〜C9と複合体を形成する。 C6〜C9はperforin-like domeinを有し標的の細胞膜を障害するので、この複合体はMembrane attack complex(MAC)とも呼ばれる。(C5のみ削除しました) |
C3:
MGPTSGPSLL LLLLTHLPLA LGSPMYSIIT PNILRLESEE TMVLEAHDAQ GDVPVTVTVH DFPGKKLVLS SEKTVLTPAT NHMGNVTFTI PANREFKSEK
GRNKFVTVQA TFGTQVVEKV VLVSLQSGYL FIQTDKTIYT PGSTVLYRIF TVNHKLLPVG RTVMVNIENP EGIPVKQDSL SSQNQLGVLP LSWDIPELVN
MGQWKIRAYY ENSPQQVFST EFEVKEYVLP SFEVIVEPTE KFYYIYNEKG LEVTITARFL YGKKVEGTAF VIFGIQDGEQ RISLPESLKR IPIEDGSGEV
VLSRKVLLDG VQNPRAEDLV GKSLYVSATV ILHSGSDMVQ AERSGIPIVT SPYQIHFTKT PKYFKPGMPF DLMVFVTNPD GSPAYRVPVA VQGEDTVQSL
TQGDGVAKLS INTHPSQKPL SITVRTKKQE LSEAEQATRT MQALPYSTVG NSNNYLHLSV LRTELRPGET LNVNFLLRMD RAHEAKIRYY TYLIMNKGRL
LKAGRQVREP GQDLVVLPLS ITTDFIPSFR LVAYYTLIGA SGQREVVADS VWVDVKDSCV GSLVVKSGQS EDRQPVPGQQ MTLKIEGDHG ARVVLVAVDK
GVFVLNKKNK LTQSKIWDVV EKADIGCTPG SGKDYAGVFS DAGLTFTSSS GQQTAQRAEL QCPQPAARRR RSVQLTEKRM DKVGKYPKEL RKCCEDGMRE
NPMRFSCQRR TRFISLGEAC KKVFLDCCNY ITELRRQHAR ASHLGLARSN LDEDIIAEEN IVSRSEFPES WLWNVEDLKE PPKNGISTKL MNIFLKDSIT
TWEILAVSMS DKKGICVADP FEVTVMQDFF IDLRLPYSVV RNEQVEIRAV LYNYRQNQEL KVRVELLHNP AFCSLATTKR RHQQTVTIPP KSSLSVPYVI
VPLKTGLQEV EVKAAVYHHF ISDGVRKSLK VVPEGIRMNK TVAVRTLDPE RLGREGVQKE DIPPADLSDQ VPDTESETRI LLQGTPVAQM TEDAVDAERL
KHLIVTPSGC GEQNMIGMTP TVIAVHYLDE TEQWEKFGLE KRQGALELIK KGYTQQLAFR QPSSAFAAFV KRAPSTWLTA YVVKVFSLAV NLIAIDSQVL
CGAVKWLILE KQKPDGVFQE DAPVIHQEMI GGLRNNNEKD MALTAFVLIS LQEAKDICEE QVNSLPGSIT KAGDFLEANY MNLQRSYTVA IAGYALAQMG
RLKGPLLNKF LTTAKDKNRW EDPGKQLYNV EATSYALLAL LQLKDFDFVP PVVRWLNEQR YYGGGYGSTQ ATFMVFQALA QYQKDAPDHQ ELNLDVSLQL
PSRSSKITHR IHWESASLLR SEETKENEGF TVTAEGKGQG TLSVVTMYHA KAKDQLTCNK FDLKVTIKPA PETEKRPQDA KNTMILEICT RYRGDQDATM
SILDISMMTG FAPDTDDLKQ LANGVDRYIS KYELDKAFSD RNTLIIYLDK VSHSEDDCLA FKVHQYFNVE LIQPGAVKVY AYYNLEESCT RFYHPEKEDG
KLNKLCRDEL CRCAEENCFI QKSDDKVTLE ERLDKACEPG VDYVYKTRLV KVQLSNDFDE YIMAIEQTIK SGSDEVQVGQ QRTFISPIKC REALKLEEKK
HYLMWGLSSD FWGEKPNLSY IIGKDTWVEH WPEEDECQDE ENQKQCQDLG AFTESMVVFG CPN
C4:
MRLLWGLIWA SSFFTLSLQK PRLLLFSPSV VHLGVPLSVG VQLQDVPRGQ VVKGSVFLRN PSRNNVPCSP KVDFTLSSER DFALLSLQVP LKDAKSCGLH
QLLRGPEVQL VAHSPWLKDS LSRTTNIQGI NLLFSSRRGH LFLQTDQPIY NPGQRVRYRV FALDQKMRPS TDTITVMVEN SHGLRVRKKE VYMPSSIFQD
DFVIPDISEP GTWKISARFS DGLESNSSTQ FEVKKYVLPN FEVKITPGKP YILTVPGHLD EMQLDIQARY IYGKPVQGVA YVRFGLLDED GKKTFFRGLE
SQTKLVNGQS HISLSKAEFQ DALEKLNMGI TDLQGLRLYV AAAIIESPGG EMEEAELTSW YFVSSPFSLD LSKTKRHLVP GAPFLLQALV REMSGSPASG
IPVKVSATVS SPGSVPEVQD IQQNTDGSGQ VSIPIIIPQT ISELQLSVSA GSPHPAIARL TVAAPPSGGP GFLSIERPDS RPPRVGDTLN LNLRAVGSGA
TFSHYYYMIL SRGQIVFMNR EPKRTLTSVS VFVDHHLAPS FYFVAFYYHG DHPVANSLRV DVQAGACEGK LELSVDGAKQ YRNGESVKLH LETDSLALVA
LGALDTALYA AGSKSHKPLN MGKVFEAMNS YDLGCGPGGG DSALQVFQAA GLAFSDGDQW TLSRKRLSCP KEKTTRKKRN VNFQKAINEK LGQYASPTAK
RCCQDGVTRL PMMRSCEQRA ARVQQPDCRE PFLSCCQFAE SLRKKSRDKG QAGLQRALEI LQEEDLIDED DIPVRSFFPE NWLWRVETVD RFQILTLWLP
DSLTTWEIHG LSLSKTKGLC VATPVQLRVF REFHLHLRLP MSVRRFEQLE LRPVLYNYLD KNLTVSVHVS PVEGLCLAGG GGLAQQVLVP AGSARPVAFS
VVPTAAAAVS LKVVARGSFE FPVGDAVSKV LQIEKEGAIH REELVYELNP LDHRGRTLEI PGNSDPNMIP DGDFNSYVRV TASDPLDTLG SEGALSPGGV
ASLLRLPRGC GEQTMIYLAP TLAASRYLDK TEQWSTLPPE TKDHAVDLIQ KGYMRIQQFR KADGSYAAWL SRDSSTWLTA FVLKVLSLAQ EQVGGSPEKL
QETSNWLLSQ QQADGSFQDP CPVLDRSMQG GLVGNDETVA LTAFVTIALH HGLAVFQDEG AEPLKQRVEA SISKANSFLG EKASAGLLGA HAAAITAYAL
TLTKAPVDLL GVAHNNLMAM AQETGDNLYW GSVTGSQSNA VSPTPAPRNP SDPMPQAPAL WIETTAYALL HLLLHEGKAE MADQASAWLT RQGSFQGGFR
STQDTVIALD ALSAYWIASH TTEERGLNVT LSSTGRNGFK SHALQLNNRQ IRGLEEELQF SLGSKINVKV GGNSKGTLKV LRTYNVLDMK NTTCQDLQIE
VTVKGHVEYT MEANEDYEDY EYDELPAKDD PDAPLQPVTP LQLFEGRRNR RRREAPKVVE EQESRVHYTV CIWRNGKVGL SGMAIADVTL LSGFHALRAD
LEKLTSLSDR YVSHFETEGP HVLLYFDSVP TSRECVGFEA VQEVPVGLVQ PASATLYDYY NPERRCSVFY GAPSKSRLLA TLCSAEVCQC AEGKCPRQRR
ALERGLQDED GYRMKFACYY PRVEYGFQVK VLREDSRAAF RLFETKITQV LHFTKDVKAA ANQMRNFLVR ASCRLRLEPG KEYLIMGLDG ATYDLEGHPQ
YLLDSNSWIE EMPSERLCRS TRQRAACAQL NDFLQEYGTQ GCQV
|
■ Complement receptors ■ | |
| Complement receptor,type 1 (CR1,C3BR,CD35) Complement receptor,type 2 (CR2,C3DR,CD21) | |
|---|---|
![]() CR1 リンパ節 X400 ![]() CR2 リンパ節 X100 ![]() CR3 結腸凍結 X400 ![]() CR4 結腸凍結 X400 |
補体C3b/C4b受容体であるCR1(Gene:1q32;CR1)はモノマーのI 型細胞膜貫通蛋白(2039aa)で、細長く突き出した細胞外ドメインの3箇所にC3b,C4bと結合部位をもち、補体の過剰活性を抑制する制御因子でもある。約160〜250kDaと質量の異なるA〜Dの4種類のアロタイプがある。
(モンゴロイドはほとんどがA)
好中球、NK細胞ほかのリンパ球(B cell > T cell)の表面に発現しており、白血球抗原としてはCD35に分類されている。異物などと複合体を形成したC3bと結合すると、貪食作用、NK活性、抗体産生を促進する。他にリンパ節の樹状細胞、腎糸球体のpodocytes、赤血球にも見られ、異物の運搬、排出に関与する。ホルマリン固定組織ではTrypsinなどの蛋白分解酵素処理要。 CR2(Gene:1q32.2;CR2 )は1033aa、約145kDaのI 型細膜貫通糖蛋白であり、C3dの受容体(C3DR)として、抗原に結合したCD3dと結合すると細胞表面でCD19やCD81などと複合体を形成してB細胞を活性化する。また、IgE受容体であるCD23とも結合し、IgE産生の調節にも関わっているとみられている。Epstein-Barr virus (EBV) がリンパ球に感染する際の受容体として Systemic lupus erythematosus type 9 (SLEB9) あるいは単にEBV receptorとも呼ばれる。 成熟B細胞に発現する(ごく初期のpre-Bや形質細胞には発現がみられない)ほか、樹状細胞やマクロファージの一部などに発現し、白血球抗原としてはCD21に分類されている。 CR3とCR4は共にIntegrinβ2ファミリーに属するα鎖とβ鎖からなるヘテロダイマーで、LFA-1とβ鎖(β2,CD18)が共通している。 CR3(CD11b/CD18,Mac-1)については【M】Mac-1の項を参照。 CR4(Gene:6p11.2;CD11C はマクロファージ/単球、好中球、一部のリンパ球にみられ、CR3と分布はほぼ共通している。 C3b(iC3b)をリガンドとし、CD11c/CD18,Integrin alpha-X,Leu M5, Leukocyte adhesion receptor p150/95とも呼ばれる。 (CR3とCR4はリストより削除し、代わりにCR2を追加しました。) |
CR1:
MGASSPRSPE PVGPPAPGLP FCCGGSLLAV VVLLALPVAW GQCNAPEWLP FARPTNLTDE FEFPIGTYLN YECRPGYSGR PFSIICLKNS VWTGAKDRCR
RKSCRNPPDP VNGMVHVIKG IQFGSQIKYS CTKGYRLIGS SSATCIISGD TVIWDNETPI CDRIPCGLPP TITNGDFIST NRENFHYGSV VTYRCNPGSG
GRKVFELVGE PSIYCTSNDD QVGIWSGPAP QCIIPNKCTP PNVENGILVS DNRSLFSLNE VVEFRCQPGF VMKGPRRVKC QALNKWEPEL PSCSRVCQPP
PDVLHAERTQ RDKDNFSPGQ EVFYSCEPGY DLRGAASMRC TPQGDWSPAA PTCEVKSCDD FMGQLLNGRV LFPVNLQLGA KVDFVCDEGF QLKGSSASYC
VLAGMESLWN SSVPVCEQIF CPSPPVIPNG RHTGKPLEVF PFGKTVNYTC DPHPDRGTSF DLIGESTIRC TSDPQGNGVW SSPAPRCGIL GHCQAPDHFL
FAKLKTQTNA SDFPIGTSLK YECRPEYYGR PFSITCLDNL VWSSPKDVCK RKSCKTPPDP VNGMVHVITD IQVGSRINYS CTTGHRLIGH SSAECILSGN
AAHWSTKPPI CQRIPCGLPP TIANGDFIST NRENFHYGSV VTYRCNPGSG GRKVFELVGE PSIYCTSNDD QVGIWSGPAP QCIIPNKCTP PNVENGILVS
DNRSLFSLNE VVEFRCQPGF VMKGPRRVKC QALNKWEPEL PSCSRVCQPP PDVLHAERTQ RDKDNFSPGQ EVFYSCEPGY DLRGAASMRC TPQGDWSPAA
PTCEVKSCDD FMGQLLNGRV LFPVNLQLGA KVDFVCDEGF QLKGSSASYC VLAGMESLWN SSVPVCEQIF CPSPPVIPNG RHTGKPLEVF PFGKAVNYTC
DPHPDRGTSF DLIGESTIRC TSDPQGNGVW SSPAPRCGIL GHCQAPDHFL FAKLKTQTNA SDFPIGTSLK YECRPEYYGR PFSITCLDNL VWSSPKDVCK
RKSCKTPPDP VNGMVHVITD IQVGSRINYS CTTGHRLIGH SSAECILSGN TAHWSTKPPI CQRIPCGLPP TIANGDFIST NRENFHYGSV VTYRCNLGSR
GRKVFELVGE PSIYCTSNDD QVGIWSGPAP QCIIPNKCTP PNVENGILVS DNRSLFSLNE VVEFRCQPGF VMKGPRRVKC QALNKWEPEL PSCSRVCQPP
PEILHGEHTP SHQDNFSPGQ EVFYSCEPGY DLRGAASLHC TPQGDWSPEA PRCAVKSCDD FLGQLPHGRV LFPLNLQLGA KVSFVCDEGF RLKGSSVSHC
VLVGMRSLWN NSVPVCEHIF CPNPPAILNG RHTGTPSGDI PYGKEISYTC DPHPDRGMTF NLIGESTIRC TSDPHGNGVW SSPAPRCELS VRAGHCKTPE
QFPFASPTIP INDFEFPVGT SLNYECRPGY FGKMFSISCL ENLVWSSVED NCRRKSCGPP PEPFNGMVHI NTDTQFGSTV NYSCNEGFRL IGSPSTTCLV
SGNNVTWDKK APICEIISCE PPPTISNGDF YSNNRTSFHN GTVVTYQCHT GPDGEQLFEL VGERSIYCTS KDDQVGVWSS PPPRCISTNK CTAPEVENAI
RVPGNRSFFS LTEIIRFRCQ PGFVMVGSHT VQCQTNGRWG PKLPHCSRVC QPPPEILHGE HTLSHQDNFS PGQEVFYSCE PSYDLRGAAS LHCTPQGDWS
PEAPRCTVKS CDDFLGQLPH GRVLLPLNLQ LGAKVSFVCD EGFRLKGRSA SHCVLAGMKA LWNSSVPVCE QIFCPNPPAI LNGRHTGTPF GDIPYGKEIS
YACDTHPDRG MTFNLIGESS IRCTSDPQGN GVWSSPAPRC ELSVPAACPH PPKIQNGHYI GGHVSLYLPG MTISYICDPG YLLVGKGFIF CTDQGIWSQL
DHYCKEVNCS FPLFMNGISK ELEMKKVYHY GDYVTLKCED GYTLEGSPWS QCQADDRWDP PLAKCTSRTH DALIVGTLSG TIFFILLIIF LSWIILKHRK
GNNAHENPKE VAIHLHSQGG SSVHPRTLQT NEENSRVLP
CR2:
MGAAGLLGVF LALVAPGVLG ISCGSPPPIL NGRISYYSTP IAVGTVIRYS CSGTFRLIGE KSLLCITKDK VDGTWDKPAP KCEYFNKYSS CPEPIVPGGY
KIRGSTPYRH GDSVTFACKT NFSMNGNKSV WCQANNMWGP TRLPTCVSVF PLECPALPMI HNGHHTSENV GSIAPGLSVT YSCESGYLLV GEKIINCLSS
GKWSAVPPTC EEARCKSLGR FPNGKVKEPP ILRVGVTANF FCDEGYRLQG PPSSRCVIAG QGVAWTKMPV CEEIFCPSPP PILNGRHIGN SLANVSYGSI
VTYTCDPDPE EGVNFILIGE STLRCTVDSQ KTGTWSGPAP RCELSTSAVQ CPHPQILRGR MVSGQKDRYT YNDTVIFACM FGFTLKGSKQ IRCNAQGTWE
PSAPVCEKEC QAPPNILNGQ KEDRHMVRFD PGTSIKYSCN PGYVLVGEES IQCTSEGVWT PPVPQCKVAA CEATGRQLLT KPQHQFVRPD VNSSCGEGYK
LSGSVYQECQ GTIPWFMEIR LCKEITCPPP PVIYNGAHTG SSLEDFPYGT TVTYTCNPGP ERGVEFSLIG ESTIRCTSND QERGTWSGPA PLCKLSLLAV
QCSHVHIANG YKISGKEAPY FYNDTVTFKC YSGFTLKGSS QIRCKADNTW DPEIPVCEKE TCQHVRQSLQ ELPAGSRVEL VNTSCQDGYQ LTGHAYQMCQ
DAENGIWFKK IPLCKVIHCH PPPVIVNGKH TGMMAENFLY GNEVSYECDQ GFYLLGEKKL QCRSDSKGHG SWSGPSPQCL RSPPVTRCPN PEVKHGYKLN
KTHSAYSHND IVYVDCNPGF IMNGSRVIRC HTDNTWVPGV PTCIKKAFIG CPPPPKTPNG NHTGGNIARF SPGMSILYSC DQGYLLVGEA LLLCTHEGTW
SQPAPHCKEV NCSSPADMDG IQKGLEPRKM YQYGAVVTLE CEDGYMLEGS PQSQCQSDHQ WNPPLAVCRS RSLAPVLCGI AAGLILLTFL IVITLYVISK
HRARNYYTDT SQKEAFHLEA REVYSVDPYN PAS
|
![]() CN 結腸 X400さらに4倍 |
Cryptococcus neoformans は、Basidimycota門 Sporidiales種Filobasidiella (Cryptococcus)属に属する5-20μmの円形の担子菌類酵母様真菌。1895年頃に桃ジュースから発見されたそうで、土壌や植物など環境中に広く分布し、ヒト、イヌ、ネコなどに感染しクリプトコッカス症 cryptococcosisを起こす。鳥類は感染しないが保菌状態にあるハトなどの糞が乾燥、微粒子化して大気中に浮遊したものを吸って感染することがある、肺や皮膚のほか、脳脊髄で髄膜炎を起こすことが知られるが、それ以外の臓器を侵すこともある。cryptococcosisの発生は、人口10万人につき年間0.2〜0.9人という(横浜市衛生研究所)が、HIV感染者、ステロイド投与や臓器移殖後、慢性白血病/リンパ腫、サルコイドーシス患者など免疫異常時に多く発症し、日和見感染のひとつとされる。 C.neoformans には、A〜Dのserotypeにより neoformans(serotype A及びD)、gottii (B及びC)、grubii(Aの一部)のvariantがある。この抗体はglutaraldehydeで固定したvar.neoformans(serotype A)由来のpolysaccharideを家兎に免疫して得られたpolyclonal抗体であるが、var. gattiiのほか他のクリブトコッカス属のC.albidus やTorulopsis galbrata とも交差する。ホルマリン固定組織で可。 (保存抗体がなくなったためリストより削除しました) |
![]() CXCR4 X400 |
CXCR4は、CXCモチーフ(N末端側で2つのシステイン残基 (C) に他のアミノ酸 (X) が挟まれた配列)を有するC-X-Cケモカイン(CXCL)のレセプター(CXCR)のひとつで、細胞膜7回貫通型G蛋白共役受容体(GPCR)蛋白(Gene:2q21,352aa)。
リガンドはstromal cell derived factor-1(SDF-1/CXCL12)。 白血球抗原としてCD184と呼ばれるほか、FusinとかNeuropeptide Y receptor Y3(NPYY3R, NPYRL) 、Lipopolysaccharide-associated protein 3(LAP3)、 Leukocyte-derived seven transmembrane domain receptor(LESTR)などとも呼ばれる。 CXCL12との結合によってrasやPI3キナーゼ経路、JAK/STAT経路、AP-1やNFκB等の活性化が起き、造血、器官形成への関与の他、ヒト免疫不全ウイルス(HIV-1)が標的細胞内に侵入する際の受容体としての機能や腫瘍細胞での発現亢進(左図)が知られている。 (リスト非掲載) |
MEGISIYTSD NYTEEMGSGD YDSMKEPCFR EENANFNKIF LPTIYSIIFL TGIVGNGLVI LVMGYQKKLR SMTDKYRLHL SVADLLFVIT LPFWAVDAVA NWYFGNFLCK AVHVIYTVNL YSSVLILAFI SLDRYLAIVH ATNSQRPRKL LAEKVVYVGV WIPALLLTIP DFIFANVSEA DDRYICDRFY PNDLWVVVFQ FQHIMVGLIL PGIVILSCYC IIISKLSHSK GHQKRKALKT TVILILAFFA CWLPYYIGIS IDSFILLEII KQGCEFENTV HKWISITEAL AFFHCCLNPI LYAFLGAKFK TSAQHALTSV SRGSSLKILS KGKRGGHSSV STESESSSFH SS (Can:95%, Rab:96%) |
| Cyclin D1 ( PRAD1,CCND1,bcl -1 ) | |
|---|---|
![]() Cyclin D1 乳癌 X400 ![]() Cyclin D1 Lymphoma X400 |
Cyclinは主に細胞周期Cell cycleの制御に関係する蛋白。 CyclinにはA〜Iが知られ、Dは細胞周期のG1後期から増加し、続いてE、S期からG2期にかけてA、G2期からM期にかけてはBが増加する。Cyclin Dは、EとともにG1期の短縮による細胞増殖の促進性の調節因子として働くので「G1期サイクリン」とも呼ばれるが、S期以降にも発現している。 D1〜D3があり、D1はCyclin dependent protein kinase(Cdk,CDK)4及び6と、D2とD3はCdk2,4及び6と複合体を形成してキナーゼを活性化し、細胞増殖抑制因子であるRb蛋白を燐酸化して不活性化するが、p21、p27などCdk阻害蛋白によってその活性は阻害される。いずれもN末端側にRb蛋白結合部位を有し、Cdkと結合する中央部付近でCyclin Boxと呼ばれる共通の構造を持つ。 Cyclin D1は295aa、約36kDaの蛋白で、その遺伝子は11番染色体(11q13)に位置し、 t (11;14) (q13;q32)転座を認めるMantle-zone Bcell由来の Mantle cell lymphomaにおいても過剰に発現することが知られており、その診断に有用とされることからbcl-1とも呼ばれ、また副甲状腺腺腫(parathyloid adenoma)の癌遺伝子とされたPRAD1とも同一のものである。 免疫組織化学レベルでは通常の状態では検出できないが、乳癌、食道癌などで過剰発現を来した細胞の核内に陽性所見が得られる。乳癌ではERとの相関があるとも、 過剰発現の見られる症例では術後再発率が高いとも言われる。 ホルマリン固定では要熱処理。固定状態によっては時に染まりにくい時がある。 |
MEHQLLCCEV ETIRRAYPDA NLLNDRVLRA MLKAEETCAP SVSYFKCVQK EVLPSMRKIV ATWMLEVCEE QKCEEEVFPL AMNYLDRFLS LEPVKKSRLQ
LLGATCMFVA SKMKETIPLT AEKLCIYTDN SIRPEELLQM ELLLVNKLKW NLAAMTPHDF IEHFLSKMPE AEENKQIIRK HAQTFVALCA TDVKFISNPP
SMVAAGSVVA AVQGLNLRSP NNFLSYYRLT RFLSRVIKCD PDCLRACQEQ IEALLESSLR QAQQNMDPKA AEEEEEEEEE VDLACTPTDV RDVDI
|
| Cyclin-dependent kinase 4 (CDK4) | |
|---|---|
![]() CDK4 乳癌 X400 |
Cyclin-dependent kinase(CDK)はすべての真核生物に存在するセリン/スレオニンキナーゼ (EC 2.7.11.22)で、名前の通りCyclinと複合体を形成することでキナーゼ活性を示す34〜40kDa程度の小型の蛋白ファミリー。CDK4は12q14.1の遺伝子にコードされる303aaの蛋白でCyclin D1/D2と複合体を形成し、Rb蛋白のリン酸化や細胞周期のG1期からS期への移行など細胞分裂を調整することからがんの標的治療薬の対象としても知られる。サイクリンD1(CCND1)とCDK阻害因子であるp16INK4aによって制御され、核内に移行する。 |
MATSRYEPVA EIGVGAYGTV YKARDPHSGH FVALKSVRVP NGGGGGGGLP ISTVREVALL RRLEAFEHPN VVRLMDVCAT SRTDREIKVT LVFEHVDQDL RTYLDKAPPP GLPAETIKDL MRQFLRGLDF LHANCIVHRD LKPENILVTS GGTVKLADFG LARIYSYQMA LTPVVVTLWY RAPEVLLQST YATPVDMWSV GCIFAEMFRR KPLFCGNSEA DQLGKIFDLI GLPPEDDWPR DVSLPRGAFP PRGPRPVQSV VPEMEESGAQ LLLEMLTFNP HKRISAFRAL QHSYLHKDEG NPE |
■ Cyclin-dependent kinase inhibitor ■ | |||||||||||||||||||||||||||||||||||||||||
| CDKN 1C (p 57), CDKN 2A (p 16) | |||||||||||||||||||||||||||||||||||||||||
|---|---|---|---|---|---|---|---|---|---|---|---|---|---|---|---|---|---|---|---|---|---|---|---|---|---|---|---|---|---|---|---|---|---|---|---|---|---|---|---|---|---|
![]() CDKN1A (p21) 結腸癌 X400 ![]() CDKN2A (p16) 食道癌 X400 |
Cyclin-dependent kinase inhibitor ptotein(CDKN)はCyclin依存性キナーゼ Cyclin-dependent kinase(CDK, Cdk)の活性を阻害して細胞増殖を抑制的に調節する蛋白。
| ||||||||||||||||||||||||||||||||||||||||
| Cyclo-oxygenase-2 (COX-2) 別名:Prostaglandin G/H synthase(PGHS)-2 | |
|---|---|
![]() Cox-2 腺様嚢胞癌 X400 ホルマリン固定 |
Cyclo-oxygenase(COX)はprostaglandin G/H synthase, prostaglandin endoperoxide synthaseとも呼ばれるように小胞体内腔でアラキドン酸からprostaglandinを合成する酵素(EC1.14.99.1)で、血流・血圧の維持、血小板凝集、血管新生など、また炎症時の発熱、疼痛、血管透過性の亢進などに関係している。 COX-1とCOX-2の2つのアイソフォームがあり、両者のアミノ酸配列には約60%の相同性があるが、COX-1の方が構成型蛋白として恒常的に発現しているのに対し、COX-2 (約70kDa,Gene:1q25.2-25.3)はgrowth factorや炎症性サイトカインあるいはNFκBなど腫瘍のpromoterの刺激に反応して(誘導されて)迅速かつ短期間に発現すると言われている。従ってこれらの刺激に細胞が反応している指標として利用できる点が注目されている。ホルマリン固定組織では反応しにくい場合もあるが、左の写真のように熱処理が有効な場合も多く細胞質に反応する。 抗炎症剤として有名なアスピリンの作用が実はCOXの抑制にあったことが解明されている。 |
Prostaglandinは1930年代に血圧降下と子宮の平滑筋収縮作用を持つ物質としてヒトの精液中から発見された。そのため最初は前立腺(Prostatic gland)で合成されるものと考えられたのが名称の由来となった。 |
MLARALLLCA VLALSHTANP CCSHPCQNRG VCMSVGFDQY KCDCTRTGFY GENCSTPEFL TRIKLFLKPT PNTVHYILTH FKGFWNVVNN IPFLRNAIMS YVLTSRSHLI DSPPTYNADY GYKSWEAFSN LSYYTRALPP VPDDCPTPLG VKGKKQLPDS NEIVEKLLLR RKFIPDPQGS NMMFAFFAQH FTHQFFKTDH KRGPAFTNGL GHGVDLNHIY GETLARQRKL RLFKDGKMKY QIIDGEMYPP TVKDTQAEMI YPPQVPEHLR FAVGQEVFGL VPGLMMYATI WLREHNRVCD VLKQEHPEWG DEQLFQTSRL ILIGETIKIV IEDYVQHLSG YHFKLKFDPE LLFNKQFQYQ NRIAAEFNTL YHWHPLLPDT FQIHDQKYNY QQFIYNNSIL LEHGITQFVE SFTRQIAGRV AGGRNVPPAV QKVSQASIDQ SRQMKYQSFN EYRKRFMLKP YESFEELTGE KEMSAELEAL YGDIDAVELY PALLVEKPRP DAIFGETMVE VGAPFSLKGL MGNVICSPAY WKPSTFGGEV GFQIINTASI QSLICNNVKG CPFTSFSVPD PELIKTVTIN ASSSRSGLDD INPTVLLKER STEL (18-604) |
![]() CyC LPS刺激マウス肺 X400 ホルマリン固定 |
Myoglobinなどと同様に鉄を含むヘム蛋白のため「細胞内色素」(薄いピンク色だと言われるが)の意味をもつcytochromeは細胞内のミトコンドリアの内膜と外膜の間に存在する小さな球状の可溶性蛋白でミトコンドリアの電子伝達系(伝達された電子が酸素を還元する)に重要な酸化還元酵素である。 Cの他にA,B,p450などがあり、 Cytochrome C(105aa,約12kDa,Gene:7p15;CYC)は、BAX、Granzyme Bや様々なストレスなどの刺激(p53やJNKが関与しているらしい)によりミトコンドリアから遊離して細胞質Cytozol内へ放出されると、 Apaf-1(Apoptotic protease activating factor-1)とCaspase9などの複合体(apoptosomeと呼ばれる)を形成してCaspase3を活性化させApoptosisを誘導すること、bcl -2によってこれは抑制されることが知られている。なお、CytochromeCは種を越えて広く保存されており、免疫組織化学的にもマウス、ラットなど多くの動物と交差反応がある。 (抗体の期限切れに伴いリストより削除) |
MGDVEKGKKI FIMKCSQCHT VEKGGKHKTG PNLHGLFGRK TGQAPGYSYT AANKNKGIIW GEDTLMEYLE NPKKYIPGTK MIFVGIKKKE ERADLIAYLK
KATNE (Can:89% Rab:91% Equ:89% Bos:90% Sus:90% Mus:91% Rat:91% Gal:87%)
|
| Human Cytomegalovirus (CMV, HCMV), Immediate early/Early antigen | |
|---|---|
![]() CMV-EA 肺 X400 ![]() CMV-ISH 肺 X400 NewFuchsin発色 |
ヒト・サイトメガロウィルス(HCMV)はヒト・ヘルペス群ウィルス(HHV)に属する二本鎖DNAウィルス(ベータヘルペス亜科:HHV-5)で、HHVの中でも大型であり、増殖速度も遅い。宿主域が狭く、ヒトCMVのほか、マウスに感染するMurine CMVが知られている。
本邦ではほとんどの人が小児期までに不顕性に感染するが、一度感染すると宿主の細胞に潜伏し、宿主の免疫能が低下すると潜伏ウィルスが再活性化して白血球減少症、間質性肺炎、胃腸炎、網膜炎、脳炎等を起こす。
発症例では円形・大型化した感染細胞にOwl eye(梟の眼)と呼ばれる核内封入体がみられることより巨細胞封入体症 (Cytomegalic inclusion disease:CID)と呼ばれている。
ウィルス遺伝子は前初期(Immediate early)、感染後6〜24時間くらいの初期(Early)、それより遅く48〜72時間の後期(Late)というように順に複製されて行き、各時期で転写・翻訳された蛋白質が形成されるが、
現在用いている抗体は、CMVの実験室株であるAD169 strainの76kD蛋白を認識するDDG9と初期蛋白であるDNA結合蛋白 p52を認識するCCH2という2種類のクローンのカクテル抗体で、FFPE標本でも反応する。
なお、In situ hybridization (ISH) 法を用いればウィルスの核酸をFFPE標本上で検出することもできる(図下) が、現在は受託を中止している。 |




























































