A
最終更新日:2024.12.24
We are not selling antibodies. / Nous ne vendons pas d'anticorps. / Wir verkaufen keinen Antikorper.
No vendemos un anticuerpo. / 我們沒銷售抗體 / мы не продавать антило
抗体の製造・販売はしていません。
| Anti- | 抗体名 | 略称 | 別名 | HOST | CLONE名 | 適用 |
|---|---|---|---|---|---|---|
| Human | Acid phosphatae5,tartrate resistant | TRAP | →Tartrate resistant acid phosphatase (TRAP) | Mouse | 26E5 | P* |
| Human | Actin,muscle | HHF35 | →HHF35 | Mouse | HHF35 | P |
| Rabbit* | Actin,Sarcomeric Muscle | Sr-1 | →Sr-1→α-Sr-1 | Mouse | αSr-1 | P |
| Human | Actin,Smooth Muscle | SMA | →SMA→α-SMA | Mouse | 1A4 | P |
| Hu,Ms | Adipophilin | ADFP | perilipin 2(PLIN2),ADRP | Rabbit | poly | P |
| Human | Adrenocorticotropic Hormone | ACTH | Adenocorticotropin | Mouse | 02A3 | P |
| Human | α1- Antitrypsin | AAT | α1-proteinase inhibitor | Rabbit | Poly | P |
| Human | α1- Antichymotrypsin | AACT | Rabbit | Poly | P | |
| Human | α-Fetoprotein | AFP | Mouse | C3 | P | |
| Human | α-Inhibin | aInh | →Inhibin,α | Rabbit | Poly | P |
| Human | α-Methylacyl-CoA Racemase | AMACR | AMACR, P504S | Rabbit | 13H4 | P* |
| Rabbit* | α-Sarcomeric Muscle Actin | Sr-1 | →Sr-1→Actin | Mouse | αSr-1 | P |
| Human | α-Smooth Muscle Actin | SMA | →SMA→Actin | Mouse | 1A4 | P |
| Human | Albumin | ALB | Rabbit | Poly | P | |
| Human | Amylase,salivary | S-AMY | Sheep | Poly | P | |
| Human | Amyloid A | AA | AA protein | Mouse | mcl | P |
| Human | Amyloid P | AP | P component | Rabbit | EP1018Y | P |
| Human | Anaplastic lymphoma kinase(ALK) | ALK | →p80(NPM/ALK), ALK, CD246 | Mouse | 5A4 | P* |
| Human | Androgen receptor | AR | NR3C4 | Mouse | AR441 | P* |
| Human | APO-1 | Fas | →Fas,→CD95 | Rabbit | Poly | P* |
| Human | Apolipoprotein A-1 | ApoA | Goat | Poly | P | |
| Human | Apolipoprotein C-III | ApoC | Rabbit | Poly | P* | |
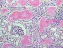
| Acid phosphatase 5,tartrate resistant(ACP5) ( 別名:TRAP,TRACP,TR-AcP,PPA5 ) | |
|---|---|
![]() TRAP 扁桃 X400 |
酒石酸抵抗性酸性フォスファターゼ。燐酸モノエステルを加水分解する酵素(EC 3.1.3.2,Phosphomonoesterase、Glycerophosphataseとも呼ばれる)のアイソザイムのひとつ。 → 【T】Tartrate resistant acid phosphatase (TRAP,TRACP) |
![]() ACR マウス皮膚 X400 |
アクロレイン(ACR)は2-Propenalとも呼ばれ、 医薬合成中間体や溶剤、洗浄剤、合成樹脂などの原料として工業的にはグリセリンを硫酸マグネシウムなどで脱水して合成されるほか、 燃料・合成樹脂・食品などに含まれる不飽和脂肪酸の加熱分解によっても生ずる揮発性で引火性が強く腐食性・刺激性の液体で、生体に対し毒性(マウス経口投与LD50:13.9〜28mg/kg)や変異原性も報告されており、毒劇物取締法:劇物、安衛法:通知対象危険物、消防法:危険物第4類、化管法:第1種指定化学物質、 大気汚染防止法:特定物質等に指定されている。生体内では、アルキル化剤のシクロホスファミドなどが代謝されて生じ出血性膀胱炎を起すほか、脂質の過酸化反応によって生成され蛋白質と直接反応する。 この抗体はACRとリジン残基との反応物を認識するという。(抗体がなくなったのでリストより削除しました。) |
■ Actin ■ | |
| Actin, Muscle Actin (HHF35) | |
|---|---|
![]() HHF35 心筋・血管 X400 |
Actinは分子量約43000の球状の蛋白(G-actin)で、生理的条件下では数珠状に重合して二重螺旋状のfilament(F-actin)となり細胞骨格 Cytoskeletonを成している。哺乳類では6種類のアイソフォームが知られており、また等電点の違いにより(pHの低い方から)α(1q42:α1など)、β(7p22)、γ(17q25;γ1など)に分類されており、それぞれ遺伝子が異なる。筋肉以外にもほとんどの細胞に含まれるが、α-Actinとγ-actinの一部が筋肉に、β及びγ-Actinの一部は筋肉以外に含まれる。 HHF35抗体は横紋筋・平滑筋ともに反応し、左の写真では心筋とともに血管平滑筋が陽性となっているのがわかる。(ただし、一般的傾向としてこの抗体に限らず抗アクチン抗体は血管平滑筋にもっとも強く反応し、臓器平滑筋・骨格筋の反応はそれより弱いものが多い。) |
| Actin, α-Sarcomeric Muscular Actin (Sr-1) | |
|---|---|
![]() Sr-1 軟部肉腫 X400 |
筋肉に含まれるα-actin(Gene:1q42-q43ほか)の中でも骨格筋、心筋、臓器平滑筋・血管壁平滑筋それぞれのactinではアミノ酸配列が若干異なる。 αSr-1抗体は主に骨格筋に反応するので横紋筋肉腫などの鑑別にHHF35、MyoD1、Myoglobin、Troponinなどと共に利用される。また、この抗体は抗Rabbit抗体であるが種特異性が比較的低いため、ヒト、イヌなど多くの種で反応する。ホルマリン固定組織でも可能だが、反応が弱いことがある。 |
| Actin, α-Smooth Muscle Actin (SMA) | |
|---|---|
![]() SMA 胃肉腫 X400 |
α-Actinの内、10q23.31の遺伝子ACTA2 に支配される平滑筋 α-actin(SM-α actin:377aa,約42kD)に対する抗体で、骨格筋・心筋とは反応しないので平滑筋分化マーカーとして平滑筋・筋上皮細胞由来の腫瘍の鑑別にCaldesmon、Calponinなどと共に有用。ただし臓器平滑筋と血管平滑筋との識別はできず血管壁の方がむしろよく染まる。ホルマリン固定組織でも比較的安定した結果が得られる抗原であるが、細胞間が非常に緻密な筋腫の場合には反応が弱いことがある。 |
![]() |
![]() |
細胞骨格と呼ばれるようにActinは細胞の形の保持に関係している。ホルマリン固定組織では細胞質にほとんどび漫性にしか反応しないが、細胞標本では条件によっては核周囲からFilament状に一定の構造的配列を示していることが観察できる。図左:α-SMA酵素抗体法(発色基質:DAB)、図右:同蛍光抗体法(標識色素:FITC、核:DAPI) |
alpha1 skeletal muscle actin MCDEDETTAL VCDNGSGLVK AGFAGDDAPR AVFPSIVGRP RHQGVMVGMG QKDSYVGDEA QSKRGILTLK YPIEHGIITN WDDMEKIWHH TFYNELRVAP EEHPTLLTEA PLNPKANREK MTQIMFETFN VPAMYVAIQA VLSLYASGRT TGIVLDSGDG VTHNVPIYEG YALPHAIMRL DLAGRDLTDY LMKILTERGY SFVTTAEREI VRDIKEKLCY VALDFENEMA TAASSSSLEK SYELPDGQVI TIGNERFRCP ETLFQPSFIG MESAGIHETT YNSIMKCDID IRKDLYANNV MSGGTTMYPG IADRMQKEIT ALAPSTMKIK IIAPPERKYS VWIGGSILAS LSTFQQMWIT KQEYDEAGPS IVHRKCF alpha2 Smooth muscle actin MCEEEDSTAL VCDNGSGLCK AGFAGDDAPR AVFPSIVGRP RHQGVMVGMG QKDSYVGDEA QSKRGILTLK YPIEHGIITN WDDMEKIWHH SFYNELRVAP EEHPTLLTEA PLNPKANREK MTQIMFETFN VPAMYVAIQA VLSLYASGRT TGIVLDSGDG VTHNVPIYEG YALPHAIMRL DLAGRDLTDY LMKILTERGY SFVTTAEREI VRDIKEKLCY VALDFENEMA TAASSSSLEK SYELPDGQVI TIGNERFRCP ETLFQPSFIG MESAGIHETT YNSIMKCDID IRKDLYANNV LSGGTTMYPG IADRMQKEIT ALAPSTMKIK IIAPPERKYS VWIGGSILAS LSTFQQMWIS KQEYDEAGPS IVHRKCF |
| Adipophilin(ADFP) ( 別名:Perilipin-2:PLIN2, ADRP ) | |
|---|---|
![]() ADFP 副腎皮質FFPE X400 |
Adipophilin(437aa,Gene:9p22.1PLIN2 )はPerilipin−Adipophilin−TAP-47 の頭文字をとってPATファミリーと呼ばれる細胞内脂質蓄積関連蛋白のひとつで、Perilipin-2(PLIN2)とかAdipose differentiation related protein(ADRP)とも呼ばれる。perilipin に比べて比較的小粒の脂肪滴上に局在する傾向があると言われ、脂肪組織、皮脂腺、乳腺、副腎皮質、セルトリ細胞やライデッヒ細胞などのほか、非アルコール性脂肪性肝炎(NASH)における脂肪変性細胞や動脈硬化巣での泡沫細胞にも発現しており、脂肪細胞・脂腺由来腫瘍のほか結腸直腸癌、肝細胞癌、腎細胞癌などでも過剰発現が報告されている。 凍結切片に依存せずFFPE標本でも可能で、パラフィン包埋やアルコール固定をされて既に脂肪染色が不可能となった標本でも脂肪滴の存在を確認でき、かつ幅広い動物種に対応可。 |
MASVAVDPQP SVVTRVVNLP LVSSTYDLMS SAYLSTKDQY PYLKSVCEMA ENGVKTITSV AMTSALPIIQ KLEPQIAVAN TYACKGLDRI EERLPILNQP STQIVANAKG AVTGAKDAVT TTVTGAKDSV ASTITGVMDK TKGAVTGSVE KTKSVVSGSI NTVLGSRMMQ LVSSGVENAL TKSELLVEQY LPLTEEELEK EAKKVEGFDL VQKPSYYVRL GSLSTKLHSR AYQQALSRVK EAKQKSQQTI SQLHSTVHLI EFARKNVYSA NQKIQDAQDK LYLSWVEWKR SIGYDDTDES HCAEHIESRT LAIARNLTQQ LQTTCHTLLS NIQGVPQNIQ DQAKHMGVMA GDIYSVFRNA ASFKEVSDSL LTSSKGQLQK MKESLDDVMD YLVNNTPLNW LVGPFYPQLT ESQNAQDQGA EMDKSSQETQ RSEHKTH ( Mus:96%) |
![]() Adiponectin 膵 X400 |
摂食抑制作用を示すLeptinの遺伝子が1994年にクローニングされて以来、脂肪細胞から放出されるTNFα、PAI-1、Resistinなどのいわゆる"Adipocytokine"の解明が進んできた。Adiponectin(Gene:3q27)もそのひとつで、脂肪織に高発現する遺伝子という意味でAdipose most abundant gene transcript 1(apM1)、またN末端側にCollagen構造を、C末端側に補体C1q類似ドメインを有する構造から Adipocyte C1q and collagen domain containing protein(AdipoQ)、adipocyte complement related protein 30kDa(Acrp30)とも、ゼラチン結合能を持つ血漿蛋白としてGelatin-binding protein 28kD(GBP28)とも呼ばれる。 放出されたAdiponectinの血中濃度はBMI(体格指数)や体脂肪率と逆相関すると言われ、Insulin抵抗性を示すTNFα、Resistinに拮抗、遊離脂肪酸の酸化促進、骨格筋への糖の取込みの促進、肝細胞でのグリコーゲン分解抑制などのいわゆる抗糖尿病作用、マクロファージの血管内皮細胞への接着、泡沫化の抑制など抗動脈硬化作用が注目されている。 ホルマリン固定組織で可能。(現在、リストより削除しています。) |
MLLLGAVLLL LALPGHDQET TTQGPGVLLP LPKGACTGWM AGIPGHPGHN GAPGRDGRDG TPGEKGEKGD PGLIGPKGDI GETGVPGAEG PRGFPGIQGR KGEPGEGAYV YRSAFSVGLE TYVTIPNMPI RFTKIFYNQQ NHYDGSTGKF HCNIPGLYYF AYHITVYMKD VKVSLFKKDK AMLFTYDQYQ ENNVDQASGS VLLHLEVGDQ VWLQVYGEGE RNGLYADNDN DSTFTGFLLY HDTN |
![]() β1AR 心筋 凍結 X400 |
交感神経から出る神経伝達物質の受容体にはαとβの2種類がある。α受容体がアドレナリン(epinephrine)とノルアドレナリン(norepinephrine)をリガンドとし、主に血管(他に気管支、消化管、前立腺など)の平滑筋を収縮させるのに対し、β受容体はepinephrineには反応するが、norepinephrineには反応しない。β受容体のうち、心筋と腸に存在するβ1受容体(Gene:10q24-q26)は主に心臓を刺激し、心拍数増加、伝導速度の増加、心房・心室の収縮力や血液量を増加させる。 他には末梢血管や気管支等の平滑筋を拡張させるβ2受容体(Gene:5q31-q32)や脂肪の分解、燃焼を促進するβ3(Gene:8p12-8p11.1)受容体がある。 凍結切片のみ。(現在、リストより削除しています。) |
MGAGVLVLGA SEPGNLSSAA PLPDGAATAA RLLVPASPPA SLLPPASESP EPLSQQWTAG MGLLMALIVL LIVAGNVLVI VAIAKTPRLQ TLTNLFIMSL ASADLVMGLL VVPFGATIVV WGRWEYGSFF CELWTSVDVL CVTASIETLC VIALDRYLAI TSPFRYQSLL TRARARGLVC TVWAISALVS FLPILMHWWR AESDEARRCY NDPKCCDFVT NRAYAIASSV VSFYVPLCIM AFVYLRVFRE AQKQVKKIDS CERRFLGGPA RPPSPSPSPV PAPAPPPGPP RPAAAAATAP LANGRAGKRR PSRLVALREQ KALKTLGIIM GVFTLCWLPF FLANVVKAFH RELVPDRLFV FFNWLGYANS AFNPIIYCRS PDFRKAFQRL LCCARRAARR RHATHGDRPR ASGCLARPGP PPSPGAASDD DDDDVVGATP PARLLEPWAG CNGGAAADSD SSLDEPCRPG FASESKV |
| Adrenocorticotropic hormone (ACTH) ( 別名:Adrenocorticotropin ) | |
|---|---|
![]() ACTH 下垂体 X400 |
下垂体前葉で合成分泌され副腎皮質を刺激する分子量約4500の直鎖ペプチドホルモンで、前駆体であるPro-opiomelanocortin(POMC、267aa、Gene:2p23.3)はMSH,βEndorphin等を含む。下垂体の他、副腎髄質、胃、膵ラ島等にもACTH含有細胞が存在するといわれており、機能性下垂体腺腫の他、肺小細胞癌、カルチノイド、膵島細胞腫などの"異所性"ACTH産生腫瘍の診断に有用。なおACTHは39個のアミノ酸から成るが、モノクローナル抗体の場合は抗体により認識するアミノ酸配列が異なり、clone:56はCLIP(ACTH17-39)と反応し、Synacthen(ACTH1-24)とは反応しない。clone:02A3はACTH24-39(C末端側からのアミノ酸配列)を認識する。ホルマリン固定組織可。 |
MPRSCCSRSG ALLLALLLQA SMEVRGWCLE SSQCQDLTTE SNLLECIRAC KPDLSAETPM FPGNGDEQPL TENPRKYVMG HFRWDRFGRR NSSSSGSSGA GQKREDVSAG EDCGPLPEGG PEPRSDGAKP GPREGKRSYS MEHFRWGKPV GKKRRPVKVY PNGAEDESAE AFPLEFKREL TGQRLREGDG PDGPADDGAG AQADLEHSLL VAAEKKDEGP YRMEHFRWGS PPKDKRYGGF MTSEKSQTPL VTLFKNAIIK NAYKKGE (138-176 POMC 267aa) |
![]() ADM 子宮体部癌 X400 |
アドレノメデュリン(AM,ADM)は副腎髄質褐色細胞腫の組織抽出液から発見された強い降圧作用をもつ生理活性物質で、持続性の血管拡張、利尿作用、アルドステロン分泌抑制、赤血球の流動性亢進、血管平滑筋の増殖抑制、血管内皮細胞のApoptosis抑制などの作用を示し、本態性高血圧、動脈硬化症において血中濃度が上昇すること、またこの前駆体(Proadrenomedullin:ProAM,Gene:11p15.4)のN末端側から分離されるPAMPも降圧作用をもつことが知られている。 副腎髄質の他にも広く発現、分泌されているが、血管、腎、肺などで発現量が多いと言われる。CGRPと構造に相同性があり、受容体の一部(Calcitonin receptor-like receptor:CRLR)が共通している。細胞質内に分泌抗原として存在。凍結切片のほかホルマリン固定組織でも可だが、反応が弱い場合は過酸化水素処理を抗体の反応後に行うと改善されることがある。なお、種特異性が高くRat、Mouseには交差しない。(特許の関係でこの抗体は現在入手不可です。ストックも底をついたのでリストより削除しました。) |
MKLVSVALMY LGSLAFLGAD TARLDVASEF RKKWNKWALS RGKRELRMSS SYPTGLADVK AGPAQTLIRP QDMKGASRSP EDSSPDAARI RVKRYRQSMN NFQGLRSFGC RFGTCTVQKL AHQIYQFTDK DKDNVAPRSK ISPQGYGRRR RRSLPEAGPG RTLVSSKPQA HGAPAPPSGS APHFL (95-146) |
( 別名:Protein kinase B, RAC-PK, AKT/PKB ) (参考) | |
|---|---|
![]() pAkt 乳癌 X400 |
AKTは、げっ歯類の胸線腫ウィルスのv-akt 癌遺伝子のhomologであるc-akt (14q32.32, 23.9kb, 14Exon)がコードするserine/threonine kinase(EC2.7.11.1)で、リン酸化酵素としてBADをリン酸化しBcl-xLとの結合を阻害してapoptosisを抑制するほか、p21,eNOSや一部のFoxなども基質とする。Akt1(480aa,約56kD)など数種類のisoformがあり、Protein Kinase B(PKB)、Related to A and C Protein Kinase(RAC-PK)とも呼ばれる。 AKT自身もPhosphoinositide dependent kinase-1(PDK1)によりThr(T)308とSer(S)473がリン酸化されて活性化する(下記sequenceのアンダーラインで表示した箇所)が、InsulinやIL-3、PDGFなどがこれを促進する。またAKTの活性化はPIP3との会合を要し、PIP3を脱リン酸化するPTENによって不活性化される。本抗体はSer473がリン酸化されたAkt1を認識するがリン酸化されたAkt2,3とも反応する。(この抗体は現在リスト非掲載です) |
MSDVAIVKEG WLHKRGEYIK TWRPRYFLLK NDGTFIGYKE RPQDVDQREA PLNNFSVAQC QLMKTERPRP NTFIIRCLQW TTVIERTFHV ETPEEREEWT TAIQTVADGL KKQEEEEMDF RSGSPSDNSG AEEMEVSLAK PKHRVTMNEF EYLKLLGKGT FGKVILVKEK ATGRYYAMKI LKKEVIVAKD EVAHTLTENR VLQNSRHPFL TALKYSFQTH DRLCFVMEYA NGGELFFHLS RERVFSEDRA RFYGAEIVSA LDYLHSEKNV VYRDLKLENL MLDKDGHIKI TDFGLCKEGI KDGATMKTFC GTPEYLAPEV LEDNDYGRAV DWWGLGVVMY EMMCGRLPFY NQDHEKLFEL ILMEEIRFPR TLGPEAKSLL SGLLKKDPKQ RLGGGSEDAK EIMQHRFFAG IVWQHVYEKK LSPPFKPQVT SETDTRYFDE EFTAQMITIT PPDQDDSMEC VDSERRPHFP QFSYSASGTA |
| α1-Antichymotrypsin (AACT) | |
|---|---|
![]() AACT 線維性組織球腫 X400 |
腸管から分泌され炎症部位における壊死物の分解や粘調な膿性分泌物を融解するセリン蛋白分解酵素 Chymotripsinの阻害因子。(423aa,Gene:14q32.1)組織球・単球・マクロファージ系細胞の細胞質に含まれることからこれらの細胞やその腫瘍のマーカーとして一般的には使用されるが、滑膜など種々の組織や腫瘍細胞においても認めることがある。特に腫瘍においてはその増殖過程における抗プロテアーゼ活性に関係していると思われるが詳細はいまだ不明。(Minor growth factorという説もあるらしい)他にアミロイド沈着症やアルツハイマー病における老人斑の形成にも関与しているといわれる。 |
MERMLPLLAL GLLAAGFCPA VLCHPNSPLD EENLTQENQD RGTHVDLGLA SANVDFAFSL YKQLVLKAPD KNVIFSPLSI STALAFLSLG AHNTTLTEIL KGLKFNLTET SEAEIHQSFQ HLLRTLNQSS DELQLSMGNA MFVKEQLSLL DRFTEDAKRL YGSEAFATDF QDSAAAKKLI NDYVKNGTRG KITDLIKDLD SQTMMVLVNY IFFKAKWEMP FDPQDTHQSR FYLSKKKWVM VPMMSLHHLT IPYFRDEELS CTVVELKYTG NASALFILPD QDKMEEVEAM LLPETLKRWR DSLEFREIGE LYLPKFSISR DYNLNDILLQ LGIEEAFTSK ADLSGITGAR NLAVSQVVHK AVLDVFEEGT EASAATAVKI TLLSALVETR TIVRFNRPFL MIIVPTDTQN IFFMSKVTNP KQA |
| α1-Antitrypsin (AAT) ( 別名:Human α1 proteinase inhibitor ) | |
|---|---|
![]() AAT 皮下組織 X400 |
強力な蛋白分解酵素でありかつMMPの活性化物質であるTrypsinに対するヒト血清・組織液中の主要な抑制因子としてよく知られた、394個のアミノ酸(前駆体として418aa)から成る51kDほどの糖蛋白で、AACT同様セリンプロテアーゼ阻害因子として炎症時白血球のElastase活性の中和などに関係する。組織球・単球・マクロファージ系細胞の細胞質に含まれることからこれらの細胞やその腫瘍のマーカーとして一般的には使用されるが、肝で合成されるので肝細胞も陽性となる。(従って、肝でこれらの細胞を証明する必要がある時はKp-1等を使用した方が良い)ちなみにα1-Antitrypsinは20以上の対立遺伝子による遺伝的多形体であり、染色体14q32.1上の支配遺伝子の特定のホモ接合下ではこれの欠乏症が起き、その結果、若年性肝硬変や肺気腫が起きやすいといわれている。 |
MPSSVSWGIL LLAGLCCLVP VSLAEDPQGD AAQKTDTSHH DQDHPTFNKI TPNLAEFAFS LYRQLAHQSN STNIFFSPVS IATAFAMLSL GTKADTHDEI LEGLNFNLTE IPEAQIHEGF QELLRTLNQP DSQLQLTTGN GLFLSEGLKL VDKFLEDVKK LYHSEAFTVN FGDTEEAKKQ INDYVEKGTQ GKIVDLVKEL DRDTVFALVN YIFFKGKWER PFEVKDTEEE DFHVDQVTTV KVPMMKRLGM FNIQHCKKLS SWVLLMKYLG NATAIFFLPD EGKLQHLENE LTHDIITKFL ENEDRRSASL HLPKLSITGT YDLKSVLGQL GITKVFSNGA DLSGVTEEAP LKLSKAVHKA VLTIDEKGTE AAGAMFLEAI PMSIPPEVKF NKPFVFLMIE QNTKSPLFMG KVVNPTQK |
| α-Fetoprotein (AFP) ( 別名:Alpha-fetoglobulin,Alpha 1-fetoprotein ) | |
|---|---|
![]() AFP 膀胱癌 X400 |
胎児性蛋白の一種で約70kD、590個のアミノ酸(前駆体609aa)からなり、1本の糖鎖をもつ糖蛋白。(Gene:4q11-13) その機能の全貌は不明(エストロゲンなど種々の物質の結合蛋白として母体と胎児間の物質の移送に関係したり免疫抑制作用があるとも言われている)だが胎児肝で生産され妊娠13週ごろ胎児血漿中濃度は最高となる。妊婦を除き正常成人ではきわめて微量しか存在せず、PIVKA-Uと並び肝細胞癌の血中マーカーとしてよく知られるが、ホルマリン固定組織での陽性例は意外と少ない。(転移性肝細胞癌の鑑別にはHSAの方が役に立つ) 胎児では他に卵黄嚢やわずかながら消化管でも生成されており、一部の胚細胞腫瘍、特にYolk sac tumorではほぼ全例で発現する他、種々の悪性腫瘍(胃癌・結腸癌など)でもAFPの発現を見ることがある。左の写真は膀胱の移行上皮癌の症例である。 |
MKWVESIFLI FLLNFTESRT LHRNEYGIAS ILDSYQCTAE ISLADLATIF FAQFVQEATY KEVSKMVKDA LTAIEKPTGD EQSSGCLENQ LPAFLEELCH EKEILEKYGH SDCCSQSEEG RHNCFLAHKK PTPASIPLFQ VPEPVTSCEA YEEDRETFMN KFIYEIARRH PFLYAPTILL WAARYDKIIP SCCKAENAVE CFQTKAATVT KELRESSLLN QHACAVMKNF GTRTFQAITV TKLSQKFTKV NFTEIQKLVL DVAHVHEHCC RGDVLDCLQD GEKIMSYICS QQDTLSNKIT ECCKLTTLER GQCIIHAEND EKPEGLSPNL NRFLGDRDFN QFSSGEKNIF LASFVHEYSR RHPQLAVSVI LRVAKGYQEL LEKCFQTENP LECQDKGEEE LQKYIQESQA LAKRSCGLFQ KLGEYYLQNA FLVAYTKKAP QLTSSELMAI TRKMAATAAT CCQLSEDKLL ACGEGAADII IGHLCIRHEM TPVNPGVGQC CTSSYANRRP CFSSLVVDET YVPPAFSDDK FIFHKDLCQA QGVALQTMKQ EFLINLVKQK PQITEEQLEA VIADFSGLLE KCCQGQEQEV CFAEEGQKLI SKTRAALGV |
| α-Methylacyl-CoA racemase (AMACR) ( 別名:2-Methylacyl-CoA racemase, P504S ) | ||
|---|---|---|
![]() AMACR 前立腺 X400 |
Gene:5p13.3-p12, 382aa, 約42kDのAMACRは、胆汁酸合成過程でpristanoyl-CoAおよびC27β-acyl-CoAを立体異性体に変換する酵素(EC 5.1.99.4)。 exon 5の欠失によるvariantは前立腺癌で過剰発現し、High gradeの"Prostatic intraepithelial neoplasia"(PIN)や atypical hyperplasiaなど前立腺の前癌病変との鑑別診断への利用が期待されている。ホルマリン固定組織では要熱処理。Peroxisome,Mitochondrionに含まれ細胞質に顆粒上に反応するが、固定状態によってはやや反応が弱いこともある。 | |
![]() AMACR陽性細胞の拡大像 | ![]() PIN4三重染色 前立腺 |
[ PIN4 ] : 分泌蛋白(酵素)であるAMACRは自由側(内腔側)細胞質に偏って顆粒状にみられるので、核に反応するp63や基底側細胞に反応する高分子量cytokertin(HMW-Ck;34βE12など)との局在差が明瞭なので重染色がしやすい。我々が検討しだした90年代末には実用的には二重染色程度までだったが、近時はPIN4など検出感度のよいRabbitのMAbを用いた多重染色用キットも市販されており比較的容易になった。 |
MALQGISVVE LSGLAPGPFC AMVLADFGAR VVRVDRPGSR YDVSRLGRGK RSLVLDLKQP RGAAVLRRLC KRSDVLLEPF RRGVMEKLQL GPEILQRENP RLIYARLSGF GQSGSFCRLA GHDINYLALS GVLSKIGRSG ENPYAPLNLL ADFAGGGLMC ALGIIMALFD RTRTGKGQVI DANMVEGTAY LSSFLWKTQK SSLWEAPRGQ NMLDGGAPFY TTYRTADGEF MAVGAIEPQF YELLIKGLGL KSDELPNQMS MDDWPEMKKK FADVFAKKTK AEWCQIFDGT DACVTPVLTF EEVVHHDHNK ERGSFITSEE QDVSPRPAPL LLNTPAIPSF KRDPFIGEHT EEILEEFGFS REEIYQLNSD KIIESNKVKA SL ( Mus:66% Rat:67% 交差反応は期待薄) |
| ALPは燐酸モノエステルを加水分解する亜鉛を含む酵素(EC3.1.3.1,Gene:2q37)で、高分子型(ALP1)・肝型(ALP2)・骨型(ALP3)・胎盤型(ALP4)・小腸型(ALP5) などの臓器特異性アイソザイムが存在する。このうち小腸粘膜上皮細胞に含まれ脂肪吸収に関係している小腸型ALPはいわゆる耐熱性ALPで、ホルマリン固定でも失活しにくく、またレバミゾールでも処理できない場合があるので、小腸での免疫組織化学は一般にPox(POD)標識法で行うことが多い。なお、血液型のB型、O型の人では正常でも血中に検出される。(現在、リストより削除しています。) | |
![]() PALP Seminoma X400 |
胎盤型 ALPはアルカリフォスファターゼのアイソザイムの一つ(ALP4)でPALPとも言われ、妊娠後期の胎盤絨毛の合胞体層 Syncytiotrophoblastに含まれ、特に細胞膜に線状に強く染まる。(Gene:2q37) 胚細胞性腫瘍、特に精上皮腫 Seminomaのマーカーとして有用(例えば Lymphomaとの鑑別を要する時にはLCAとの組合わせが有用)だが、他に泌尿器系癌、子宮頚癌など他の癌でも陽性のことがある。ホルマリン固定可だが、小腸性ALPと同様に耐熱性であり、一般にPox(POD)標識法で行うことが多い。 なお、Seminomaの確認にはD2-40やMAGE-1も最近は使われ出している。(リストより削除しました。2017/02/03) |
| Albumin | |
|---|---|
![]() Albumin 肝 X400 |
肝細胞で生成される可溶性蛋白(609aa、分子量約69kDa、等電点4.9、Gene:4q13.3)であり、血漿蛋白のうち最も量が多く、かつ最も分子量が小さい。名称はラテン語のalbus(白い)→ albumen(卵白)に由来する。亜鉛(Zn)をはじめCa、Na、K、脂肪酸、ホルモンなど結合し運搬するほか、浸透圧維持などの役割を担っている。ホルマリン固定組織でも可であるが、血管から漏出した血漿が染まりやすいがゆえに、実は組織では染めにくい。 |
MKWVTFISLL FLFSSAYSRG VFRRDAHKSE VAHRFKDLGE ENFKALVLIA FAQYLQQCPF EDHVKLVNEV TEFAKTCVAD ESAENCDKSL HTLFGDKLCT VATLRETYGE MADCCAKQEP ERNECFLQHK DDNPNLPRLV RPEVDVMCTA FHDNEETFLK KYLYEIARRH PYFYAPELLF FAKRYKAAFT ECCQAADKAA CLLPKLDELR DEGKASSAKQ RLKCASLQKF GERAFKAWAV ARLSQRFPKA EFAEVSKLVT DLTKVHTECC HGDLLECADD RADLAKYICE NQDSISSKLK ECCEKPLLEK SHCIAEVEND EMPADLPSLA ADFVESKDVC KNYAEAKDVF LGMFLYEYAR RHPDYSVVLL LRLAKTYETT LEKCCAAADP HECYAKVFDE FKPLVEEPQN LIKQNCELFE QLGEYKFQNA LLVRYTKKVP QVSTPTLVEV SRNLGKVGSK CCKHPEAKRM PCAEDYLSVV LNQLCVLHEK TPVSDRVTKC CTESLVNRRP CFSALEVDET YVPKEFNAET FTFHADICTL SEKERQIKKQ TALVELVKHK PKATKEQLKA VMDDFAAFVE KCCKADDKET CFAEEGKKLV AASQAALGL |
| Amylase, salivary (Salivary type amylase:S-AMY) ( 別名:1,4-alpha-D-glucan glucanohydrolase ) | |
|---|---|
![]() S-AMY 唾液腺 X400 ![]() AMY産生肺癌 X400 |
Amylase(AMY)はGlycogen等の多糖類を分解する酵素の総称。ヒトの体内で分泌されるのはAmyloseなどのα-1,4-グルコシド結合を加水分解してGlucoseを生成するα-Amylase(EC3.2.1.1)で、P型とS型の2つのアイソザイムがある。 P型(Pancreas type:P-AMY,496aa,約54kD,Gene:1p21;AMY2 )と異なり、S型(Salivary Type:S-AMY,496aa,Gene:1p21;AMY1 )は糖鎖を含む蛋白で、糖鎖の含量によって質量に約56〜62kDの差がある。またP型が膵に特異性が高いのに対してS型は主に唾液腺から分泌されるが、他に肺、肝、小腸、卵巣にも存在しており、これらの臓器ではAmylase産生腫瘍が見られることがある。 (その証明の為だけに抗体を保有しているようなものなのだが)ホルマリン固定組織でも可能だが、唾液腺以外では反応が弱いことが多い。抗体濃度を上げると強くできるが周囲組織が過染しやすく、程度の加減に苦労することも多い。 |
MKLFWLLFTI GFCWAQYSSN TQQGRTSIVH LFEWRWVDIA LECERYLAPK GFGGVQVSPP NENVAIHNPF RPWWERYQPV SYKLCTRSGN EDEFRNMVTR CNNVGVRIYV DAVINHMCGN AVSAGTSSTC GSYFNPGSRD FPAVPYSGWD FNDGKCKTGS GDIENYNDAT QVRDCRLSGL LDLALGKDYV RSKIAEYMNH LIDIGVAGFR IDASKHMWPG DIKAILDKLH NLNSNWFPEG SKPFIYQEVI DLGGEPIKSS DYFGNGRVTE FKYGAKLGTV IRKWNGEKMS YLKNWGEGWG FMPSDRALVF VDNHDNQRGH GAGGASILTF WDARLYKMAV GFMLAHPYGF TRVMSSYRWP RYFENGKDVN DWVGPPNDNG VTKEVTINPD TTCGNDWVCE HRWRQIRNMV NFRNVVDGQP FTNWYDNGSN QVAFGRGNRG FIVFNNDDWT FSLTLQTGLP AGTYCDVISG DKINGNCTGI KIYVSDDGKA HFSISNSAED PFIAIHAESK L (16-511) |
| Amyloid A protein Amyloid P component | ||||||||||||||||||||||||
|---|---|---|---|---|---|---|---|---|---|---|---|---|---|---|---|---|---|---|---|---|---|---|---|---|
![]() AA アミロイド腎 X100 ![]() AP アミロイド腎 X100 ![]() βアミロイド 脳 X400 ![]() Congo Red染色 X100 ![]() DFS染色 X400 |
アミロイドは組織内に沈着する異常蛋白でその成分の約90%のアミノ酸構造は疾病によって異なる。 AA proteinとか A componentと呼ばれるこのペプチドは続発性アミロイドーシス(AA type)のほとんどや家族性アミロイドーシス(AF)の一部で見られる7〜9kDの不均一な蛋白で、肝臓で合成されHDL3複合体の成分を成すα-globulin分画のアポ・リポ蛋白 apo SAA(serum Amyloid A)が前駆物質といわれ、急性炎症や悪性腫瘍の際に Interleukin-1の作用で急激に増加する 。 免疫グロブリン軽鎖やβ2ミクログロブリンなどと組み合わせてアミロイドーシスのtype鑑別に応用できる。(下表参照)なお、最近の市販抗体はモノクローナル抗体が多くトリプシン処理をしなければ反応が弱いことがある。 アミロイドP成分(AP)はアミロイド蛋白の構成上約10〜15%程度を占める約23kDaの糖蛋白で、電顕で見ると断面が5角形(pentagonal shape)の線維状構造をしているところから P componentとか、AP proteinあるいはPentasomeなどと呼ばれる。中枢神経系を除くほとんどの型のアミロイドで見られる共通成分として、偏光観察を併用したCongo Red染色やDFS染色等と共に アミロイドの同定に有用。 肝臓で合成され、カルシウム依存性にAA蛋白等他のアミロイド構成成分や基質のFibronectin、 Dermatan硫酸等に結合するところからレクチンの一種とも考えられている。また、CRPとの部分的な共通性も指摘されており、Elastase inhibitorとして働き蛋白分解に抵抗しているとも言われる。 |
|||||||||||||||||||||||
|
||||||||||||||||||||||||
| → 【 B 】β-amyloid の項参照 | |
| Anaplastic lymphoma kinase (ALK) | |
|---|---|
| → 【 P 】p80 NPM/ALK の項参照 | |
| Androgen receptor (AR) ( 別名:Dihydrotestosterone receptor:DHTR,NR3C4 ) | |
|---|---|
![]() AR 前立腺癌 X400 |
Androgenは精巣間質細胞(Leydig細胞)などから分泌されるTeststeroneなどのステロイドホルモンの総称で、男性ホルモンとも呼ばれ、精巣の精細管や前立腺、精嚢、陰茎など雄性生殖器官に対しその発育・機能維持や精子形成の促進などの作用を示す。また骨、筋肉やさらに腎、下垂体などに対して蛋白同化作用の促進、LH分泌の抑制などの作用ももつ。その作用は、これらの標的細胞における核内受容体でありX性染色体q11.2-q12上の遺伝子に支配されるAndrogen receptor(AR, NR3C4)との複合体が直接DNAの遺伝子発現制御領域に結合してmRNAの転写促進、蛋白合成を進める転写制御因子として働くことによる。従って乳癌のERと同様に前立腺癌でのAR陽性細胞は性ホルモン依存性の増殖をしていることを示す。ER同様にホルマリン固定では要熱処理。 |
MEVQLGLGRV YPRPPSKTYR GAFQNLFQSV REVIQNPGPR HPEAASAAPP GASLLLLQQQ QQQQQQQQQQ QQQQQQQQET SPRQQQQQQG EDGSPQAHRR GPTGYLVLDE EQQPSQPQSA LECHPERGCV PEPGAAVAAS KGLPQQLPAP PDEDDSAAPS TLSLLGPTFP GLSSCSADLK DILSEASTMQ LLQQQQQEAV SEGSSSGRAR EASGAPTSSK DNYLGGTSTI SDNAKELCKA VSVSMGLGVE ALEHLSPGEQ LRGDCMYAPL LGVPPAVRPT PCAPLAECKG SLLDDSAGKS TEDTAEYSPF KGGYTKGLEG ESLGCSGSAA AGSSGTLELP STLSLYKSGA LDEAAAYQSR DYYNFPLALA GPPPPPPPPH PHARIKLENP LDYGSAWAAA AAQCRYGDLA SLHGAGAAGP GSGSPSAAAS SSWHTLFTAE EGQLYGPCGG GGGGGGGGGG GGGGGGGGGG GGEAGAVAPY GYTRPPQGLA GQESDFTAPD VWYPGGMVSR VPYPSPTCVK SEMGPWMDSY SGPYGDMRLE TARDHVLPID YYFPPQKTCL ICGDEASGCH YGALTCGSCK VFFKRAAEGK QKYLCASRND CTIDKFRRKN CPSCRLRKCY EAGMTLGARK LKKLGNLKLQ EEGEASSTTS PTEETTQKLT VSHIEGYECQ PIFLNVLEAI EPGVVCAGHD NNQPDSFAAL LSSLNELGER QLVHVVKWAK ALPGFRNLHV DDQMAVIQYS WMGLMVFAMG WRSFTNVNSR MLYFAPDLVF NEYRMHKSRM YSQCVRMRHL SQEFGWLQIT PQEFLCMKAL LLFSIIPVDG LKNQKFFDEL RMNYIKELDR IIACKRKNPT SCSRRFYQLT KLLDSVQPIA RELHQFTFDL LIKSHMVSVD FPEMMAEIIS VQVPKILSGK VKPIYFHTQ |
![]() APC X400 左:結腸癌、右:非癌部 |
APC 遺伝子(5q21-22)は家族性腺腫性ポリポーシス(familial adenomatous polyposis:FAP)の原因遺伝子として見つけられたが,一般の大腸癌、さらには胃癌、膵癌、乳癌などでもその異常が認められている。大腸癌においては、p53,DCC など複数の遺伝子異常の過程のうち、初期の段階でAPC 遺伝子の異常により腺腫が誘導されるといわれている。この遺伝子のコードする蛋白は2843aa、約300kDと大型の蛋白で、細胞内ではβ-カテニンと複合体を形成し、細胞増殖の調整やApoptosis、細胞接着などに関係していると考えられている。正常な大・小腸、胃など消化管粘膜の他、肺、乳腺、腎にも発現が見られる。 (左図に示した様に正常細胞では遊離側表面に近い部分にやや薄く均一に染まるが、癌細胞では強く反応するものから全く陰性のものまで一定していない) やや染まりは弱いこともあるがホルマリン固定組織でも可。(現在、リストより削除しています。) |
MAAASYDQLL KQVEALKMEN SNLRQELEDN SNHLTKLETE ASNMKEVLKQ LQGSIEDEAM ASSGQIDLLE RLKELNLDSS NFPGVKLRSK MSLRSYGSRE GSVSSRSGEC SPVPMGSFPR RGFVNGSRES TGYLEELEKE RSLLLADLDK EEKEKDWYYA QLQNLTKRID SLPLTENFSL QTDMTRRQLE YEARQIRVAM EEQLGTCQDM EKRAQRRIAR IQQIEKDILR IRQLLQSQAT EAERSSQNKH ETGSHDAERQ NEGQGVGEIN MATSGNGQGS TTRMDHETAS VLSSSSTHSA PRRLTSHLGT KVEMVYSLLS MLGTHDKDDM SRTLLAMSSS QDSCISMRQS GCLPLLIQLL HGNDKDSVLL GNSRGSKEAR ARASAALHNI IHSQPDDKRG RREIRVLHLL EQIRAYCETC WEWQEAHEPG MDQDKNPMPA PVEHQICPAV CVLMKLSFDE EHRHAMNELG GLQAIAELLQ VDCEMYGLTN DHYSITLRRY AGMALTNLTF GDVANKATLC SMKGCMRALV AQLKSESEDL QQVIASVLRN LSWRADVNSK KTLREVGSVK ALMECALEVK KESTLKSVLS ALWNLSAHCT ENKADICAVD GALAFLVGTL TYRSQTNTLA IIESGGGILR NVSSLIATNE DHRQILRENN CLQTLLQHLK SHSLTIVSNA CGTLWNLSAR NPKDQEALWD MGAVSMLKNL IHSKHKMIAM GSAAALRNLM ANRPAKYKDA NIMSPGSSLP SLHVRKQKAL EAELDAQHLS ETFDNIDNLS PKASHRSKQR HKQSLYGDYV FDTNRHDDNR SDNFNTGNMT VLSPYLNTTV LPSSSSSRGS LDSSRSEKDR SLERERGIGL GNYHPATENP GTSSKRGLQI STTAAQIAKV MEEVSAIHTS QEDRSSGSTT ELHCVTDERN ALRRSSAAHT HSNTYNFTKS ENSNRTCSMP YAKLEYKRSS NDSLNSVSSS DGYGKRGQMK PSIESYSEDD ESKFCSYGQY PADLAHKIHS ANHMDDNDGE LDTPINYSLK YSDEQLNSGR QSPSQNERWA RPKHIIEDEI KQSEQRQSRN QSTTYPVYTE STDDKHLKFQ PHFGQQECVS PYRSRGANGS ETNRVGSNHG INQNVSQSLC QEDDYEDDKP TNYSERYSEE EQHEEEERPT NYSIKYNEEK RHVDQPIDYS LKYATDIPSS QKQSFSFSKS SSGQSSKTEH MSSSSENTST PSSNAKRQNQ LHPSSAQSRS GQPQKAATCK VSSINQETIQ TYCVEDTPIC FSRCSSLSSL SSAEDEIGCN QTTQEADSAN TLQIAEIKEK IGTRSAEDPV SEVPAVSQHP RTKSSRLQGS SLSSESARHK AVEFSSGAKS PSKSGAQTPK SPPEHYVQET PLMFSRCTSV SSLDSFESRS IASSVQSEPC SGMVSGIISP SDLPDSPGQT MPPSRSKTPP PPPQTAQTKR EVPKNKAPTA EKRESGPKQA AVNAAVQRVQ VLPDADTLLH FATESTPDGF SCSSSLSALS LDEPFIQKDV ELRIMPPVQE NDNGNETESE QPKESNENQE KEAEKTIDSE KDLLDDSDDD DIEILEECII SAMPTKSSRK AKKPAQTASK LPPPVARKPS QLPVYKLLPS QNRLQPQKHV SFTPGDDMPR VYCVEGTPIN FSTATSLSDL TIESPPNELA AGEGVRGGAQ SGEFEKRDTI PTEGRSTDEA QGGKTSSVTI PELDDNKAEE GDILAECINS AMPKGKSHKP FRVKKIMDQV QQASASSSAP NKNQLDGKKK KPTSPVKPIP QNTEYRTRVR KNADSKNNLN AERVFSDNKD SKKQNLKNNS KVFNDKLPNN EDRVRGSFAF DSPHHYTPIE GTPYCFSRND SLSSLDFDDD DVDLSREKAE LRKAKENKES EAKVTSHTEL TSNQQSANKT QAIAKQPINR GQPKPILQKQ STFPQSSKDI PDRGAATDEK LQNFAIENTP VCFSHNSSLS SLSDIDQENN NKENEPIKET EPPDSQGEPS KPQASGYAPK SFHVEDTPVC FSRNSSLSSL SIDSEDDLLQ ECISSAMPKK KKPSRLKGDN EKHSPRNMGG ILGEDLTLDL KDIQRPDSEH GLSPDSENFD WKAIQEGANS IVSSLHQAAA AACLSRQASS DSDSILSLKS GISLGSPFHL TPDQEEKPFT SNKGPRILKP GEKSTLETKK IESESKGIKG GKKVYKSLIT GKVRSNSEIS GQMKQPLQAN MPSISRGRTM IHIPGVRNSS SSTSPVSKKG PPLKTPASKS PSEGQTATTS PRGAKPSVKS ELSPVARQTS QIGGSSKAPS RSGSRDSTPS RPAQQPLSRP IQSPGRNSIS PGRNGISPPN KLSQLPRTSS PSTASTKSSG SGKMSYTSPG RQMSQQNLTK QTGLSKNASS IPRSESASKG LNQMNNGNGA NKKVELSRMS STKSSGSESD RSERPVLVRQ STFIKEAPSP TLRRKLEESA SFESLSPSSR PASPTRSQAQ TPVLSPSLPD MSLSTHSSVQ AGGWRKLPPN LSPTIEYNDG RPAKRHDIAR SHSESPSRLP INRSGTWKRE HSKHSSSLPR VSTWRRTGSS SSILSASSES SEKAKSEDEK HVNSISGTKQ SKENQVSAKG TWRKIKENEF SPTNSTSQTV SSGATNGAES KTLIYQMAPA VSKTEDVWVR IEDCPINNPR SGRSPTGNTP PVIDSVSEKA NPNIKDSKDN QAKQNVGNGS VPMRTVGLEN RLNSFIQVDA PDQKGTEIKP GQNNPVPVSE TNESSIVERT PFSSSSSSKH SSPSGTVAAR VTPFNYNPSP RKSSADSTSA RPSQIPTPVN NNTKKRDSKT DSTESSGTQS PKRHSGSYLV TSV (Mus:90,Rat:89%) |
| Apolipoprotein Apo A-I, | |
|---|---|
![]() Apo A-I Alexa594 X400 ![]() Apo E 腎糸球体 X400 |
Apolipoproteinとはリポ蛋白中の蛋白成分で、Apo A、B、C、Eなどがあり脂質代謝に関係する。Apo A-I (Gene:11q23-24)は高比重リポ蛋白(HDL)の主要な蛋白成分で、 Apo B (Gene:2p24)はカイロミクロンの合成や超低比重リポ蛋白(VLDL)の細胞内輸送に関係するが 肝細胞で合成される分子量約28万のApo B-100と小腸で合成される同約19万のApo B-48とがある。 Apo EもVLDLなどに含まれるシアル酸を含む約35kDaの蛋白で、レセプターを介して肝細胞やマクロファージ(Foam cell)などの細胞への脂質の取り込みに関係する。 Apo Eの遺伝子(Gene:19q13.2)にはε2,ε3,ε4などの対立遺伝子があり、それぞれの蛋白であるApo E2,E3,E4のisoformがホモまたはヘテロの二量体を成している。 Apo E3は正常型と呼ばれるがApo E2は本態性高リポ蛋白血症に関係し、またApo E4は若年性アルツハイマー病の危険因子と近時いわれている。 実験的な動脈硬化では内皮細胞下にApo BやEの沈着が認められている。
左下図はリポ蛋白糸球体症の腎生検(ホルマリン固定)でApo Eの強い沈着が認められたものである。 (Apolipoprotein B-100 及び Apolipoprotein Eについてはリストより削除しました。) |
![]() AQP 腎臓 AEC発色 X400 |
Aquaporin (AQP)は、Water channelと呼ばれる水分子を選択的に透過させる細孔 poreを持った Major intrinsic proteins(MIP)ファミリーに属する小型の膜蛋白で通常は4量体として存在する。 N末端、C末端共に細胞質内にあり、膜貫通部6か所あるため、細胞外側に3、内側に2箇所で非貫通部が細胞膜外にループ状に出ており、内外1か所ずつ計2か所にNPAモチーフと呼ばれるAsn(N)-Pro(P)-Ala(A)の配列があり、水分子は漏斗状のこの部分を通過する。 哺乳類のAQPは13種類ほどが知られており全身の臓器に分布しているが、特に腎臓では多くの種類が存在しており、尿細管(AQP1)や集合管(AQP2)上皮細胞等の内腔側表面に局在して水の再吸収が行われている。 (リスト非掲載、protocol公開不可です) |
AQP1(7p14)269aa: MASEFKKKLF WRAVVAEFLA TTLFVFISIG SALGFKYPVG NNQTAVQDNV KVSLAFGLSI ATLAQSVGHI SGAHLNPAVT LGLLLSCQIS IFRALMYIIA QCVGAIVATA ILSGITSSLT GNSLGRNDLA DGVNSGQGLG IEIIGTLQLV LCVLATTDRR RRDLGGSAPL AIGLSVALGH LLAIDYTGCG INPARSFGSA VITHNFSNHW IFWVGPFIGG ALAVLIYDFI LAPRSSDLTD RVKVWTSGQV EEYDLDADDI NSRVEMKPK (Mus:94%, Rat:93%, Sus:92%, Can:92%, Bos:91%, Gal:85%) AQP2(12q13)271aa: MWELRSIAFS RAVFAEFLAT LLFVFFGLGS ALNWPQALPS VLQIAMAFGL GIGTLVQALG HISGAHINPA VTVACLVGCH VSVLRAAFYV AAQLLGAVAG AALLHEITPA DIRGDLAVNA LSNSTTAGQA VTVELFLTLQ LVLCIFASTD ERRGENPGTP ALSIGFSVAL GHLLGIHYTG CSMNPARSLA PAVVTGKFDD HWVFWIGPLV GAILGSLLYN YVLFPPAKSL SERLAVLKGL EPDTDWEERE VRRRQSVELH SPQSLPRGTK A (Sus:95%, Bos:94%, Rat:89%. Mus:88%) |
![]() Arom ヒト胎盤 X400 |
Aromatase(Gene:15q21.1)は、Androgen(C19ステロイド)からestrogen(C18ステロイド)を合成する酵素(EC1.14.14.1)で、503aa、約51-55kDの不安定な膜結合性蛋白。450nmの波長付近に吸収極大を持つヘム蛋白であるCytochrome P450 superfamilyに属し、P450AROM、CYP19A1,CYARとも呼ばれる。 女性では主に卵巣顆粒膜細胞に存在し、FSHにより誘導され卵胞の成熟、性周期の調節に関与するほか、子宮体部や胎盤(妊娠期間の短いマウスの胎盤では陰性)、乳癌組織等で発現が見られるが、男女を問わず肝、脂肪組織、筋肉等広範囲な臓器にも分布する。 また、脳では視床下部、視索前野の神経細胞の細胞質に局在し、脳の性分化や性行動等への関与も考えられている。 (リスト非掲載です) |
MVLEMLNPIH YNITSIVPEA MPAATMPVLL LTGLFLLVWN YEGTSSIPGP GYCMGIGPLI SHGRFLWMGI GSACNYYNRV YGEFMRVWIS GEETLIISKS SSMFHIMKHN HYSSRFGSKL GLQCIGMHEK GIIFNNNPEL WKTTRPFFMK ALSGPGLVRM VTVCAESLKT HLDRLEEVTN ESGYVDVLTL LRRVMLDTSN TLFLRIPLDE SAIVVKIQGY FDAWQALLIK PDIFFKISWL YKKYEKSVKD LKDAIEVLIA EKRRRISTEE KLEECMDFAT ELILAEKRGD LTRENVNQCI LEMLIAAPDT MSVSLFFMLF LIAKHPNVEE AIIKEIQTVI GERDIKIDDI QKLKVMENFI YESMRYQPVV DLVMRKALED DVIDGYPVKK GTNIILNIGR MHRLEFFPKP NEFTLENFAK NVPYRYFQPF GFGPRGCAGK YIAMVMMKAI LVTLLRRFHV KTLQGQCVES IQKIHDLSLH PDETKNMLEM IFTPRNSDRC LEH (Can:86%, Rab:85%, Bos:84%, Sus:80%, Mus:79%, Rat:77%. Gal:71%) |

































