M
最終更新日:2025.12.25
We are not selling antibodies. / Nous ne vendons pas d'anticorps. / Wir verkaufen keinen Antikorper.
No vendemos un anticuerpo. / 我們沒銷售抗體 / мы не продавать антило.
抗体は販売していません。
| Anti- | 抗体名 | 略称 | 別名 | HOST | CLONE名 | 適用 |
|---|---|---|---|---|---|---|
| Human | MAC387, Macrophage | MAC387 | Mouse | MAC387 | P | |
| Mouse | Macrophage, mouse F4/80 | F4/80 | mouse macrophage marker | Rat | Bm8 | P* |
| Human | MAGE-1 | MAGE1 | Mouse | 6C1 | P* | |
| Human | Major Histocompatibility complex classII,HLA-DR α |
HLA-DR | →HLA-DRα | Mouse | TAL.1B5 | P |
complex classII,HLA-DR β |
||||||
| Human | Mammaglobin | MGB | UGB2, H-MAM, SCGB2A2 | Rabbit | 31A5 | P* |
| Human | Mannose receptor | MMR | CD206 (M2MΦ) | Rabbit | Poly | P* |
| Human | MART-1 | MART1 | →Melan A | Mouse | A103 | P* |
| Human | Mast cell tryptase | Tryp | (EC3.4.21.59)Mast cell protease II | Mouse | 10D11 | P |
| Human | Matrix metalloproteinase 3 | MMP3 | (EC3.4.24.17)Stromelysin 1,Transin-1 | Sheep | poly | P* |
| Human | Matrix metalloproteinase 9 | MMP9 | (EC3.4.24.35)Gelatinase B(GELB) Type IV collagenase |
Rabbit | Poly | P* |
| Human | MDM2 (Murine double minute 2) | MDM2 | HDMd2, RING-type E3 ubiquitin ligase | Rabbit | Poly | P |
| Human | Melan A | MART1 | →MART-1 | Mouse | A103 | P* |
| Human | Mesothelial cell (HBME-1) | HBME-1 | Mouse | HBME-1 | P* | |
| Human | Mesothelin | Meso | Mouse | ZM25 | P* | |
| Human | MIB-1 | Ki67 | →Ki67 | Mouse | MIB-1 | P* |
| Human | MIC2 protein | CD99 | →CD99,12E7,E2,FMC29,HuLy-m6,p30/32 | Rabbit | ERP3097Y | P* |
| Human | Milk Fat Globule-1 | HMFG1 | →Human Milk Fat Globule-1 | Mouse | EDM45 | P* |
| Human | Mitochondria, human | AMA | Mouse | 113-1 | P* | |
| Human | MLH 1 | MLH1 | →hMLH1,HNPCC2,COCA2,FCC2 | Mouse | G168-728 | P* |
| Human | MSH 2 | MSH2 | →hMSH2,HNPCC1,COCA1,FCC1,BAT26 | Mouse | G219-1129 | P* |
| Human | MSH 6 | MSH6 | →hMSH6,HNPCC5,GTBP,HSAP,p160 | Rabbit | EP49 | P* |
| Human | MT-1 | CD43 | →CD43,Leukosialin | Mouse | MT-1 | P |
| Human | Muc-1 glycoprotein | Muc1 | CD227 | Mouse | O14E | P* |
| Human | Muc-2 glycoprotein | Muc2 | Intestinal mucin | Mouse | MRQ-18 | P* |
| Human | Muc-5AC glycoprotein | Muc5AC | Mouse | MRQ-19 | P* | |
| Human | Muc-6 glycoprotein | Muc6 | Mouse | MRQ-20 | P* | |
| Human | Mucin, Gastric | HGM | →Gastric mucin | Mouse | 45M1 | P* |
| Human | Mucin, HIK1083 | HIK1083 | M-GGMC-1 | Mouse | HIK-1083 | P* |
| Human | Multiple myeloma oncogene-1 MUM 1 | MUM1 | IRF4, ICSAT, PIP | Mouse | MUM1p | P* |
| Human | Muscle actin | HHF35 | →Actin,→HHF35 | Mouse | HHF35 | P |
| Human | MutL homolog1 | MLH1 | → hMLH1 | Mouse | G168-728 | P* |
| Human | MutS homolog2 | MSH2 | → hMSH2 | Mouse | G219-1129 | P* |
| Human | MutS homolog6 | MSH6 | → hMSH6 | Rabbit | EP49 | P* |
| Human | Muramidase | Lys | →Lysozyme | Rabbit | Poly | P |
| Human | Myeloperoxidase | MPO | MPO | Mouse | 59A5 | P |
| Hu,Ms,Rt | Myeloperoxidase | MPO | MPO | Rabbit | Poly | P |
| Mouse* | Myoblast determination protein 1 | MyoD1 | Myf-3,Rhabdomyosarcoma marker | Rabbit | EP212 | P* |
| Human | Myoglobin | MyoG | Rabbit | Poly | P | |
| Human | Myosin | Myo | Mouse | MY32 | P | |
| ■ Matrix metalloproteinase (MMP) ■ | ||||||
| Human | MMP 3 | MMP3 | (EC3.4.24.17)Stromelysin 1,Transin1 | Sheep | poly | P* |
| Human | MMP 9 | MMP9 | (EC3.4.24.35)Gelatinase B(GELB) Type IV collagenase |
Rabbit | Poly | P* |
| ■ Mismach repair protein (MMR) ■ | ||||||
| Human | MLH 1 | MLH1 | → hMLH1, HNPCC2, COCA2, FCC2 | Mouse | G168-728 | P* |
| Human | MSH 2 | MSH2 | → hMSH2, HNPCC1, CDCA1, FCC1 | Mouse | G219-1129 | P* |
| Human | MSH 6 | MSH6 | → hMSH6, HNPCC5, GTBP, HSAP, p160 | Rabbit | EP49 | P* |
| Human | PMS 2 | PMS2 | hPMS2, HNPCC4, PMSL2, MLH4, PSI2 | Rabbit | EP51 | P* |
| ■ Mucin antigen (glycoprotein)■ | ||||||
| Human | MUC 1 | Muc1 | CD227 | Mouse | O14E | P* |
| Human | MUC 2 | Muc2 | Intestinal mucin | Mouse | MRQ-18 | P* |
| Human | MUC 5AC | Muc5AC | Mouse | MRQ-19 | P* | |
| Human | MUC 6 | Muc6 | Mouse | MRQ-20 | P* | |
| Human | Mucin, HIK1083 | HIK1083 | M-GGMC-1 | Mouse | HIK-1083 | P* |
| Human | Human gastric mucin | HGM | →Gastric mucin | Mouse | 45M1 | P* |
![]() Mac-1 X400 |
Integrinのβ2ファミリーに属する細胞接着分子で、170kDのα鎖(Integrin αM,CD11b,1152aa,Gene:16p11-13)と95kDのβ鎖(Integrinβ2,CD18,Gene:21q22)からなるヘテロダイマー。補体C3b結合赤血球と単球との接着、ヒストプラズマ等の病原体に対するマクロファージ等の貪食作用を促進するほか、好中球と血管内皮細胞との接着、血管外遊走にもLFA-1と共に関与する。顆粒球、単球、リンパ球の一部(NK細胞など)に発現がみられ、結合するリガンドはICAM-1、Fibrinogen、Factor X、さらに補体C3b分解産物(iC3b)やとも結合し、 Complement receptor type3(CR3)とも呼ばれる。また、C5aにより好中球での発現が著名に増加することが知られている。ファミリーのLFA-1やCR4(p150/95)とはβ鎖(CD18)が共通しており、α鎖(LFA-1は180kD:CD11a、CR4は150kD:CD11c)が異なる。 (リストより削除しました) |
| MAC387,Anti-Macrophage,histiocyte | |||||||||||||||||||||||||||||||||||||||||||||||||||||||||||||||||||||||||||||||||||||
|---|---|---|---|---|---|---|---|---|---|---|---|---|---|---|---|---|---|---|---|---|---|---|---|---|---|---|---|---|---|---|---|---|---|---|---|---|---|---|---|---|---|---|---|---|---|---|---|---|---|---|---|---|---|---|---|---|---|---|---|---|---|---|---|---|---|---|---|---|---|---|---|---|---|---|---|---|---|---|---|---|---|---|---|---|---|
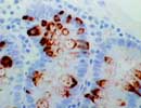
![]() MAC387 皮膚 X400 ![]() Lyso X400 ![]() F-XIIIa X400 ![]() Kp-1 X400 ![]() AAT X400 |
MAC387は抗体のクローンの名称で、メーカーによっては「抗単球/組織球抗体」として市販されているが、一般に、Lysozyme、α-Antitrypsin、α-Antichymotrypsin、Kp-1など組織球系細胞を認識する抗体には抗体の種類によって微妙な反応の差がある。 このclone:MAC387抗体が認識するのは好中球、単球及びマクロファージ/組織球の一部(下表参照)で、扁平上皮の一部にも反応する。 左図のうち、MAC387、Lysozyme、Antitrypsin(AT)は同一症例の標本であるが、MAC387は多核の巨細胞にはほとんど反応せず(ごく弱い反応は見られる)、その間に存在する小型の細胞に強く反応している。ホルマリン固定組織では酵素処理が有効。 またMAC387は他の動物との交差性が高く、イヌ、ネコ、ウマ、ブタなどと広く交差することが知られている。
|
||||||||||||||||||||||||||||||||||||||||||||||||||||||||||||||||||||||||||||||||||||
| 一般的に活性化されたマクロファージ(MΦ)は次の2タイプに分けられている(M2はさらに、M2a〜M2dに区分されるとも言われる)。
M1MΦ:Classically activated macrophageとも言われ、IFN-γやTNF-α, GM-CSF, Lipopolysaccharide (LPS)等により誘導され、IL-1β, TNF-α, IL-6等の炎症性サイトカインやNitric oxide(NO)産生による細胞障害性を特徴とするタイプ。 M2MΦ:Alternatively activated macrophageとも言われ、IL-4やIL-13等により誘導され、IL-10等の抗炎症性サイトカインやScavenger receptorの発現、Arginase 1(Arg1)発現によるアルギニン分解促進→成長ホルモン誘導体であるオルニチン産生など免疫応答の抑制、組織修復機能が特徴とされるタイプ。 M1MΦとM2MΦの鑑別には以下のような抗体の組合せがマーカーとしてよく使用されている。ただし、必ずしもM1MΦあるいはM2MΦのみに特異的な抗体ではない(血管内皮などが反応することがある)ので、厳密にはIba-1などMΦのマーカーとなる抗体との二重染色により共発現(つまり、MΦであってM1の特徴をもつもの、MΦであってM2の特徴をもつもの)の確認が必要となる。 | ||||||
|
||||||
| MAGE-1 | |
|---|---|
![]() MAGE-1 精巣腫瘍 X400 |
1991年にヒトのMelanoma細胞から発見された腫瘍関連抗原(TAA)で、Melanoma-associated antigenという意味からMAGEと名付けられたが、現在では肝細胞癌、胃癌など他の癌でも発現することが知られている。Melanomaでは形質転換があるためおよそ40%(30〜60%とも)ほどに発現がみられるという。一般に正常細胞では発現がみられないが、HLA(MHC)を発現しない精巣の細胞では発現がみられるため Cancer-Testis抗原群(CTA)とも呼ばれる。MART-1/Melan AやTyrosinaseなどと共に HLA(MHC)class I と結合し細胞障害性Tリンパ球(CTL)によって標的として認識されることにより腫瘍免疫応答を誘導する。MAGE遺伝子には12種が知られているが、Xq28;MAGE1 のコードするMAGE-1蛋白はHLA-A24と結合し、MZ2-E抗原とも呼ばれ特異的免疫療法での標的分子とされている。ホルマリン固定組織では要熱処理で、主に核、弱く細胞質に反応する。 |
MSLEQRSLHC KPEEALEAQQ EALGLVCVQA ATSSSSPLVL GTLEEVPTAG STDPPQSPQG ASAFPTTINF TRQRQPSEGS SSREEEGPST SCILESLFRA
VITKKVADLV GFLLLKYRAR EPVTKAEMLE SVIKNYKHCF PEIFGKASES LQLVFGIDVK EADPTGHSYV LVTCLGLSYD GLLGDNQIMP KTGFLIIVLV
MIAMEGGHAP EEEIWEELSV MEVYDGREHS AYGEPRKLLT QDLVQEKYLE YRQVPDSDPA RYEFLWGPRA LAETSYVKVL EYVIKVSARV RFFFPSLREA
ALREEEEGV
|
■ Major histocompatibility complex (MHC) ■ | |
Major histocompatibility complex (MHC), Class II, HLA-DR(α-chain) | |
|---|---|
![]() HLA-DRα 扁桃 X400 ![]() HLA-DRβ 凍結 脾 X400 |
「主要組織適合複合体」(Major histocompatibility complex:MHC)は、輸血の際の適合血液型のように移植組織の適合性に関係するものとして1936年に発見されたもので、軟骨魚類以上の生物が持つ自己・非自己の免疫認識に重要な分子である。歴史的経緯から動物によって異なる呼び名がつけられており、ヒトでは白血球における血液型に相当する抗原としてヒト白血球抗原(Human leukocyte antigen:HLA)と呼ばれる。 HLAは複数の遺伝子によって決定され、各々が多数の対立遺伝子を有しており遺伝的多様性が強い。これらは第6染色体短腕(6p21付近)の長大な部分(ほぼ大腸菌の全遺伝子に相当する長さと言われる)に分布し、その位置が動原体に近い方からclass II、(III)、I の各領域に区分されているが、実際にはclass III 遺伝子は補体C4など他の分子の遺伝子であるため、一般にHLAはclass I、class II 遺伝子各々に規定されるclass I 抗原とclass II 抗原に分けられている。 Class I 抗原にはHLA-A〜G(主要なものはA〜Cで、「古典的class I」とか「Class Ia」と呼ばれる)があり、それぞれ亜型がある。赤血球を除くほとんどの細胞にみられ、その細胞がウィルスなどに感染して生成される蛋白抗原が分解されたペプチドをCD8陽性Tリンパ球(CTL)に提示し、自らへのperforin,Gramzymeによる攻撃を促す働きをする。 Class II 抗原にはHLA-DP,DQ,DRがあり、それぞれ亜型がある。主にB細胞・マクロファージ・樹状細胞など免疫に関係する細胞に発現がみられ、細菌などの蛋白抗原を分解したペプチドをCD4陽性T細胞に提示し、マクロファージを活性化したりBリンパ球の抗体産生を促す働きをする。 → See 【 H 】HLA (HLA-DRα鎖以外は現在リストより削除しています) |
| Mammaglobin ( 別名:SCGB2A2, MGB1, Uteroglobin 2 ) | |
|---|---|
![]() MGB 乳癌 X400 |
Mammaglobinは乳癌細胞から同定された93aa,約10kDaほどの分泌糖蛋白で、Geneは MGB1 :11q12.3-q13。CC10などと同様に、Secretoglobin(SCGB)-Uteroglobin(UGB) family に属し、SCGB2A2と呼ばれるほかUGB2やH-MAMなどとも呼ばれる。成人女性の乳腺組織においては腺房や乳管上皮細胞の一部に発現がみられ、GCDFP-15などと共に転移性乳癌の鑑別に用いられるが、皮膚や子宮内膜等にも反応するという報告もある。(Int J Clin Exp Pathol 2,384-389,2009) 使用抗体はRab.MAb、ホルマリン固定では要熱処理。 |
MKLLMVLMLA ALSQHCYAGS GCPLLENVIS KTINPQVSKT EYKELLQEFI DDNATTNAID ELKECFLNQT DETLSNVEVF MQLIYDSSLC DLF
(Bos:52%, Rab:51%, Rat:40-42%)
|
![]() Maspin 乳癌 X400 |
SCCと同様に、Serine proteinase inhibitor(Serpin)family に属する375aa,約42kDaの分泌蛋白(18q21.3,7exon)で、血管新生を阻害し腫瘍抑制蛋白として働く。乳腺では筋上皮細胞で可溶性蛋白として産生され、Mammary specific serpin、略して Maspinと呼ばれるが、発現は乳腺に特異的ではなく、前立腺や消化管などでも発現が見られる。通常はEts,AP-1(Activator protein-1),p53などによって発現が制御されている。Serpin B5(SPB5,SERPB5)、Protease inhibitor 5(PI5)とも呼ばれる。clone:EAW24のEpitopeはN末端側、ホルマリン固定では要熱処理、細胞質および核にも陽性。特に腫瘍では反応性は不均質で核に強く過剰発現がみられたり、また細胞質ではびまん性〜偏在性の反応性を示すことがある。 (リストより削除しました) |
MDALQLANSA FAVDLFKQLC EKEPLGNVLF SPICLSTSLS LAQVGAKGDT ANEIGQVLHF ENVKDIPFGF QTVTSDVNKL SSFYSLKLIK RLYVDKSLNL
STEFISSTKR PYAKELETVD FKDKLEETKG QINNSIKDLT DGHFENILAD NSVNDQTKIL VVNAAYFVGK WMKKFPESET KECPFRLNKT DTKPVQMMNM
EATFCMGNID SINCKIIELP FQNKHLSMFI LLPKDVEDES TGLEKIEKQL NSESLSQWTN PSTMANAKVK LSIPKFKVEK MIDPKACLEN LGLKHIFSED
TSDFSGMSET KGVALSNVIH KVCLEITEDG GDSIEVPGAR ILQHKDELNA DHPFIYIIRH NKTRNIIFFG KFCSP (Mus:89%, Rat:88%)
|
■ MAPK (Mitogen activated protein kinase) family ■ | |
![]() ERK 肺癌 X400 ![]() pMAPK 乳癌 X400 |
蛋白をリン酸化する酵素で、分子量4万〜6万のセリン/スレオニンキナーゼ(EC3.1.3.16)のグループ。哺乳類ではERK1/2、JNK/SAPK(1〜3)、p38(α〜δ)、ERK5が含まれる。物理的化学的なストレスやTNFα、GM-CSFなどの炎症性サイトカイン、受容体型チロシンキナーゼを介した増殖刺激などにより活性化され、 c-Fos、c-Myc、c-Jun(AP-1)などの転写因子を燐酸化する。構造的にはキナーゼ活性を持つ11個のサブドメインを有し、その7番目と8番目の間にあるスレオニンとチロシン基が MAPK kinase(MAPKK)によって燐酸化されることによって活性化する。このMAPKKはさらにMAPKK kinase(MAPKKK)により燐酸化されて活性化するという燐酸化のカスケード(滝)の仕組みになっている。このシステムは酵母から哺乳類まで種を越えて広く共通しており、免疫組織化学的にもかなり広い種交差性がみられる。 (ERK, JNK, p38共に現在リストより削除しています) |
| MART-1 (Melan A) | |
|---|---|
![]() MART-1(MalanA) Melanoma X400(AEC発色) |
MART-1はMelanoma Antigen Recognized by T cells-1 の略で、HLA-Aと結合し細胞傷害性T細胞(CTL)によって認識される Melanoma関連抗原のひとつ(他にMAGE1、MAGE3、GAGE1、BAGE1、gp100、gp75、Tyrosinaseなどが知られている)であり、Melan Aとも言われ、MART1 遺伝子(9p24.1;MLANA)によりコードされる20kD(22kDとも)の蛋白。SK29-AA、LB39-AAと呼ばれる抗原も同じもの。Melanomaの他、Melanocytic nevus,Blue nevus など色素細胞性疾患のほとんどで陽性となるのでHMB-45(gp100)陰性の Melanoma(約20%程度といわれる)の診断などに有用だが、副腎・精巣・卵巣のステロイド産生腫瘍でも陽性となるといわれる。 |
MPREDAHFIY GYPKKGHGHS YTTAEEAAGI GILTVILGVL LLIGCWYCRR RNGYRALMDK SLHVGTQCAL TRRCPQEGFD HRDSKVSLQE KNCEPVVPNA
PPAYEKLSAE QSPPPYSP
|
![]() Melanoma, HE |
![]() Melanoma, MelanA/PAS |
![]() Melanoma, MelanA/Giemsa |
![]() Melanoma, MelanA/T-blue |
| 酵素抗体法を用いてMelanoma(悪性黒色腫)関連抗原を検出する際に問題となるのは、発色基質として一般的に使用されている3,3'-diaminobenzidine(DAB)の発色と色調が似ているメラニン色素 Melanin pigmentとの鑑別である。その対策としては、
1)いわゆる「脱メラニン」処理を事前に行う(過酸化水素水に1時間以上浸漬しておくだけでも効果はある)、
2)発色基質(あるいは標識酵素を含めて)を替えて異なる色調で発色させる という方法が一般的には用いられているが、DAB発色を選択せざるを得ない場合などには、3)DABまたはメラニンの色調を後から変換するという方法もあり、中でもメチレンブルー、トルイジンブルーあるいはギムザ液などで後染色するとメタクロマジーによってメラニン色素が青味がかった緑色に、
PAS(過ヨウ素酸-シップ反応)ではピンク〜赤紫色になることが知られている(「渡辺・中根 酵素抗体法」,p186,名倉宏・長村義之・堤寛編,学際企画,2002)。ただ、2)、3)の方法を用いても、実際にはMART-1のコラムに提示した画像のようにメラニン色素の少ない部分で評価・判定することになるので、上図に示すようにメラニンの産生・蓄積の強い症例で抗原の局在が完全に重なる場合には鑑別が容易でないこともある。HE染色での情報などをもとに事前に1)の処理をきちんとすることが、やはり基本と言えよう。 |
|||
抗体の名称(2)
メーカーによって「MART-1」と「MelanA」の異なる名称で市販されている。かなり昔のことではあるが、実は同じものではないかとずっと思っていたので複数の会社の営業マンの方に質問してみたら「名称が違うので別のものじゃないですか」とか言われた。それで幾つかの抗体を購入したりサンプルを提供してもらったりして試してみたのだがどうしても納得できなかったというようなことがあった。市販されだした当初のことなので営業の方もあまり詳しくは知らなかったのだろうが、考えれば無駄なことをした。まあ、クローンが違えば「別のもの」と言っても嘘ではないのだが・・・結局、「抗体名」と言えども上市される以上は「商品名」であり、その命名は基本的にメーカーが行うのだということである。このような例は他にもあり、別名のある抗原蛋白や略号の場合には注意が必要であろう。 |
■ Matrix metalloproteinase (MMP) ■ | |||||||||||||||||||||||||
![]() MMP-1 結腸癌 X400 ![]() MMP-2 結腸 X400 ![]() MMP-3 結腸癌 X400 ![]() MMP-7 胎盤 X400 ![]() MMP-9 結腸癌 X400 ![]() MMP-9 皮膚 X400 ![]() MMP-12 皮膚 X400 |
Matrix metalloproteinase(MMPs)は、最初、Gelatin分解酵素としてオタマジャクシの尾から発見された。Collagen,Elastin,Fibronectin,Laminin,Proteoglycanなどの細胞外基質(Extra cellular matrix:ECM)を基質とする蛋白分解酵素(proteinase/peptidase)の一群で、金属(Metal) イオンであるZn++とCa++が結合してその酵素活性を示すところから名前の由来となった。サイトカインなどの刺激により線維芽細胞、内皮細胞などから不活性型前駆体として分泌された後活性化する可溶性のもののほか、分泌されず細胞膜に固定されたもの(膜型:MT-MMP)も1994年に金沢大学のSatoらによって発見された。現在、脊椎動物のMMPは番号で呼ばれ、分解する基質によってCollagenaseやGelatinaseなどとして下表のように区分される。 MMP-1(EC3.4.24.7,前駆体として469aa,約57kDa,Gene:11q22.2)は、Collagenase-1(CLGN),Fibroblast collagenase,Interstitial collagenaseとも呼ばれ、 Collagen typeI, II, III, VII, VIII, X 等を基質とし、同じgelatinaseのMMP8,MMP13との間で50%以上の相同性があるといわれる。(MMP-1は抗体がなくなりましたのでとりあえず削除しました) MMP-2(EC3.4.24.24,前駆体として660aa,約72kDa,Gene:16q12.2)は、Gelatinase A(GELA),72KD type IV collagenase(CLG4A),TBE-1,MONAとも呼ばれ、 Collagen typeI,IV,V,VII,X,XI,XIV,Fibronectin,Laminin,Elastin,Proteoglycan等を基質とする。(MMP-2も抗体がなくなりました。補充しても依頼が少ないので削除しました) MMP-3(EC3.4.24.17,前駆体として477aa,約57kDa,Gene:11q22.3)は、Stromelysin1(SL-1,STR-1,STMY1),Transin-1、Proteoglycanase あるいはProgelatinaseとも呼ばれ、Collagen typeII,III,IV,V,IX,Fibronectin,Proteoglycan等を基質とする。 MMP-7(EC3.4.24.23,前駆体として267aa,約29kDa,Gene:11q22.2)は、Matrilysis,Matrin,Uterine metalloproteinase,PUMP-1などとも呼ばれ、Collagen typeIV,Elastin,Proteoglycan等を基質とする。(MMP-7も抗体がなくなりましたのでとりあえず削除しました) MMP-9(EC3.4.24.35,前駆体として707aa,約92kDa,Gene:20q12-13)は"92KD Type IV collagenase(CLG4B)あるいはGelatinase B(GELB)とも呼ばれ、 Collagen typeIV,V,VII,X,Elastin,Laminin,Proteoglycan等を基質とする。 MMP-12(EC3.4.24.65,前駆体として470aa,約54kDa,Gene:11q22.3)は、Metalloelastase,Macrophage elastase(ME,HME),Matrixinとも呼ばれ、Elastin,Fibronectin,Laminin,Collagen typeIV,Proteoglycan等を基質とする。 (See → 【 E 】Elastase, Macrophage)(MMP-12も抗体がなくなったのに伴い削除しました) MMPの活性は阻害因子である TIMP(Tissue inhibitor of metalloproteinase)と結合して複合体となることによって抑制的に調節されているが、プラスミンなどによりMMPの産生は増強される。慢性関節リウマチにおける骨の破壊や分娩に際しての子宮の退縮などでのECMの分解のほか、肉芽形成や血管新生に際して線維芽細胞や血管平滑筋は増殖因子の刺激によりECMと共にMMPの産生も増加させる。また炎症に際して好中球、マクロファージなどでの産生も増加するほか、腫瘍細胞でも作られその間質浸潤や転移に関係している。いずれもホルマリン固定組織では熱処理が必要。細胞質にドット状〜びまん性に反応。
|
||||||||||||||||||||||||
MMP1: (100-469)
MHSFPPLLLL LFWGVVSHSF PATLETQEQD VDLVQKYLEK YYNLKNDGRQ VEKRRNSGPV VEKLKQMQEF FGLKVTGKPD AETLKVMKQP RCGVPDVAQF
VLTEGNPRWE QTHLTYRIEN YTPDLPRADV DHAIEKAFQL WSNVTPLTFT KVSEGQADIM ISFVRGDHRD NSPFDGPGGN LAHAFQPGPG IGGDAHFDED
ERWTNNFREY NLHRVAAHEL GHSLGLSHST DIGALMYPSY TFSGDVQLAQ DDIDGIQAIY GRSQNPVQPI GPQTPKACDS KLTFDAITTI RGEVMFFKDR
FYMRTNPFYP EVELNFISVF WPQLPNGLEA AYEFADRDEV RFFKGNKYWA VQGQNVLHGY PKDIYSSFGF PRTVKHIDAA LSEENTGKTY FFVANKYWRY
DEYKRSMDPG YPKMIAHDFP GIGHKVDAVF MKDGFFYFFH GTRQYKFDPK TKRILTLQKA NSWFNCRKN
(Bos:89%,Rab:88%,Sus:86%,Mus:60%,Rat:59%)
MMP2: (110-660)
MEALMARGAL TGPLRALCLL GCLLSHAAAA PSPIIKFPGD VAPKTDKELA VQYLNTFYGC PKESCNLFVL KDTLKKMQKF FGLPQTGDLD QNTIETMRKP
RCGNPDVANY NFFPRKPKWD KNQITYRIIG YTPDLDPETV DDAFARAFQV WSDVTPLRFS RIHDGEADIM INFGRWEHGD GYPFDGKDGL LAHAFAPGTG
VGGDSHFDDD ELWTLGEGQV VRVKYGNADG EYCKFPFLFN GKEYNSCTDT GRSDGFLWCS TTYNFEKDGK YGFCPHEALF TMGGNAEGQP CKFPFRFQGT
SYDSCTTEGR TDGYRWCGTT EDYDRDKKYG FCPETAMSTV GGNSEGAPCV FPFTFLGNKY ESCTSAGRSD GKMWCATTAN YDDDRKWGFC PDQGYSLFLV
AAHEFGHAMG LEHSQDPGAL MAPIYTYTKN FRLSQDDIKG IQELYGASPD IDLGTGPTPT LGPVTPEICK QDIVFDGIAQ IRGEIFFFKD RFIWRTVTPR
DKPMGPLLVA TFWPELPEKI DAVYEAPQEE KAVFFAGNEY WIYSASTLER GYPKPLTSLG LPPDVQRVDA AFNWSKNKKT YIFAGDKFWR YNEVKKKMDP
GFPKLIADAW NAIPDNLDAV VDLQGGGHSY FFKGAYYLKL ENQSLKSVKF GSIKSDWLGC (Can:97%,Bos/Sus/Rab/Mus/Rat:96%,Gal:84%)
MMP3: (100-477)
MKSLPILLLL CVAVCSAYPL DGAARGEDTS MNLVQKYLEN YYDLKKDVKQ FVRRKDSGPV VKKIREMQKF LGLEVTGKLD SDTLEVMRKP RCGVPDVGHF
RTFPGIPKWR KTHLTYRIVN YTPDLPKDAV DSAVEKALKV WEEVTPLTFS RLYEGEADIM ISFAVREHGD FYPFDGPGNV LAHAYAPGPG INGDAHFDDD
EQWTKDTTGT NLFLVAAHEI GHSLGLFHSA NTEALMYPLY HSLTDLTRFR LSQDDINGIQ SLYGPPPDSP ETPLVPTEPV PPEPGTPANC DPALSFDAVS
TLRGEILIFK DRHFWRKSLR KLEPELHLIS SFWPSLPSGV DAAYEVTSKD LVFIFKGNQF WAIRGNEVRA GYPRGIHTLG FPPTVRKIDA AISDKEKNKT
YFFVEDKYWR FDEKRNSMEP GFPKQIAEDF PGIDSKIDAV FEEFGFFYFF TGSSQLEFDP NAKKVTHTLK SNSWLNC
(Rab:84%,Can/Equ/Fel:82%,Sus:80%,Mus:78%,Rat:76%)
MMP7: (95-267)
MRLTVLCAVC LLPGSLALPL PQEAGGMSEL QWEQAQDYLK RFYLYDSETK NANSLEAKLK EMQKFFGLPI TGMLNSRVIE IMQKPRCGVP DVAEYSLFPN
SPKWTSKVVT YRIVSYTRDL PHITVDRLVS KALNMWGKEI PLHFRKVVWG TADIMIGFAR GAHGDSYPFD GPGNTLAHAF APGTGLGGDA HFDEDERWTD
GSSLGINFLY AATHELGHSL GMGHSSDPNA VMYPTYGNGD PQNFKLSQDD IKGIQKLYGK RSNSRKK
(Sus:81%,Can:79%,Bos/Ovi:78%,Mus:70%,Rat:69%)
MMP9: (94-707)
MSLWQPLVLV LLVLGCCFAA PRQRQSTLVL FPGDLRTNLT DRQLAEEYLY RYGYTRVAEM RGESKSLGPA LLLLQKQLSL PETGELDSAT LKAMRTPRCG
VPDLGRFQTF EGDLKWHHHN ITYWIQNYSE DLPRAVIDDA FARAFALWSA VTPLTFTRVY SRDADIVIQF GVAEHGDGYP FDGKDGLLAH AFPPGPGIQG
DAHFDDDELW SLGKGVVVPT RFGNADGAAC HFPFIFEGRS YSACTTDGRS DGLPWCSTTA NYDTDDRFGF CPSERLYTRD GNADGKPCQF PFIFQGQSYS
ACTTDGRSDG YRWCATTANY DRDKLFGFCP TRADSTVMGG NSAGELCVFP FTFLGKEYST CTSEGRGDGR LWCATTSNFD SDKKWGFCPD QGYSLFLVAA
HEFGHALGLD HSSVPEALMY PMYRFTEGPP LHKDDVNGIR HLYGPRPEPE PRPPTTTTPQ PTAPPTVCPT GPPTVHPSER PTAGPTGPPS AGPTGPPTAG
PSTATTVPLS PVDDACNVNI FDAIAEIGNQ LYLFKDGKYW RFSEGRGSRP QGPFLIADKW PALPRKLDSV FEEPLSKKLF FFSGRQVWVY TGASVLGPRR
LDKLGLGADV AQVTGALRSG RGKMLLFSGR RLWRFDVKAQ MVDPRSASEV DRMFPGVPLD THDVFQYREK AYFCQDRFYW RVSSRSELNQ VDQVGYVTYD
ILQCP (against full-length Rab:83%,Can/Bos/Equ:80%,Rat:73%.Mus:72%)
MMP12: (106-470)
MKFLLILLLQ ATASGALPLN SSTSLEKNNV LFGERYLEKF YGLEINKLPV TKMKYSGNLM KEKIQEMQHF LGLKVTGQLD TSTLEMMHAP RCGVPDVHHF
REMPGGPVWR KHYITYRINN YTPDMNREDV DYAIRKAFQV WSNVTPLKFS KINTGMADIL VVFARGAHGD FHAFDGKGGI LAHAFGPGSG IGGDAHFDED
EFWTTHSGGT NLFLTAVHEI GHSLGLGHSS DPKAVMFPTY KYVDINTFRL SADDIRGIQS LYGDPKENQR LPNPDNSEPA LCDPNLSFDA VTTVGNKIFF
FKDRFFWLKV SERPKTSVNL ISSLWPTLPS GIEAAYEIEA RNQVFLFKDD KYWLISNLRP EPNYPKSIHS FGFPNFVKKI DAAVFNPRFY RTYFFVDNQY
WRYDERRQMM DPGYPKLITK NFQGIGPKID AVFYSKNKYY YFFQGSNQFE YDFLLQRITK TLKSNSWFGC
(Rab:75%,Can:72%,Sus:71%,Rat:66%,Mus:65%)
|
| MDM2 (Murine double minute 2) | |
|---|---|
![]() MDM2 乳癌 X400 |
MDM2は12q15のmdm2遺伝子にコードされる491aa、約56kDaの蛋白で、p53を抑制する一方で、
p53非依存的にNF-κBを活性化したり、サイクリン依存性キナーゼ阻害因子の分解にも関与し細胞周期の制御のほか、器官の分化や組織傷害時の炎症促進にも関与している。
また、Ubiquitinと標的蛋白のリジン残基との結合を触媒する E3 ubiquitin ligase(EC 2.3.2.27)でもある(Ligaseの4大familyでも最大派閥であるRING finger familyのひとつ)。神経芽細胞腫、乳癌、肺癌など多くのヒト腫瘍細胞の核内に発現がみられる。 ※ヒトの遺伝子でありながらマウス二重微小染色体(Murine double minute = "マイニュート"と発音)遺伝子というのは最初にマウスの細胞から見出されたからで、後にヒトのホモログも同定されHDMとも呼ばれることもあるが一般的にはMGM2と呼ばれている。 (HER2やhMLH1と扱いが違うのはなぜか?と問われても世間ではよくあることとしか答えられない)なお、二重微小染色体は通常の染色体外にみられるDNA断片。 |
MCNTNMSVPT DGAVTTSQIP ASEQETLVRP KPLLLKLLKS VGAQKDTYTM KEVLFYLGQY IMTKRLYDEK QQHIVYCSND LLGDLFGVPS FSVKEHRKIY
TMIYRNLVVV NQQESSDSGT SVSENRCHLE GGSDQKDLVQ ELQEEKPSSS HLVSRPSTSS RRRAISETEE NSDELSGERQ RKRHKSDSIS LSFDESLALC
VIREICCERS SSSESTGTPS NPDLDAGVSE HSGDWLDQDS VSDQFSVEFE VESLDSEDYS LSEEGQELSD EDDEVYQVTV YQAGESDTDS FEEDPEISLA
DYWKCTSCNE MNPPLPSHCN RCWALRENWL PEDKGKDKGE ISEKAKLENS TQAEEGFDVP DCKKTIVNDS RESCVEENDD KITQASQSQE SEDYSQPSTS
SSIIYSSQED VKEFEREETQ DKEESVESSL PLNAIEPCVI CQGRPKNGCI VHGKTGHLMA CFTCAKKLKK RNKPCPVCRQ PIQMIVLTYF P
|
| Merosin(Gene:6q22;LamA2 はLamininファミリーに属する糖蛋白でLaminin2とも呼ばれる。 Laminin1(最初に発見されたいわゆる「ラミニン」)と基本構造が共通しA鎖がα2、B鎖がβ2サブユニットからなる。神経鞘、横紋筋の基底膜に存在し、筋細胞ではDystroglican複合体を介してDystrophinと結合し、細胞外マトリックス(ECM)とつないでおり、筋ジストロフィーの一型で常染色体劣性遺伝をするMerosin(Laminin2)欠損型CMDはこの欠損により生じる。本抗体(clone:Mer3/22B2)はα2鎖部分を認識している。 → See 【 D 】Dystrophin,【 L 】Laminin (抗体の期限切れに伴いリストより削除しました) | |
| Mesothelin | |
|---|---|
![]() Mesothelin 胸膜 X400 |
Mesothelinは16p13.3上の遺伝子MSLN に支配される400kDのGlycosyl-phosphatidylinositol-linked (GPI)糖蛋白で、転写時のvariantであるMegakaryocyte potentiating factor(MPF)などとfamilyを形成する。中皮細胞の細胞膜に強く発現しており機能的には不明だが、おそらく接着分子として働いているものと考えられている。別名としてSMR、CAK-1などがある。中皮腫のマーカーとしてCalretinin、HBME-1とともに有用であるが、卵巣癌の多くのほか扁平上皮癌の一部とも反応する。(CAK-1の項を参照)この抗体(clone:5B2)はホルマリン固定組織でも熱処理によって応用できる。 |
MALPTARPLL GSCGTPALGS LLFLLFSLGW VQPSRTLAGE TGQEAAPLDG VLANPPNISS LSPRQLLGFP CAEVSGLSTE RVRELAVALA QKNVKLSTEQ
LRCLAHRLSE PPEDLDALPL DLLLFLNPDA FSGPQACTHF FSRITKANVD LLPRGAPERQ RLLPAALACW GVRGSLLSEA DVRALGGLAC DLPGRFVAES
AEVLLPRLVS CPGPLDQDQQ EAARAALQGG GPPYGPPSTW SVSTMDALRG LLPVLGQPII RSIPQGIVAA WRQRSSRDPS WRQPERTILR PRFRREVEKT
ACPSGKKARE IDESLIFYKK WELEACVDAA LLATQMDRVN AIPFTYEQLD VLKHKLDELY PQGYPESVIQ HLGYLFLKMS PEDIRKWNVT SLETLKALLE
VNKGHEMSPQ VATLIDRFVK GRGQLDKDTL DTLTAFYPGY LCSLSPEELS SVPPSSIWAV RPQDLDTCDP RQLDVLYPKA RLAFQNMNGS EYFVKIQSFL
GGAPTEDLKA LSQQNVSMDL ATFMKLRTDA VLPLTVAEVQ KLLGPHVEGL KAEERHRPVR DWILRQRQDD LDTLGLGLQG GIPNGYLVLD LSVQEALSGT
PCLLGPGPVL TVLALLLAST LA(296-622)
|
![]() MT 肝生検 X400 【参考】上図とは別の症例 ![]() Rhodanine染色 肝生検 X400 |
Metallothionein(MT)は1957年に発見された61aa、分子量約6000ほどの蛋白で、チオール基(-SH)を側鎖にもつシステインに富む金属結合性蛋白であるところから名付られた。動植物から細菌までの多くの生物にみられ、ヒトの場合は遺伝子は16q13にあり多数のisoformがある。システインの硫黄(S)は亜鉛、銅などの金属原子と結合性が強く、 Zn++やCu++の運搬・代謝に関与しているほか、水銀、カドミウム、金、銀などの重金属と結合しこれらの毒性緩和や活性酸素の除去にも関係する一種の防御蛋白で、重金属投与、感染症、低温、酸化ストレスなどにより特に肝や腎で強く誘導合成される。免疫組織化学的には成人の肝では陰性か、極めて弱い反応しか見られないが、カドミウムや水銀中毒及び銅の代謝異常であるWilson病では細胞質及び核に強く発現する。他に甲状腺腫瘍や乳腺の筋上皮などで陽性となる。またMT陽性の腫瘍はシスプラチンなどの薬剤に対し感受性が低く予後が悪いと言われる。ホルマリン固定組織では熱処理が有効。 左(上)に呈示した画像はWilson病が疑われた方の肝生検材料で、肝細胞の核及びそれよりやや弱く細胞質にびまん性に反応し、所々で点状〜顆粒状に強い反応が見られた。対照として同時に行った他疾患の肝生検材料3例は全て陰性であった。また同時に行ったロダニン法による銅染色はこの症例では陰性であった。従って本抗体による反応は旧来の金属検出用特殊染色より鋭敏で特異性の高いものと考えられる。ただし、左上図に示すように組織内部の細胞に比して外側の細胞では明らかに反応が弱い。このことは本抗体による反応が過剰固定により負の修飾を受けやすいことを示唆しているので、その点注意すべきであろう。 (リストより削除しました。役に立つ抗体と思ったのですが、活躍できる頻度が少な過ぎました。) |
A: MDPNCSCATG GSCTCTGSCK CKECKCNSCK KSCCSCCPMS CAKCAQGCIC KGASEKCSCC A
B: MDPNCSCTTG GSCACAGSCK CKECKCTSCK KCCCSCCPVG CAKCAQGCVC KGSSEKCRCC A
E: MDPNCSCATG GSCTCAGSCK CKECKCTSCK KSCCSCCPVG CAKCAQGCVC KGASEKCSCC A
F: MDPNCSCAAG VSCTCAGSCK CKECKCTSCK KSCCSCCPVG CSKCAQGCVC KGASEKCSCC D
|
| MIC2 protein(CD99) (別名:E2,12E7,FMC29,HuLy-m6) | |
|---|---|
![]() MIC2(CD99) 膵 X400 |
性染色体短腕(Xp22.32及びYp11.3)のMIC2 遺伝子にコードされる30/32kD(185aa)の糖蛋白。Tリンパ球の表面抗原としてヒツジ赤血球とのロゼット形成に関係しCD99として分類されている他、胸腺皮質、卵巣顆粒膜、精巣セルトリ細胞、膵ラ島細胞や内皮細胞の一部にも発現している。腫瘍ではEwing肉腫/PNET(末梢性未分化神経上皮腫 Peripheral primitive neuroectodermal tumor)のマーカーとして有名だが、横紋筋肉腫(胎児型)や滑膜肉腫、脳腫瘍では膠芽腫、上衣腫などでも陽性例があると言われる。またT-ALL細胞にも反応する。ホルマリン固定組織では熱処理が必要。 |
MARGAALALL LFGLLGVLVA APDGGFDLSD ALPDNENKKP TAIPKKPSAG DDFDLGDAVV DGENDDPRPP NPPKPMPNPN PNHPSSSGSF SDADLADGVS
GGEGKGGSDG GGSHRKEGEE ADAPGVIPGI VGAVVVAVAG AISSFIAYQK KKLCFKENAE QGEVDMESHR NANAEPAVQR TLLEK
|
■ Mismatch repair protein (MMR) ■ | ||||||||||||||||||||||||||||||||
| human MutL homolog 1 (hMLH1,MLH1,mlh1)HNPCC type2(HNPCC2),COCA2,FCC2 human MutS homolog 2 (hMSH2,MSH2,msh2)HNPCC type1(HNPCC1),COCA1,FCC1,BAT-26 human MutS homolog 6 (hMSH6,MSH6,msh6)HNPCC type5(HNPCC5),GTBP, HSAP, p160 human PMS1 homolog 2(hPMS2, PMS2, pms2)HNPCC type4(HNPCC4), PMSL2, PSI2, MLH4 | ||||||||||||||||||||||||||||||||
|---|---|---|---|---|---|---|---|---|---|---|---|---|---|---|---|---|---|---|---|---|---|---|---|---|---|---|---|---|---|---|---|---|
![]() MLH1 胃癌 X400 ![]() MSH2 胃癌 X400 ![]() MSH6 大腸癌 X400 ![]() PMS2 大腸癌 X400 |
DNA複製に際し塩基配列にズレが生じることを DNAミスマッチと言い、これを修復する蛋白(DNA mismatch repair protein:MMR protein)が核内に存在する。当初、これらをコードするMMR遺伝子は菌類で解明が進み、その結果Mutatorの意味で MutL、MutS などが同定されたが、その後これらの遺伝子は種を越えて保存されていることがわかり、それぞれヒトのHomologという意味から hMLH、hMSH などと呼ばれるようになり、蛋白としてはさらには単にMLH、MSHと呼ばれるようになっている。 ヒトでは現在 hMLH1、hMSH2、hMSH3、hMSH6、hPMS1、hPMS2 等の遺伝子が知られており、ヒトのMLH1遺伝子は染色体上3p22.3の位置にあって756aa, 約86kDaのMLH1蛋白を、MSH2遺伝子は2p21-22にあって943aa, およそ100kDaのMSH2蛋白を、MSH6遺伝子は2p16.3にあって1360aa, 約153kDaのMSH6蛋白を、PMS2遺伝子は7p22.1にあって862aa, 約96kDaのPMS2蛋白をそれぞれコードしており、PMS2蛋白はMLH1蛋白と結合してMutL alpha、MSH6蛋白はMSH2蛋白と結合してMutS alphaと呼ばれるヘテロダイマーを形成して機能している。 MMR遺伝子の変異は遺伝性非ポリポージス大腸癌(Hereditary nonpolyposis colorectal cancer:HNPCCあるいはLynch syndrome)の原因とされており、MSH2はHNPCC1、MLH1はHNPCC2、PMS2はHNPCC4、MSH6はHNPCC5とも呼ばれる。あるいはFamilial colorectal cancerに因んでMSH2はFCC1やCOCA1,MLH1はFCC2とかCOCA2などとも呼ばれる。また、MSH6はG/T binding protein(GTBP)とも呼ばれ、PMS2はPMS1 homolog 2、Postmeiotic segregation increased 2(PSI2)とか、MLH4などとも呼ばれることがあるなど別名がちょっと複雑である。 免疫染色では遺伝子そのものの変異をみるのではなく、結果として産生された蛋白の異常を検出するため、症状がなくても感染症に罹患していることがあるのと同様に遺伝子変異があっても必ずしも蛋白の欠失がみられないこともあり得る点には注意が必要。 大腸癌の他に膵、胃、乳癌および肺小細胞癌などでも遺伝子変異が報告されている。なお、膀胱癌においてMSH2発現の減少、消失例は再発率が高いとする報告もある。いずれもホルマリン固定組織では熱処理が必要。 (HNPCCの診断基準や遺伝子変異の頻度などの詳細は菅野康吉;「病理と臨床」Vol.29,臨時増刊,281-288,2011や、Gene Reviw Japan(http://grj.umin.jp)で詳しく説明されているので参照されたい。) | |||||||||||||||||||||||||||||||
MMR機能の低下・欠損状態は MMR deficient (dMMR)と呼ばれ、細胞増殖や腫瘍抑制に関わる遺伝子の修復異常による腫瘍の発生・増殖に関係していると考えられている。
組織標本を用いたdMMR検査法には、DNAを抽出してMicrosatelliteの反復回数を調べるMSI検査のほか、MLH1、MSH2、MSH6、PMS2に対する免疫染色(IHC)により下表のようにMMR蛋白の発現の仕方を調べる方法が用いられている。
|
||||||||||||||||||||||||||||||||
MLH1: MSFVAGVIRR LDETVVNRIA AGEVIQRPAN AIKEMIENCL DAKSTSIQVI VKEGGLKLIQ IQDNGTGIRK EDLDIVCERF TTSKLQSFED LASISTYGFR GEALASISHV AHVTITTKTA DGKCAYRASY SDGKLKAPPK PCAGNQGTQI TVEDLFYNIA TRRKALKNPS EEYGKILEVV GRYSVHNAGI SFSVKKQGET VADVRTLPNA STVDNIRSIF GNAVSRELIE IGCEDKTLAF KMNGYISNAN YSVKKCIFLL FINHRLVEST SLRKAIETVY AAYLPKNTHP FLYLSLEISP QNVDVNVHPT KHEVHFLHEE SILERVQQHI ESKLLGSNSS RMYFTQTLLP GLAGPSGEMV KSTTSLTSSS TSGSSDKVYA HQMVRTDSRE QKLDAFLQPL SKPLSSQPQA IVTEDKTDIS SGRARQQDEE MLELPAPAEV AAKNQSLEGD TTKGTSEMSE KRGPTSSNPR KRHREDSDVE MVEDDSRKEM TAACTPRRRI INLTSVLSLQ EEINEQGHEV LREMLHNHSF VGCVNPQWAL AQHQTKLYLL NTTKLSEELF YQILIYDFAN FGVLRLSEPA PLFDLAMLAL DSPESGWTEE DGPKEGLAEY IVEFLKKKAE MLADYFSLEI DEEGNLIGLP LLIDNYVPPL EGLPIFILRL ATEVNWDEEK ECFESLSKEC AMFYSIRKQY ISEESTLSGQ QSEVPGSIPN SWKWTVEHIV YKALRSHILP PKHFTEDGNI LQLANLPDLY KVFERC MSH2: MAVQPKETLQ LESAAEVGFV RFFQGMPEKP TTTVRLFDRG DFYTAHGEDA LLAAREVFKT QGVIKYMGPA GAKNLQSVVL SKMNFESFVK DLLLVRQYRV EVYKNRAGNK ASKENDWYLA YKASPGNLSQ FEDILFGNND MSASIGVVGV KMSAVDGQRQ VGVGYVDSIQ RKLGLCEFPD NDQFSNLEAL LIQIGPKECV LPGGETAGDM GKLRQIIQRG GILITERKKA DFSTKDIYQD LNRLLKGKKG EQMNSAVLPE MENQVAVSSL SAVIKFLELL SDDSNFGQFE LTTFDFSQYM KLDIAAVRAL NLFQGSVEDT TGSQSLAALL NKCKTPQGQR LVNQWIKQPL MDKNRIEERL NLVEAFVEDA ELRQTLQEDL LRRFPDLNRL AKKFQRQAAN LQDCYRLYQG INQLPNVIQA LEKHEGKHQK LLLAVFVTPL TDLRSDFSKF QEMIETTLDM DQVENHEFLV KPSFDPNLSE LREIMNDLEK KMQSTLISAA RDLGLDPGKQ IKLDSSAQFG YYFRVTCKEE KVLRNNKNFS TVDIQKNGVK FTNSKLTSLN EEYTKNKTEY EEAQDAIVKE IVNISSGYVE PMQTLNDVLA QLDAVVSFAH VSNGAPVPYV RPAILEKGQG RIILKASRHA CVEVQDEIAF IPNDVYFEKD KQMFHIITGP NMGGKSTYIR QTGVIVLMAQ IGCFVPCESA EVSIVDCILA RVGAGDSQLK GVSTFMAEML ETASILRSAT KDSLIIIDEL GRGTSTYDGF GLAWAISEYI ATKIGAFCMF ATHFHELTAL ANQIPTVNNL HVTALTTEET LTMLYQVKKG VCDQSFGIHV AELANFPKHV IECAKQKALE LEEFQYIGES QGYDIMEPAA KKCYLEREQG EKIIQEFLSK VKQMPFTEMS EENITIKLKQ LKAEVIAKNN SFVNEIISRI KVTT MSH6: MSRQSTLYSF FPKSPALSDA NKASARASRE GGRAAAAPGA SPSPGGDAAW SEAGPGPRPL ARSASPPKAK NLNGGLRRSV APAAPTSCDF SPGDLVWAKM EGYPWWPCLV YNHPFDGTFI REKGKSVRVH VQFFDDSPTR GWVSKRLLKP YTGSKSKEAQ KGGHFYSAKP EILRAMQRAD EALNKDKIKR LELAVCDEPS EPEEEEEMEV GTTYVTDKSE EDNEIESEEE VQPKTQGSRR SSRQIKKRRV ISDSESDIGG SDVEFKPDTK EEGSSDEISS GVGDSESEGL NSPVKVARKR KRMVTGNGSL KRKSSRKETP SATKQATSIS SETKNTLRAF SAPQNSESQA HVSGGGDDSS RPTVWYHETL EWLKEEKRRD EHRRRPDHPD FDASTLYVPE DFLNSCTPGM RKWWQIKSQN FDLVICYKVG KFYELYHMDA LIGVSELGLV FMKGNWAHSG FPEIAFGRYS DSLVQKGYKV ARVEQTETPE MMEARCRKMA HISKYDRVVR REICRIITKG TQTYSVLEGD PSENYSKYLL SLKEKEEDSS GHTRAYGVCF VDTSLGKFFI GQFSDDRHCS RFRTLVAHYP PVQVLFEKGN LSKETKTILK SSLSCSLQEG LIPGSQFWDA SKTLRTLLEE EYFREKLSDG IGVMLPQVLK GMTSESDSIG LTPGEKSELA LSALGGCVFY LKKCLIDQEL LSMANFEEYI PLDSDTVSTT RSGAIFTKAY QRMVLDAVTL NNLEIFLNGT NGSTEGTLLE RVDTCHTPFG KRLLKQWLCA PLCNHYAIND RLDAIEDLMV VPDKISEVVE LLKKLPDLER LLSKIHNVGS PLKSQNHPDS RAIMYEETTY SKKKIIDFLS ALEGFKVMCK IIGIMEEVAD GFKSKILKQV ISLQTKNPEG RFPDLTVELN RWDTAFDHEK ARKTGLITPK AGFDSDYDQA LADIRENEQS LLEYLEKQRN RIGCRTIVYW GIGRNRYQLE IPENFTTRNL PEEYELKSTK KGCKRYWTKT IEKKLANLIN AEERRDVSLK DCMRRLFYNF DKNYKDWQSA VECIAVLDVL LCLANYSRGG DGPMCRPVIL LPEDTPPFLE LKGSRHPCIT KTFFGDDFIP NDILIGCEEE EQENGKAYCV LVTGPNMGGK STLMRQAGLL AVMAQMGCYV PAEVCRLTPI DRVFTRLGAS DRIMSGESTF FVELSETASI LMHATAHSLV LVDELGRGTA TFDGTAIANA VVKELAETIK CRTLFSTHYH SLVEDYSQNV AVRLGHMACM VENECEDPSQ ETITFLYKFI KGACPKSYGF NAARLANLPE EVIQKGHRKA REFEKMNQSL RLFREVCLAS ERSTVDAEAV HKLLTLIKEL PMS2: MERAESSSTE PAKAIKPIDR KSVHQICSGQ VVLSLSTAVK ELVENSLDAG ATNIDLKLKD YGVDLIEVSD NGCGVEEENF EGLTLKHHTS KIQEFADLTQ VETFGFRGEA LSSLCALSDV TISTCHASAK VGTRLMFDHN GKIIQKTPYP RPRGTTVSVQ QLFSTLPVRH KEFQRNIKKE YAKMVQVLHA YCIISAGIRV SCTNQLGQGK RQPVVCTGGS PSIKENIGSV FGQKQLQSLI PFVQLPPSDS VCEEYGLSCS DALHNLFYIS GFISQCTHGV GRSSTDRQFF FINRRPCDPA KVCRLVNEVY HMYNRHQYPF VVLNISVDSE CVDINVTPDK RQILLQEEKL LLAVLKTSLI GMFDSDVNKL NVSQQPLLDV EGNLIKMHAA DLEKPMVEKQ DQSPSLRTGE EKKDVSISRL REAFSLRHTT ENKPHSPKTP EPRRSPLGQK RGMLSSSTSG AISDKGVLRP QKEAVSSSHG PSDPTDRAEV EKDSGHGSTS VDSEGFSIPD TGSHCSSEYA ASSPGDRGSQ EHVDSQEKAP KTDDSFSDVD CHSNQEDTGC KFRVLPQPTN LATPNTKRFK KEEILSSSDI CQKLVNTQDM SASQVDVAVK INKKVVPLDF SMSSLAKRIK QLHHEAQQSE GEQNYRKFRA KICPGENQAA EDELRKEISK TMFAEMEIIG QFNLGFIITK LNEDIFIVDQ HATDEKYNFE MLQQHTVLQG QRLIAPQTLN LTAVNEAVLI ENLEIFRKNG FDFVIDENAP VTERAKLISL PTSKNWTFGP QDVDELIFML SDSPGVMCRP SRVKQMFASR ACRKSVMIGT ALNTSEMKKL ITHMGEMDHP WNCPHGRPTM RHIANLGVIS QN |
| Mitochondria, human | |
|---|---|
![]() Mitochondria 腸 X400 |
ミトコンドリアは、真核生物の殆どの細胞に含まれる直径0.5μm程度の球〜円筒形の細胞内器官で、そのmatrixには好気的エネルギー産生に関わる酵素群が含まれている。抗ミトコンドリア抗体(anti-mitochondrial antibody:AMA)というと、一般には原発性胆汁性肝硬変(primary biliary cirrhosis:PBC)等での自己抗体として知られるが、 この抗体はヒト細胞のミトコンドリアと反応し、MouseやRatの細胞とは反応しないので Xenographic modelにおけるヒト細胞の確認に利用できるほか、mtDNAs変異によるMELAS(mitochondrial myopathy, encephalopathy, lactic acidosis and stroke-like episodes)、MERRF(myoclonus epilepsy associated with ragged-red fibers)等でも利用できる可能性がある。 ただし、NZ white rabbitの細胞では一部に反応がみられた。 |
■ Mitotic spindle assembly checkpoint protein ■ | |
![]() MAD2L2 肝癌 X400 |
有糸分裂周期の中期から後期への移行を制限する有糸分裂停止欠損蛋白で、複製されたすべての染色体が細胞の赤道面に並列に整列して紡錘糸が動原体に正しく接着するまで分裂の進行を停止する「紡錘体チェックポイント」と呼ばれる調整システム(染色体の分離エラーに対する一種の安全装置)として機能する。
MAD2L2は Reversionless 7(REV7)とも呼ばれ、DNAポリメラーゼであるREV1やREV3LとともにDNA損傷の緊急修復機構であるトランスレクション DNA合成(TLS) に関与するなど多機能性を有している。
(リスト非掲載項目です) |
4q27 MAD2L1 205aa
MALQLSREQG ITLRGSAEIV AEFFSFGINS ILYQRGIYPS ETFTRVQKYG LTLLVTTDLE LIKYLNNVVE QLKDWLYKCS VQKLVVVISN IESGEVLERW
QFDIECDKTA KDDSAPREKS QKAIQDEIRS VIRQITATVT FLPLLEVSCS FDLLIYTDKD LVVPEKWEES GPQFITNSEE VRLRSFTTTI HKVNSMVAYK
IPVND
1p36.22 MAD2L2 211aa
MTTLTRQDLN FGQVVADVLC EFLEVAVHLI LYVREVYPVG IFQKRKKYNV PVQMSCHPEL NQYIQDTLHC VKPLLEKNDV EKVVVVILDK EHRPVEKFVF
EITQPPLLSI SSDSLLSHVE QLLRAFILKI SVCDAVLDHN PPGCTFTVLV HTREAATRNM EKIQVIKDFP WILADEQDVH MHDPRLIPLK TMTSDILKMQ
LYVEERAHKG S
|
![]() MOC-31肺癌 X400 |
MOC-31は抗体のクローン名称で、この抗体の認識するものは肺癌関連抗原のcluster II に相当する40kDの細胞膜蛋白。 "Lung antigen"とか"Lung carcinoma antigen"とかという名称で呼ばれたりもするが、肺組織あるいは肺癌細胞に特異的ではなく、正常の気管支円柱上皮、唾液腺などの上皮細胞や血管内皮などにも反応するほか、副腎、脳でも染まる。また"全ての肺癌に反応する"と言うが、腺癌に比べ扁平上皮癌では反応は乏しいように思える。ただ、中皮細胞、中皮腫細胞には反応しないので体腔液中での腺癌と中皮腫の鑑別に有用と言われる。 (体腔液細胞診アトラス:亀井敏昭・海老原善郎,p184,篠原出版新社,2002) ホルマリン固定組織では反応が損なわれやすく熱処理が必要。 (リストより削除しました) |
■ Mucin antigens ■ | ||
|
Muc-1 glycoprotein (MUC1) Muc-2 glycoprotein (MUC2) Muc-5AC glycoprotein (MUC5AC) Muc-6 glycoprotein (MUC6) Mucin,HIK1083 (M-GGMC-1) (電話などでは接着分子のMac-1などと紛らわしいので「ムック」とか「ムチン」と発音してください。) | ||
|---|---|---|
![]() MUC1 乳癌 ×400 ![]() MUC1core 乳癌 ×400 ![]() MUC2 胃 ×400 ![]() MUC5AC 胃 ×100 ![]() MUC6 胃 ×100 |
糖蛋白は基本的に蛋白質に種々の糖鎖が結合(Glycosylation)したもので、結合部位がアスパラギン残基の糖鎖をN型、セリンまたはスレオニン残基のものをO型糖鎖という。所謂「ムチン(mucin)」とはO結合型オリゴ糖を含有する高分子糖蛋白で、糖鎖の修飾によって分子量は異なるが、基本構造としては Core peptideを中心とする直線的な構造にヒゲのように糖鎖が結合している。core peptideのアミノ酸配列中にセリン、スレオニンを多く含むタンデムリピート(tandem repeat)と呼ばれる独特な繰り返しがあって、その配列の違いからMUC1,2,3A,3B,4,5AC,5B,6,7,8・・・などに分けられ、現在MUC21くらいまで報告されている。これらにはMUC1,3,4,12などのように消化管や気道粘膜の上皮細胞の細胞膜に結合する膜結合型ムチン(T型膜貫通蛋白)と、MUC2,5AC,5B,6,7,19などのように細胞から分泌されゲル状(いわゆる粘液の成分)となって粘膜表面を覆う分泌型ムチンとがあり、 MUC1を除き大体が前者は7q22付近に、後者は11p15付近に遺伝子が集中している。
これらの発現増強にはIL-6,INF-γなどのサイトカインや、細菌などのリポポリサッカロイド(LPS)が関わっているが、STAT、NFκB、CDX2などの関与も疑われている。 MUC1(CD227,Gene:1q21-23;MUC1)は膜結合型のApomucinで、Polymorphic epithelial mucin(PEM)、Peanut-reactive urinary mucin(PUM)などとも呼ばれたように多くの腺腔上皮に発現するが、Breast carcinoma-associated antigen DF32など「乳腺型」と呼ばれることもあるように主に乳癌や膵癌など Serous typeの広範な腺癌細胞の膜表面に過剰発現する。 EMA、CA15-3、HMFG-1など、さらにCA19-9やDUPAN2に対する抗体が認識する糖鎖抗原も実はMUC1あるいはそのcore上にある。 MUC2(Gene:11p15.5;MUC2)は、アミノ酸にして5000以上に及ぶ大型の分泌型Apomucinで、Intestinal mucin「腸型ムチン」とも呼ばれるように腸管や気道粘膜に発現している。粘膜消化管などの Mucinous typeの腺癌に陽性が多い。 胆管癌・膵癌などでは膨張性に発育するものではMUC1(-)MUC2(+)であるが、浸潤性発育を示す予後不良なものではMUC1(+)MUC2(-)が多く、 このことよりMUC1(膜結合型)の発現は予後不良因子、MUC2(分泌型)の過剰発現は予後良好因子とする報告がある。(Yonezawa et.al : "Expression of mucin antigens in human cancers and its relationship with malignancy potential"; Pathol.Int.47:813-830,1997) 胃・大腸癌でも同様にMUC1の発現の強いものは転移しやすいと言われる。(野元三治・米澤 傑:「消化管癌の悪性度とMUC1蛋白発現」;病理と臨床,23(9):954-959,2005に詳しく解説されている。) MUC5AC(Gene:11p15.5;MUC5AC)は分泌型ムチンで、Lewis B blood group antigen(LeB)とも呼ばれる。気道粘膜からも分泌されMajor airway glycoproteinなどとも言われるが、胃ではHuman gastric mucin抗体と同様に表層部腺窩細胞に反応し、「胃型ムチン」とも呼ばれる。一方、MUC6(Gene:11p15)や、ラット胃粘液に由来する1,4-GlcNAcを含むムチン型糖鎖を認識するHIK1083(M-GGMC-1)抗体の陽性細胞は、主に胃では幽門・噴門腺、Brunner腺(いわゆるIII型粘液)に見られる。 →【 G 】 Gastric Mucin の項参照 | |
| (MUC-1,2,4,5ACについては、米澤 傑ほか;病理と臨床,vol.29,臨時増刊:328-340,2011で、疾患別発現や分子標的治療まで具体的かつ解り易く解説されている) (2020.10.30 MUC1, MUC6のクローンを変更しました。) | ||
Lectinと糖鎖 | |||||||||||||||||||||||||||||||||||||||||||||||||
![]() Con A 胃 X400 ![]() PNA 胃 X100 ![]() SBA 胃 X100 ![]() UEA-I 胃 X100 |
Lectinは特異的に糖鎖と結合する蛋白の総称で、ラテン語で「選択」を意味する"Legere"がその語源と言われる。もともと細胞を凝集させる物質として発見されたので凝集素(Agglutinin)と呼ばれていた経緯から、古くから知られている lectinには略号の末尾に”A”の付くものが多い。植物性 plant lectin、動物性 animal lectin、細菌性bacterial lectin など様々なものがあり、種類によって親和性の高い糖鎖が異なるので植物性Lectinなどは糖鎖の検出に試薬として利用される。(Lectinと糖鎖の結合反応そのものは免疫グロブリンを介した免疫的な反応ではないが、LectinにHRPやBiotinを標識しておけば酵素抗体法の試薬を利用して反応を可視化できる。)また、動物性LectinなどはLectin構造を含む蛋白自体を抗原として免疫組織化学的な検出対象となることもある。
| ||||||||||||||||||||||||||||||||||||||||||||||||
MUC-1 (isoform1):
MTPGTQSPFF LLLLLTVLTV VTGSGHASST PGGEKETSAT QRSSVPSSTE KNAVSMTSSV LSSHSPGSGS STTQGQDVTL APATEPASGS AATWGQDVTS
VPVTRPALGS TTPPAHDVTS APDNKPAPGS TAPPAHGVTS APDTRPAPGS TAPPAHGVTS APDTRPAPGS TAPPAHGVTS APDTRPAPGS TAPPAHGVTS
APDTRPAPGS TAPPAHGVTS APDTRPAPGS TAPPAHGVTS APDTRPAPGS TAPPAHGVTS APDTRPAPGS TAPPAHGVTS APDTRPAPGS TAPPAHGVTS
APDTRPAPGS TAPPAHGVTS APDTRPAPGS TAPPAHGVTS APDTRPAPGS TAPPAHGVTS APDTRPAPGS TAPPAHGVTS APDTRPAPGS TAPPAHGVTS
APDTRPAPGS TAPPAHGVTS APDTRPAPGS TAPPAHGVTS APDTRPAPGS TAPPAHGVTS APDTRPAPGS TAPPAHGVTS APDTRPAPGS TAPPAHGVTS
APDTRPAPGS TAPPAHGVTS APDTRPAPGS TAPPAHGVTS APDTRPAPGS TAPPAHGVTS APDTRPAPGS TAPPAHGVTS APDTRPAPGS TAPPAHGVTS
APDTRPAPGS TAPPAHGVTS APDTRPAPGS TAPPAHGVTS APDTRPAPGS TAPPAHGVTS APDTRPAPGS TAPPAHGVTS APDTRPAPGS TAPPAHGVTS
APDTRPAPGS TAPPAHGVTS APDTRPAPGS TAPPAHGVTS APDTRPAPGS TAPPAHGVTS APDTRPAPGS TAPPAHGVTS APDTRPAPGS TAPPAHGVTS
APDTRPAPGS TAPPAHGVTS APDTRPAPGS TAPPAHGVTS APDTRPAPGS TAPPAHGVTS APDTRPAPGS TAPPAHGVTS APDTRPAPGS TAPPAHGVTS
APDTRPAPGS TAPPAHGVTS APDTRPAPGS TAPPAHGVTS APDNRPALGS TAPPVHNVTS ASGSASGSAS TLVHNGTSAR ATTTPASKST PFSIPSHHSD
TPTTLASHST KTDASSTHHS SVPPLTSSNH STSPQLSTGV SFFFLSFHIS NLQFNSSLED PSTDYYQELQ RDISEMFLQI YKQGGFLGLS NIKFRPGSVV
VQLTLAFREG TINVHDVETQ FNQYKTEAAS RYNLTISDVS VSDVPFPFSA QSGAGVPGWG IALLVLVCVL VALAIVYLIA LAVCQCRRKN YGQLDIFPAR
DTYHPMSEYP TYHTHGRYVP PSSTDRSPYE KVSAGNGGSS LSYTNPAVAA TSANL
MUC-2:
MGLPLARLAA VCLALSLAGG SELQTEGRTR YHGRNVCSTW GNFHYKTFDG DVFRFPGLCD YNFASDCRGS YKEFAVHLKR GPGQAEAPAG VESILLTIKD
DTIYLTRHLA VLNGAVVSTP HYSPGLLIEK SDAYTKVYSR AGLTLMWNRE DALMLELDTK FRNHTCGLCG DYNGLQSYSE FLSDGVLFSP LEFGNMQKIN
QPDVVCEDPE EEVAPASCSE HRAECERLLT AEAFADCQDL VPLEPYLRAC QQDRCRCPGG DTCVCSTVAE FSRQCSHAGG RPGNWRTATL CPKTCPGNLV
YLESGSPCMD TCSHLEVSSL CEEHRMDGCF CPEGTVYDDI GDSGCVPVSQ CHCRLHGHLY TPGQEITNDC EQCVCNAGRW VCKDLPCPGT CALEGGSHIT
TFDGKTYTFH GDCYYVLAKG DHNDSYALLG ELAPCGSTDK QTCLKTVVLL ADKKKNAVVF KSDGSVLLNQ LQVNLPHVTA SFSVFRPSSY HIMVSMAIGV
RLQVQLAPVM QLFVTLDQAS QGQVQGLCGN FNGLEGDDFK TASGLVEATG AGFANTWKAQ STCHDKLDWL DDPCSLNIES ANYAEHWCSL LKKTETPFGR
CHSAVDPAEY YKRCKYDTCN CQNNEDCLCA ALSSYARACT AKGVMLWGWR EHVCNKDVGS CPNSQVFLYN LTTCQQTCRS LSEADSHCLE GFAPVDGCGC
PDHTFLDEKG RCVPLAKCSC YHRGLYLEAG DVVVRQEERC VCRDGRLHCR QIRLIGQSCT APKIHMDCSN LTALATSKPR ALSCQTLAAG YYHTECVSGC
VCPDGLMDDG RGGCVVEKEC PCVHNNDLYS SGAKIKVDCN TCTCKRGRWV CTQAVCHGTC SIYGSGHYIT FDGKYYDFDG HCSYVAVQDY CGQNSSLGSF
SIITENVPCG TTGVTCSKAI KIFMGRTELK LEDKHRVVIQ RDEGHHVAYT TREVGQYLVV ESSTGIIVIW DKRTTVFIKL APSYKGTVCG LCGNFDHRSN
NDFTTRDHMV VSSELDFGNS WKEAPTCPDV STNPEPCSLN PHRRSWAEKQ CSILKSSVFS ICHSKVDPKP FYEACVHDSC SCDTGGDCEC FCSAVASYAQ
ECTKEGACVF WRTPDLCPIF CDYYNPPHEC EWHYEPCGNR SFETCRTING IHSNISVSYL EGCYPRCPKD RPIYEEDLKK CVTADKCGCY VEDTHYPPGA
SVPTEETCKS CVCTNSSQVV CRPEEGKILN QTQDGAFCYW EICGPNGTVE KHFNICSITT RPSTLTTFTT ITLPTTPTSF TTTTTTTTPT SSTVLSTTPK
LCCLWSDWIN EDHPSSGSDD GDREPFDGVC GAPEDIECRS VKDPHLSLEQ HGQKVQCDVS VGFICKNEDQ FGNGPFGLCY DYKIRVNCCW PMDKCITTPS
PPTTTPSPPP TTTTTLPPTT TPSPPTTTTT TPPPTTTPSP PITTTTTPLP TTTPSPPIST TTTPPPTTTP SPPTTTPSPP TTTPSPPTTT TTTPPPTTTP
SPPMTTPITP PASTTTLPPT TTPSPPTTTT TTPPPTTTPS PPTTTPITPP TSTTTLPPTT TPSPPPTTTT TPPPTTTPSP PTTTTPSPPT ITTTTPPPTT
TPSPPTTTTT TPPPTTTPSP PTTTPITPPT STTTLPPTTT PSPPPTTTTT PPPTTTPSPP TTTTPSPPIT TTTTPPPTTT PSSPITTTPS PPTTTMTTPS
PTTTPSSPIT TTTTPSSTTT PSPPPTTMTT PSPTTTPSPP TTTMTTLPPT TTSSPLTTTP LPPSITPPTF SPFSTTTPTT PCVPLCNWTG WLDSGKPNFH
KPGGDTELIG DVCGPGWAAN ISCRATMYPD VPIGQLGQTV VCDVSVGLIC KNEDQKPGGV IPMAFCLNYE INVQCCECVT QPTTMTTTTT ENPTPPTTTP
ITTTTTVTPT PTPTGTQTPT TTPITTTTTV TPTPTPTGTQ TPTTTPITTT TTVTPTPTPT GTQTPTTTPI TTTTTVTPTP TPTGTQTPTT TPITTTTTVT
PTPTPTGTQT PTTTPITTTT TVTPTPTPTG TQTPTTTPIT TTTTVTPTPT PTGTQTPTTT PITTTTTVTP TPTPTGTQTP TTTPITTTTT VTPTPTPTGT
QTPTTTPITT TTTVTPTPTP TGTQTPTTTP ITTTTTVTPT PTPTGTQTPT TTPITTTTTV TPTPTPTGTQ TPTTTPITTT TTVTPTPTPT GTQTPTTTPI
TTTTTVTPTP TPTGTQTPTT TPITTTTTVT PTPTPTGTQT PTTTPITTTT TVTPTPTPTG TQTPTTTPIT TTTTVTPTPT PTGTQTPTTT PITTTTTVTP
TPTPTGTQTP TTTPITTTTT VTPTPTPTGT QTPTTTPITT TTTVTPTPTP TGTQTPTTTP ITTTTTVTPT PTPTGTQTPT TTPITTTTTV TPTPTPTGTQ
TPTTTPITTT TTVTPTPTPT GTQTPTTTPI TTTTTVTPTP TPTGTQTPTT TPITTTTTVT PTPTPTGTQT PTTTPITTTT TVTPTPTPTG TQTPTTTPIT
TTTTVTPTPT PTGTQTPTTT PITTTTTVTP TPTPTGTQTP TTTPITTTTT VTPTPTPTGT QTPTTTPITT TTTVTPTPTP TGTQTPTTTP ITTTTTVTPT
PTPTGTQTPT TTPITTTTTV TPTPTPTGTQ TPTTTPITTT TTVTPTPTPT GTQTPTTTPI TTTTTVTPTP TPTGTQTPTT TPITTTTTVT PTPTPTGTQT
PTTTPITTTT TVTPTPTPTG TQTPTTTPIT TTTTVTPTPT PTGTQTPTTT PITTTTTVTP TPTPTGTQTP TTTPITTTTT VTPTPTPTGT QTPTTTPITT
TTTVTPTPTP TGTQTPTTTP ITTTTTVTPT PTPTGTQTPT TTPITTTTTV TPTPTPTGTQ TPTTTPITTT TTVTPTPTPT GTQTPTTTPI TTTTTVTPTP
TPTGTQTPTT TPITTTTTVT PTPTPTGTQT PTTTPITTTT TVTPTPTPTG TQTPTTTPIT TTTTVTPTPT PTGTQTPTTT PITTTTTVTP TPTPTGTQTP
TTTPITTTTT VTPTPTPTGT QTPTTTPITT TTTVTPTPTP TGTQTPTTTP ITTTTTVTPT PTPTGTQTPT TTPITTTTTV TPTPTPTGTQ TPTTTPITTT
TTVTPTPTPT GTQTPTTTPI TTTTTVTPTP TPTGTQTPTT TPITTTTTVT PTPTPTGTQT PTTTPITTTT TVTPTPTPTG TQTPTTTPIT TTTTVTPTPT
PTGTQTPTTT PITTTTTVTP TPTPTGTQTP TTTPITTTTT VTPTPTPTGT QTPTTTPITT TTTVTPTPTP TGTQTPTTTP ITTTTTVTPT PTPTGTQTPT
TTPITTTTTV TPTPTPTGTQ TPTTTPITTT TTVTPTPTPT GTQTPTTTPI TTTTTVTPTP TPTGTQTPTT TPITTTTTVT PTPTPTGTQT PTTTPITTTT
TVTPTPTPTG TQTPTTTPIT TTTTVTPTPT PTGTQTPTTT PITTTTTVTP TPTPTGTQTP TTTPITTTTT VTPTPTPTGT QTPTTTPITT TTTVTPTPTP
TGTQTPTTTP ITTTTTVTPT PTPTGTQTPT TTPITTTTTV TPTPTPTGTQ TPTTTPITTT TTVTPTPTPT GTQTPTTTPI TTTTTVTPTP TPTGTQTPTT
TPITTTTTVT PTPTPTGTQT PTTTPITTTT TVTPTPTPTG TQTPTTTPIT TTTTVTPTPT PTGTQTPTTT PITTTTTVTP TPTPTGTQTP TTTPITTTTT
VTPTPTPTGT QTPTTTPITT TTTVTPTPTP TGTQTPTTTP ITTTTTVTPT PTPTGTQTPT TTPITTTTTV TPTPTPTGTQ TPTTTPITTT TTVTPTPTPT
GTQTPTTTPI TTTTTVTPTP TPTGTQTPTT TPITTTTTVT PTPTPTGTQT PTTTPITTTT TVTPTPTPTG TQTPTTTPIT TTTTVTPTPT PTGTQTPTTT
PITTTTTVTP TPTPTGTQTP TTTPITTTTT VTPTPTPTGT QTPTTTPITT TTTVTPTPTP TGTQTPTTTP ITTTTTVTPT PTPTGTQTPT TTPITTTTTV
TPTPTPTGTQ TPTTTPITTT TTVTPTPTPT GTQTPTTTPI TTTTTVTPTP TPTGTQTPTT TPITTTTTVT PTPTPTGTQT PTTTPITTTT TVTPTPTPTG
TQTPTTTPIT TTTTVTPTPT PTGTQTPTTT PITTTTTVTP TPTPTGTQTP TTTPITTTTT VTPTPTPTGT QTPTTTPITT TTTVTPTPTP TGTQTGPPTH
TSTAPIAELT TSNPPPESST PQTSRSTSSP LTESTTLLST LPPAIEMTST APPSTPTAPT TTSGGHTLSP PPSTTTSPPG TPTRGTTTGS SSAPTPSTVQ
TTTTSAWTPT PTPLSTPSII RTTGLRPYPS SVLICCVLND TYYAPGEEVY NGTYGDTCYF VNCSLSCTLE FYNWSCPSTP SPTPTPSKST PTPSKPSSTP
SKPTPGTKPP ECPDFDPPRQ ENETWWLCDC FMATCKYNNT VEIVKVECEP PPMPTCSNGL QPVRVEDPDG CCWHWECDCY CTGWGDPHYV TFDGLYYSYQ
GNCTYVLVEE ISPSVDNFGV YIDNYHCDPN DKVSCPRTLI VRHETQEVLI KTVHMMPMQV QVQVNRQAVA LPYKKYGLEV YQSGINYVVD IPELGVLVSY
NGLSFSVRLP YHRFGNNTKG QCGTCTNTTS DDCILPSGEI VSNCEAAADQ WLVNDPSKPH CPHSSSTTKR PAVTVPGGGK TTPHKDCTPS PLCQLIKDSL
FAQCHALVPP QHYYDACVFD SCFMPGSSLE CASLQAYAAL CAQQNICLDW RNHTHGACLV ECPSHREYQA CGPAEEPTCK SSSSQQNNTV LVEGCFCPEG
TMNYAPGFDV CVKTCGCVGP DNVPREFGEH FEFDCKNCVC LEGGSGIICQ PKRCSQKPVT HCVEDGTYLA TEVNPADTCC NITVCKCNTS LCKEKPSVCP
LGFEVKSKMV PGRCCPFYWC ESKGVCVHGN AEYQPGSPVY SSKCQDCVCT DKVDNNTLLN VIACTHVPCN TSCSPGFELM EAPGECCKKC EQTHCIIKRP
DNQHVILKPG DFKSDPKNNC TFFSCVKIHN QLISSVSNIT CPNFDASICI PGSITFMPNG CCKTCTPRNE TRVPCSTVPV TTEVSYAGCT KTVLMNHCSG
SCGTFVMYSA KAQALDHSCS CCKEEKTSQR EVVLSCPNGG SLTHTYTHIE SCQCQDTVCG LPTGTSRRAR RSPRHLGSG
MUC-5AC:
MSVGRRKLAL LWALALALAC TRHTGHAQDG SSESSYKHHP ALSPIARGPS GVPLRGATVF PSLRTIPVVR ASNPAHNGRV CSTWGSFHYK TFDGDVFRFP
GLCNYVFSEH CGAAYEDFNI QLRRSQESAA PTLSRVLMKV DGVVIQLTKG SVLVNGHPVL LPFSQSGVLI QQSSSYTKVE ARLGLVLMWN HDDSLLLELD
TKYANKTCGL CGDFNGMPVV SELLSHNTKL TPMEFGNLQK MDDPTEQCQD PVPEPPRNCS TGFGICEELL HGQLFSGCVA LVDVGSYLEA CRQDLCFCED
TDLLSCVCHT LAEYSRQCTH AGGLPQDWRG PDFCPQKCPN NMQYHECRSP CADTCSNQEH SRACEDHCVA GCFCPEGTVL DDIGQTGCVP VSKCACVYNG
AAYAPGATYS TDCTNCTCSG GRWSCQEVPC PDTCSVLGGA HFSTFDGKQY TVHGDCSYVL TKPCDSSAFT VLAELRRCGL TDSETCLKSV TLSLDGAQTV
VVIKASGEVF LNQIYTQLPI SAANVTIFRP STFFIIAQTS LGLQLNLQPV PTMQLFMQLA PKLRGQTCGL CGNFNSIQAD DFRTLSGVVE ATAAAFFNTF
KTQAACPNIR NSFEDPCSLS VENEKYAQHW CSQLTDADGP FGRCHAAVKP GTYYSNCVFD TCNCERSEDC LCAALSSYVH ACAAKGVQLG GWRDGVCTKP
MTTCPKSMTY HYHVSTCQPT CRSLSEGDIT CSVGFIPVDG CICPKGTFLD DTGKCVQASN CPCYHRGSMI PNGESVHDSG AICTCTHGKL SCIGGQAPAP
VCAAPMVFFD CRNATPGDTG AGCQKSCHTL DMTCYSPQCV PGCVCPDGLV ADGEGGCITA EDCPCVHNEA SYRAGQTIRV GCNTCTCDSR MWRCTDDPCL
ATCAVYGDGH YLTFDGQSYS FNGDCEYTLV QNHCGGKDST QDSFRVVTEN VPCGTTGTTC SKAIKIFLGG FELKLSHGKV EVIGTDESQE VPYTIQQMGI
YLVVDTDIGL VLLWDKKTSI FINLSPEFKG RVCGLCGNFD DIAVNDFATR SRSVVGDVLE FGNSWKLSPS CPDALAPKDP CTANPFRKSW AQKQCSILHG
PTFAACHAHV EPARYYEACV NDACACDSGG DCECFCTAVA AYAQACHEVG LCVCLRTPSI CPLFCDYYNP EGQCEWHYQP CGVPCLRTCR NPRGDCLRDV
RGLEGCYPKC PPEAPIFDED KMQCVATCPT PPLPPRCHVH GKSYRPGAVV PSDKNCQSCL CTERGVECTY KAEACVCTYN GQRFHPGDVI YHTTDGTGGC
ISARCGANGT IERRVYPCSP TTPVPPTTFS FSTPPLVVSS THTPSNGPSS AHTGPPSSAW PTTAGTSPRT RLPTASASLP PVCGEKCLWS PWMDVSRPGR
GTDSGDFDTL ENLRAHGYRV CESPRSVECR AEDAPGVPLR ALGQRVQCSP DVGLTCRNRE QASGLCYNYQ IRVQCCTPLP CSTSSSPAQT TPPTTSKTTE
TRASGSSAPS STPGTVSLST ARTTPAPGTA TSVKKTFSTP SPPPVPATST SSMSTTAPGT SVVSSKPTPT EPSTSSCLQE LCTWTEWIDG SYPAPGINGG
DFDTFQNLRD EGYTFCESPR SVQCRAESFP NTPLADLGQD VICSHTEGLI CLNKNQLPPI CYNYEIRIQC CETVNVCRDI TRLPKTVATT RPTPHPTGAQ
TQTTFTTHMP SASTEQPTAT SRGGPTATSV TQGTHTTLVT RNCHPRCTWT KWFDVDFPSP GPHGGDKETY NNIIRSGEKI CRRPEEITRV QCRAKSHPEV
SIEHLGQVVQ CSREEGLVCR NQDQQGPFKM CLNYEVRVLC CETPRGCHMT STPGSTSSSP AQTTPSTTSK TTEIQASGSS APSSTPGTVS LSTARTTPAP
GTATSVKKTF STPSPPPVPA TSTSSMSTTA PGTSVVSSKP TPTEPSTSSC LQELCTWTEW IDGSYPAPGI NGGDFDTFQN LRDEGYTFCE SPRSVQCRAE
SFPNTPLGRL GQDVICSHTE GLICLNKNQL PPICYNYEIR IQCCETVNVC RDITRPPKTV ATTRPTPHPT GAQTQTTFTT HMPSASTEQP TATSRGGPTA
TSVTQGTHTT PVTRNCHPRC TWTTWFDVDF PSPGPHGGDK ETYNNIIRSG EKICRRPEEI TRLQCRAKSH PEVSIEHLGQ VVQCSREEGL VCRNQDQQGP
FKMCLNIEVR VLCCETPKGC PVTSTPVTAP STPSGRAISP TQSTSSWQKS RTTTLVTTST TSTPQTSTTY AHTTSTTSAP TARTTSAPTT STTSVPTTST
ISGPKTTPSP VPTTSTTSAA TTSTISAPTT STTSVPGTTP SPVLTTSTTS APTTRTTSAS PAGTTSGPGN TPSPVPTTST ISAPTTSITS APTTSTTSAP
TSSTTSGPGT TPSPVPTTSI TSAPTTSTTS APTTSTTSAP TTSTTSAPTT STTSAPTTST TSTPTSSTTS TPQTSTTSAS TTSITSGPGT TPSPVPTTST
TSAPTTSTTS AATTSTISAP TTSTTSAPTT STTSASTASK TSGLGTTPSP IPTTSTTSPP TTSTTSASTA SKTSGPGTTP SPVPTTSTIF APRTSTTSAS
TTSTTPGPGT TPSPVPTTST ASVSKTSTSH VSISKTTHSQ PVTRDCHLRC TWTKWFDVDF PSPGPHGGDK ETYNNIIRSG EKICRRPEEI TRLQCRAESH
PEVSIEHLGQ VVQCSREEGL VCRNQDQQGP FKMCLNYEVR VLCCETPKGC PVTSTPVTAP STPSGRATSP TQSTSSWQKS RTTTLVTTST TSTPQTSTTS
APTTSTTSAP TTSTTSAPTT STTSTPQTSI SSAPTSSTTS APTSSTISAR TTSIISAPTT STTSSPTTST TSATTTSTTS APTSSTTSTP QTSKTSAATS
STTSSSGTTP SPVTTTSTAS VSKTSTSHVS VSKTTHSQPV TRDCHPRCTW TKWFDVDFPS PGPHGGDKET YNNIIRSGEK ICRRPQEITR LQCRAKSHPE
VSIEHLGQVV QCSREEGLVC RNQDQQGPFK MCLNYEVRVL CCETPKGCPV TSTSVTAPSP LVGEPPAQTQ STSSWQKSRT TTLVTSSITS TTQTSTTSAP
TTSTTPASIP STTSAPTTST TSAPTTSTTS APTTSTTSTP QTTTSSAPTS STTSAPTTST ISAPTTSTIS APTTSTTSAP TASTTSAPTS TSSAPTTNTT
SAPTTSTTSA PITSTISAPT TSTTSTPQTS TISSPTTSTT PTPQTSTTSS PTTSTTSAPT TSTTSAPTTS TTSTPQTSIS SAPTSSTTSA PTASTISAPT
TSTTSFHTTS TTSPPTSSTS STPQTSKTSA ATSSTTSGSG TTPSPVPTTS TASVSKTSTS HVSVSKTTHS QPVTRDCHPR CTWTKWFDVD FPSPGPHGGD
KETYNNIIRS GEKICRRPEE ITRLQCRAES HPEVSIEHLG QVVQCSREEG LVCRNQDQQG PFKMCLNYEV RVLCCETPKG CPVTSTPVTA PSTPSGRATS
PTQSTSSWQK SRTTTLVTTS TTSTPQTSTT SAPTTSTIPA STPSTTSAPT TSTTSAPTTS TTSAPTHRTT SGPTTSTTLA PTTSTTSAPT TSTNSAPTTS
TISASTTSTI SAPTTSTISS PTSSTTSTPQ TSKTSAATSS TTSGSGTTPS PVPTTSTTSA STTSTTSAPT TSTTSGPGTT PSPVPSTSIT SAATTSTTSA
PTTRTTSAPT SSMTSGPGTT PSPVPTTSTT SAPTTSTTSG PGTTPSPVPT TSTTSAPITS TTSGPGSTPS PVPTTSTTSA PTTSTTSAST ASTTSGPTTS
TTSASTTSTI SPLTTSTTSA PITSMPSGPG TTPSPVPTTS TTSAPTTSTT SGPGTTPSPV PTTSTTSAPT TSTTSASTAS TTSGPGTTPS PVPTTSTTSA
PTTSTTSAST ASTTSGPGTS LSPVPTTSTT SAPTTSTTSG PGTTPSPVPT TSTTSAPTTS TTSGPGTTPS PVPTTSTTPV SKTSTSHLSV SKTTHSQPVT
SDCHPLCAWT KWFDVDFPSP GPHGGDKETY NNIIRSGEKI CRRPEEITRL QCRAESHPEV NIEHLGQVVQ CSREEGLVCR NQDQQGPFKM CLNYEVRVLC
CETPRGCPVT SVTPYGTSPT NALYPSLSTS MVSASVASTS VASSSVASSS VAYSTQTCFC NVADRLYPAG STIYRHRDLA GHCYYALCSQ DCQVVRGVDS
DCPSTTLPPA PATSPSISTS EPVTELGCPN AVPPRKKGET WATPNCSEAT CEGNNVISLS PRTCPRVEKP TCANGYPAVK VADQDGCCHH YQCQCVCSGW
GDPHYITFDG TYYTFLDNCT YVLVQQIVPV YGHFRVLVDN YFCGAEDGLS CPRSIILEYH QDRVVLTRKP VHGVMTNEII FNNKVVSPGF RKNGIVVSRI
GVKMYATIPE LGVQVMFSGL IFSVEVPFSK FANNTEGQCG TCTNDRKDEC RTPRGTVVAS CSEMSGLWNV SIPDQPACHR PHPTPTTVGP TTVGSTTVGP
TTVGSTTVGP TTPPAPCLPS PICHLILSKV FEPCHTVIPP LLFYEGCVFD RCHMTDLDVV CSSLELYAAL CASHDICIDW RGRTGHMCPF TCPADKVYQP
CGPSNPSYCY GNDSASLGAL REAGPITEGC FCPEGMTLFS TSAQVCVPTG CPRCLGPHGE PVKVGHTVGM DCQECTCEAA TWTLTCRPKL CPLPPACPLP
GFVPVPAAPQ AGQCCPQYSC ACNTSRCPAP VGCPEGARAI PTYQEGACCP VQNCSWTVCS INGTLYQPGA VVSSSLCETC RCELPGGPPS DAFVVSCETQ
ICNTHCPVGF EYQEQSGQCC GTCVQVACVT NTSKSPAHLF YPGETWSDAG NHCVTHQCEK HQDGLVVVTT KKACPPLSCS LDEARMSKDG CCRFCPLPPP
PYQNQSTCAV YHRSLIIQQQ GCSSSEPVRL AYCRGNCGDS SSMYSLEGNT VEHRCQCCQE LRTSLRNVTL HCTDGSSRAF SYTEVEECGC MGRRCPAPGD
TQHSEEAEPE PSQEAESGSW ERGVPVSPMH
MUC-6:
MVQRWLLLSC CGALLSAGLA NTSYTSPGLQ RLKDSPQTAP DKGQCSTWGA GHFSTFDHHV YDFSGTCNYI FAATCKDAFP TFSVQLRRGP DGSISRIIVE
LGASVVTVSE AIISVKDIGV ISLPYTSNGL QITPFGQSVR LVAKQLELEL EVVWGPDSHL MVLVERKYMG QMCGLCGNFD GKVTNEFVSE EGKFLEPHKF
AALQKLDDPG EICTFQDIPS THVRQAQHAR ICTQLLTLVA PECSVSKEPF VLSCQADVAA APQPGPQNSS CATLSEYSRQ CSMVGQPVRR WRSPGLCSVG
QCPANQVYQE CGSACVKTCS NPQHSCSSSC TFGCFCPEGT VLNDLSNNHT CVPVTQCPCV LHGAMYAPGE VTIAACQTCR CTLGRWVCTE RPCPGHCSLE
GGSFVTTFDA RPYRFHGTCT YILLQSPQLP EDGALMAVYD KSGVSHSETS LVAVVYLSRQ DKIVISQDEV VTNNGEAKWL PYKTRNITVF RQTSTHLQMA
TSFGLELVVQ LRPIFQAYVT VGPQFRGQTR GLCGNFNGDT TDDFTTSMGI AEGTASLFVD SWRAGNCPAA LERETDPCSM SQLNKVCAET HCSMLLRTGT
VFERCHATVN PAPFYKRCVY QACNYEETFP HICAALGDYV HACSLRGVLL WGWRSSVDNC TIPCTGNTTF SYNSQACERT CLSLSDRATE CHHSAVPVDG
CNCPDGTYLN QKGECVRKAQ CPCILEGYKF ILAEQSTVIN GITCHCINGR LSCPQRPQMF LASCQAPKTF KSCSQSSENK FGAACAPTCQ MLATGVACVP
TKCEPGCVCA EGLYENADGQ CVPPEECPCE FSGVSYPGGA ELHTDCRTCS CSRGRWACQQ GTHCPSTCTL YGEGHVITFD GQRFVFDGNC EYILATDVCG
VNDSQPTFKI LTENVICGNS GVTCSRAIKI FLGGLSVVLA DRNYTVTGEE PHVQLGVTPG ALSLVVDISI PGRYNLTLIW NRHMTILIRI ARASQDPLCG
LCGNFNGNMK DDFETRSRYV ASSELELVNS WKESPLCGDV SFVTDPCSLN AFRRSWAERK CSVINSQTFA TCHSKVYHLP YYEACVRDAC GCDSGGDCEC
LCDAVAAYAQ ACLDKGVCVD WRTPAFCPIY CGFYNTHTQD GHGEYQYTQE ANCTWHYQPC LCPSQPQSVP GSNIEGCYNC SQDEYFDHEE GVCVPCMPPT
TPQPPTTPQL PTTGSRPTQV WPMTGTSTTI GLLSSTGPSP SSNHTPASPT QTPLLPATLT SSKPTASSGE PPRPTTAVTP QATSGLPPTA TLRSTATKPT
VTQATTRATA STASPATTST AQSTTRTTMT LPTPATSGTS PTLPKSTNQE LPGTTATQTT GPRPTPASTT GPTTPQPGQP TRPTATETTQ TRTTTEYTTP
QTPHTTHSPP TAGSPVPSTG PVTATSFHAT TTYPTPSHPE TTLPTHVPPF STSLVTPSTH TVITPTHAQM ATSASNHSAP TGTIPPPTTL KATGSTHTAP
PITPTTSGTS QAHSSFSTNK TPTSLHSHTS STHHPEVTPT STTTITPNPT STRTRTPVAH TNSATSSRPP PPFTTHSPPT GSSPFSSTGP MTATSFKTTT
TYPTPSHPQT TLPTHVPPFS TSLVTPSTHT VITPTHAQMA TSASIHSMPT GTIPPPTTLK ATGSTHTAPT MTLTTSGTSQ ALSSLNTAKT STSLHSHTSS
THHAEATSTS TTNITPNPTS TGTPPMTVTT SGTSQSRSSF STAKTSTSLH SHTSSTHHPE VTSTSTTSIT PNHTSTGTRT PVAHTTSATS SRLPTPFTTH
SPPTGTTPIS STGPVTATSF QTTTTYPTPS HPHTTLPTHV PSFSTSLVTP STHTVIIPTH TQMATSASIH SMPTGTIPPP TTIKATGSTH TAPPMTPTTS
GTSQSPSSFS TAKTSTSLPY HTSSTHHPEV TPTSTTNITP KHTSTGTRTP VAHTTSASSS RLPTPFTTHS PPTGSSPFSS TGPMTATSFQ TTTTYPTPSH
PQTTLPTHVP PFSTSLVTPS THTVIITTHT QMATSASIHS TPTGTVPPPT TLKATGSTHT APPMTVTTSG TSQTHSSFST ATASSSFISS SSWLPQNSSS
RPPSSPITTQ LPHLSSATTP VSTTNQLSSS FSPSPSAPST VSSYVPSSHS SPQTSSPSVG TSSSFVSAPV HSTTLSSGSH SSLSTHPTTA SVSASPLFPS
SPAASTTIRA TLPHTISSPF TLSALLPIST VTVSPTPSSH LASSTIAFPS TPRTTASTHT APAFSSQSTT SRSTSLTTRV PTSGFVSLTS GVTGIPTSPV
TNLTTRHPGP TLSPTTRFLT SSLTAHGSTP ASAPVSSLGT PTPTSPGVCS VREQQEEITF KGCMANVTVT RCEGACISAA SFNIITQQVD ARCSCCRPLH
SYEQQLELPC PDPSTPGRRL VLTLQVFSHC VCSSVACGD
|
| Multiple myeloma oncogene-1(MUM 1) (別名: Interferon regulatory factor 4:IRF4) | |
|---|---|
![]() MUM 1 LN X400(右:拡大) |
MUM 1(451aa, 約50kDa,Gene:MUM1/IRF4, 6p25-p23, 14446bp)は、 t(6;14)(p25;q32)転座を有する多発性骨髄腫から同定されたInterferon調節因子(IFN-regulatory factor)ファミリーのひとつ(IRF4)。JAK-STATシグナル伝達系における転写促進因子であり、 Interferon Consensus Sequence binding protein for Activated T cells(ICSAT)とかPU.1 Interaction Partner(PIP)などとも呼ばれる。リンパ節胚中心のbcl-6陽性細胞から形質細胞などCD138陽性細胞までの分化段階に発現がみられ、diffuse large B cell lymphoma(DLBCL)などB細胞腫瘍の分類に利用されるが、CD4陽性の活性T細胞やホジキン病のRS細胞などにも発現が認められている。ホルマリン固定組織(FFPE)では要熱処理。 |
MNLEGGGRGG EFGMSAVSCG NGKLRQWLID QIDSGKYPGL VWENEEKSIF RIQWKHAGKQ DYNREEDAAL FKAWALFKGK FREGIDKPGP PTWKTRLRCA
LNKSNDFEEL VERSQLDISD PYKVYRIVPE GAKKGAKQLT LEDPQMSMSH PYTMTTPYPS LPAQQVHNYM MPPLDRSWRD YVPDQPHPEI PYQCPMTFGP
RGHHWQGPAC ENGCQVTGTF YACAPPESQA PGVPTEPSIR SAEALAFSDC RLHICLYYRE ILVKELTTSS PEGCRISHGH TYDASNLDQV LFPYPEDNGQ
RKNIEKLLSH LERGVVLWMA PDGLYAKRLC QSRIYWDGPL ALCNDRPNKL ERDQTCKLFD TQQFLSELQA FAHHGRSLPR FQVTLCFGEE FPDPQRQRKL
ITAHVEPLLA RQLYYFAQQN SGHFLRGYDL PEHISNPEDY HRSIRHSSIQ E (Mus:93%)
|
![]() MBP 神経横断 X400 ![]() 【参考】Toluidine blue染色 X400 |
髄鞘(Myelin sheath)は脂質に富んだ膜が密な層構造を形成して神経軸索(Axon)を幾重にも取り囲んだもので、中枢神経系では乏突起膠細胞(Oligodendrocyte)により、末梢ではSchwann細胞により形成される。構成成分の70%近くが脂質であるため親水性イオンの通過を妨げ電気的絶縁効果を持つと共に軸索上のイオンチャネルをその切れ目であるランヴィエ絞輪に集積させている。ミエリン塩基性蛋白(MBP)は、Myelin proteolipid protein(PLP)と共に中枢神経系ミエリンの主要な構成蛋白であり、Myelin A1 protein、 Myelin membrane encephalitogenic proteinとも呼ばれる304aa,33kDaほど(スプライシングによるisoformあり)のホモ二量体構造をとるリポ蛋白(Gene:18q23;MBP,7exon)である。 なお、多発性硬化症(Multiple sclerosis:MS)では髄鞘が破壊され髄液中のMBPが増加することが知られている。左図はホルマリン固定脳組織で、熱処理をしている。軸索の走行方向に対して縦断面では線状に、輪断面では輪状に反応しておりLFB染色やToluidine-blue染色に代わり得る。(電顕用の準超薄切片と混同されているが、特別な処理をせず通常の方法で処理されたホルマリン固定−パラフィン切片でTluidine-blue染色をしてもミエリンは左図のようには綺麗に染まらない。)ホルマリン固定組織では反応が損なわれやすく熱処理が必要。 (抗体をほとんど使い切ったので削除しました) |
MGNHAGKREL NAEKASTNSE TNRGESEKKR NLGELSRTTS EDNEVFGEAD ANQNNGTSSQ DTAVTDSKRT ADPKNAWQDA HPADPGSRPH LIRLFSRDAP
GREDNTFKDR PSESDELQTI QEDSAATSES LDVMASQKRP SQRHGSKYLA TASTMDHARH GFLPRHRDTG ILDSIGRFFG GDRGAPKRGS GKDSHHPART
AHYGSLPQKS HGRTQDENPV VHFFKNIVTP RTPPPSQGKG RGLSLSRFSW GAEGQRPGFG YGGRASDYKS AHKGFKGVDA QGTLSKIFKL GGRDSRSGSP
MARR
|
| Myeloperoxidase (MPO) | |
|---|---|
![]() MPO 骨髄 ×400 |
Myeloperoxidase(MPO)は過酸化水素と塩素イオンから次亜塩素酸ラジカルを発生させる反応の触媒となる酵素(EC1.11.1.7)で、その主な生理的意義は生体内に生じる過酸化水素を基質として分解することと生成されるラジカルの殺菌作用による生体の防御であるが、他にも様々な生体物質の代謝に関係しているらしい。また生成されるラジカルは組織障害性をも持つ。 17q23.1上の遺伝子に支配されるヘム蛋白で、特に好中球では各2本の軽鎖(13.5kD)・重鎖(59kD)から成る四量体を形成し細胞質顆粒のmajor component(細胞内蛋白の5%を占めるといわれる)として強く発現する(これに比べ単球はやや弱い)が、骨髄系細胞に幼弱な段階から一貫して発現しており骨髄生検での細胞鑑別に利用される。ホルマリン固定組織でも可能で、左図のように脱灰処理をした組織でもやや反応が弱いが細胞の鑑別には充分耐える。ただし常染色体劣性遺伝であるMPO欠損症では陰性か、極めて弱い反応しかみられない。 なお、自己抗体である抗好中球細胞質抗体(ANCA:Anti-neutrophil cytoplasmic autoantibody)のうち、p-ANCAの抗原はこのMPOである。 |
MGVPFFSSLR CMVDLGPCWA GGLTAEMKLL LALAGLLAIL ATPQPSEGAA PAVLGEVDTS LVLSSMEEAK QLVDKAYKER RESIKQRLRS GSASPMELLS
YFKQPVAATR TAVRAADYLH VALDLLERKL RSLWRRPFNV TDVLTPAQLN VLSKSSGCAY QDVGVTCPEQ DKYRTITGMC NNRRSPTLGA SNRAFVRWLP
AEYEDGFSLP YGWTPGVKRN GFPVALARAV SNEIVRFPTD QLTPDQERSL MFMQWGQLLD HDLDFTPEPA ARASFVTGVN CETSCVQQPP CFPLKIPPND
PRIKNQADCI PFFRSCPACP GSNITIRNQI NALTSFVDAS MVYGSEEPLA RNLRNMSNQL GLLAVNQRFQ DNGRALLPFD NLHDDPCLLT NRSARIPCFL
AGDTRSSEMP ELTSMHTLLL REHNRLATEL KSLNPRWDGE RLYQEARKIV GAMVQIITYR DYLPLVLGPT AMRKYLPTYR SYNDSVDPRI ANVFTNAFRY
GHTLIQPFMF RLDNRYQPME PNPRVPLSRV FFASWRVVLE GGIDPILRGL MATPAKLNRQ NQIAVDEIRE RLFEQVMRIG LDLPALNMQR SRDHGLPGYN
AWRRFCGLPQ PETVGQLGTV LRNLKLARKL MEQYGTPNNI DIWMGGVSEP LKRKGRVGPL LACIIGTQFR KLRDGDRFWW ENEGVFSMQQ RQALAQISLP
RIICDNTGIT TVSKNNIFMS NSYPRDFVNC STLPALNLAS WREAS (165-745)
|
| Myoblast determination protein 1 (MyoD1,MYOD,Myod-1) (別名:Myogenic differentiation 1,Myogenic factor 3:Myf-3,MYF3,PUM,Rhabdomyosarcoma marker) | |
|---|---|
![]() MyoD1 横紋筋肉腫×400 |
MyoD1(Gene:11p15.4,2.52kb,3 Exon)は塩基性Helix-loop-helix(bHLH)モチーフと呼ばれる構造(下記の1次配列の122-161)を持ち、bHLH family のMyogenic factor subfamilyに属する319aa、約34.5 kDの蛋白。線維芽細胞から筋芽細胞への分化の早期に発現する筋原性の転写因子で、胎生期の骨格筋、心筋細胞の核にみられるほか、筋組織の損傷修復にも不可欠なものといわれる。病理学的には横紋筋肉腫の診断マーカーとして用いられ、ホルマリン固定組織でも熱処理により核内に反応する。 |
MELLSPPLRD VDLTAPDGSL CSFATTDDFY DDPCFDSPDL RFFEDLDPRL MHVGALLKPE EHSHFPAAVH PAPGAREDEH VRAPSGHHQA GRCLLWACKA
CKRKTTNADR RKAATMRERR RLSKVNEAFE TLKRCTSSNP NQRLPKVEIL RNAIRYIEGL QALLRDQDAA PPGAAAFYAP GPLPPGRGGE HYSGDSDASS
PRSNCSDGMM DYSGPPSGAR RRNCYEGAYY NEAPSEPRPG KSAAVSSLDY LSSIVERIST ESPAAPALLL ADVPSESPPR RQEAAAPSEG ESSGDPTQSP
DAAPQCPAGA NPNPIYQVL (Can:89.9%,Rat:84.7%,Mus:85.3%,Gal:72.7%)
|
| Myoglobin | |
|---|---|
![]() Myoglobin 横紋筋肉腫×400 |
Myoglobinは22q13.1に位置するMB 遺伝子に支配される低分子量(17,200)の蛋白。ヘモグロビンと同様に鉄イオンを含むヘム蛋白質で、骨格筋・心筋の筋細胞内に存在し血中の酸素を細胞内に運搬・貯蔵する機能を担っている。ホルマリン固定組織でも使用可能だが、長期固定により反応が減弱したり周囲に拡散するようなこともある。主に横紋筋由来の腫瘍の鑑別に使用されるが、分化の低いものでは陰性のことがある。また腫瘍の場合は陽性の場合でも一部の細胞のみ反応したり、反応が弱いこともあるので、例えばActin HHF35やSarcomeric actin(Sr-1)、MyoD1、Troponin、SERCAなどとの併用が望ましい。 (Myoglobinは比較的肉腫での明瞭な陽性例は案外少ない。それに対してActinは分化が低くても陽性になりやすい。) |
GLSDGEWQLV LNVWGKVEAD IPGHGQEVLI RLFKGHPETL EKFDKFKHLK SEDEMKASED LKKHGATVLT ALGGILKKKG HHEAEIKPLA QSHATKHKIP
VKYLEFISEC IIQVLQSKHP GDFGADAQGA MNKALELFRK DMASNYKELG FQG
|
| Myosin | |
|---|---|
| Myosinは筋肉を構成する主要な蛋白として骨格筋から単離されたが、筋繊維に多量に存在しその収縮に関与するMyosin Uの他に様々ものがあり、細胞内の物質輸送、細胞の分裂や運動など多様な機能を持つとともに細菌から動植物まで広く分布している。その機能とアミノ酸構造からローマ数字表記で19のクラスに分類されているが分子量は種により異なる。基本的構造として重鎖と軽鎖からなり、Ca++依存性に軽鎖のリン酸化酵素(myosin light chain kinase:MLCK)が活性化されると自身がリン酸化されてATPを加水分解しつつアクチン線維上を移動するモーター蛋白または分子モーターとして知られる。 | |
![]() SMMHC 乳腺筋上皮 ×400 |
Myosin II は、2本の重鎖と必須軽鎖(Essential light chain:ELC)、調節軽鎖(Regulatory light chain:RLC)各2本からなる6量体をしており、平滑筋型、骨格筋型などのisoformがある。heavy chain 11(MYH11)と呼ばれる平滑筋型重鎖(SMMHC,Gene:16p13.13-13.12;MYH11,29 Exon)は 1972aa,約230kD、球状の「頭部」と線維状の「尾部」からなり、2分子が互いに尾部を絡ませた2つの精子のような恰好をしている。頭部はActin結合部やATP結合部を含み、首を振るように動いて筋肉を収縮させるのでモーター蛋白あるいは分子モーターと呼ばれている。ホルマリン固定組織:要熱処理。 (現在、リスト非掲載です) |
MAQKGQLSDD EKFLFVDKNF INSPVAQADW AAKRLVWVPS EKQGFEAASI KEEKGDEVVV ELVENGKKVT VGKDDIQKMN PPKFSKVEDM AELTCLNEAS
VLHNLRERYF SGLIYTYSGL FCVVVNPYKH LPIYSEKIVD MYKGKKRHEM PPHIYAIADT AYRSMLQDRE DQSILCTGES GAGKTENTKK VIQYLAVVAS
SHKGKKDTSI TGELEKQLLQ ANPILEAFGN AKTVKNDNSS RFGKFIRINF DVTGYIVGAN IETYLLEKSR AIRQARDERT FHIFYYMIAG AKEKMRSDLL
LEGFNNYTFL SNGFVPIPAA QDDEMFQETV EAMAIMGFSE EEQLSILKVV SSVLQLGNIV FKKERNTDQA SMPDNTAAQK VCHLMGINVT DFTRSILTPR
IKVGRDVVQK AQTKEQADFA VEALAKATYE RLFRWILTRV NKALDKTHRQ GASFLGILDI AGFEIFEVNS FEQLCINYTN EKLQQLFNHT MFILEQEEYQ
REGIEWNFID FGLDLQPCIE LIERPNNPPG VLALLDEECW FPKATDKSFV EKLCTEQGSH PKFQKPKQLK DKTEFSIIHY AGKVDYNASA WLTKNMDPLN
DNVTSLLNAS SDKFVADLWK DVDRIVGLDQ MAKMTESSLP SASKTKKGMF RTVGQLYKEQ LGKLMTTLRN TTPNFVRCII PNHEKRSGKL DAFLVLEQLR
CNGVLEGIRI CRQGFPNRIV FQEFRQRYEI LAANAIPKGF MDGKQACILM IKALELDPNL YRIGQSKIFF RTGVLAHLEE ERDLKITDVI MAFQAMCRGY
LARKAFAKRQ QQLTAMKVIQ RNCAAYLKLR NWQWWRLFTK VKPLLQVTRQ EEEMQAKEDE LQKTKERQQK AENELKELEQ KHSQLTEEKN LLQEQLQAET
ELYAEAEEMR VRLAAKKQEL EEILHEMEAR LEEEEDRGQQ LQAERKKMAQ QMLDLEEQLE EEEAARQKLQ LEKVTAEAKI KKLEDEILVM DDQNNKLSKE
RKLLEERISD LTTNLAEEEE KAKNLTKLKN KHESMISELE VRLKKEEKSR QELEKLKRKL EGDASDFHEQ IADLQAQIAE LKMQLAKKEE ELQAALARLD
DEIAQKNNAL KKIRELEGHI SDLQEDLDSE RAARNKAEKQ KRDLGEELEA LKTELEDTLD STATQQELRA KREQEVTVLK KALDEETRSH EAQVQEMRQK
HAQAVEELTE QLEQFKRAKA NLDKNKQTLE KENADLAGEL RVLGQAKQEV EHKKKKLEAQ VQELQSKCSD GERARAELND KVHKLQNEVE SVTGMLNEAE
GKAIKLAKDV ASLSSQLQDT QELLQEETRQ KLNVSTKLRQ LEEERNSLQD QLDEEMEAKQ NLERHISTLN IQLSDSKKKL QDFASTVEAL EEGKKRFQKE
IENLTQQYEE KAAAYDKLEK TKNRLQQELD DLVVDLDNQR QLVSNLEKKQ RKFDQLLAEE KNISSKYADE RDRAEAEARE KETKALSLAR ALEEALEAKE
ELERTNKMLK AEMEDLVSSK DDVGKNVHEL EKSKRALETQ MEEMKTQLEE LEDELQATED AKLRLEVNMQ ALKGQFERDL QARDEQNEEK RRQLQRQLHE
YETELEDERK QRALAAAAKK KLEGDLKDLE LQADSAIKGR EEAIKQLRKL QAQMKDFQRE LEDARASRDE IFATAKENEK KAKSLEADLM QLQEDLAAAE
RARKQADLEK EELAEELASS LSGRNALQDE KRRLEARIAQ LEEELEEEQG NMEAMSDRVR KATQQAEQLS NELATERSTA QKNESARQQL ERQNKELRSK
LHEMEGAVKS KFKSTIAALE AKIAQLEEQV EQEAREKQAA TKSLKQKDKK LKEILLQVED ERKMAEQYKE QAEKGNARVK QLKRQLEEAE EESQRINANR
RKLQRELDEA TESNEAMGRE VNALKSKLRR GNETSFVPSR RSGGRRVIEN ADGSEEETDT RDADFNGTKA SE (Rab:86%,Mus:84%,Gal:79%)
|




















































