G
最終更新日:2025.2.15
We are not selling antibodies. / Nous ne vendons pas d'anticorps. / Wir verkaufen keinen Antikorper.
No vendemos un anticuerpo. / 我們沒銷售抗體 / мы не продавать антило.
抗体は販売していません。
| Anti- | 抗体名 | 略称 | 別名 | HOST | CLONE名 | 適用 |
|---|---|---|---|---|---|---|
| Human | γ-Enolase | NSE | →Neuron Specific Enolase | Rabbit | Poly | P |
| Human | Gastric mucin,Human | HGM | Mouse | 45M1 | P* | |
| Human | Gastrin | Gas | Rabbit | Poly | P | |
| Human | GATA binding protein-3 | GATA3 | Mouse | L50-823 | P* | |
| Human | GCDFP 15 | GCDFP15 | →BRST-2,PIP, SABP, GP17 | Mouse | 23A3 | P |
| Human | Glial Fibrillary Acidic Protein | GFAP | Mouse | GA5 | P | |
| Human | Glucagon | Glu | Rabbit | Poly | P | |
| Human | Glucose transporter 1 (GLUT-1) | GLUT-1 | solute carrier family 2, SLC2A1 | Mouse | SPM498 | P* |
| Human | Glycophorin A | GPA | Sialoglycoprotein α, CD235a | Mouse | JC159 | P |
| Human | Glypican-3 | GPC3 | MXR7, OCI5 | Mouse | 1G12 | P* |
| Human | Granulocyte colony-stimulating factor |
G-CSF | CSF3 | Mouse | 4-12-2 | P* |
colony-stimulating factor |
||||||
| Human | Granzyme B | Mouse | 11F1 | P* | ||
| Green Fluorescent protein | GFP | Rabbit | Poly | P | ||
| Human | Gross cystic disease fluid protein-15 |
GCDFP15 | →BRST-2, PIP, SABP, GP17 | Mouse | 23A3 | P |
| Human | Growth hormone | hGH | Somatotropin,STH | Rabbit | Poly | P |
| ■ Glycosaminoglycan(GAG)■ | ||||||
| Chondroitin sulfate A | PG4S | →Proteoglycan ΔDi-4S | Mouse | 2B6 | P | |
| Chondroitin sulfate C | PG6S | →Proteoglycan ΔDi-6S | Mouse | 3B3 | P | |
| Hyaluronic acid binding protein | HABP | Bovin | P | |||
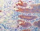
![]() Galectin-3 胃 X100 |
Galectinはβ-Galactoseに特異的結合性をもつ動物性レクチン(Galactose-specific lectinあるいはβ-galactoside-binding soluble lectin)で、脊椎動物をはじめ、線虫、昆虫など無脊椎動物にも広く分布する可溶性蛋白。哺乳類のGalectinは発見順に番号で呼ばれ現在14種類ほどが知られているが、 Galectin-3(Gene:14q21-q22)はCarbohydrate binding protein 35(CBP 35)、Laminin-binding protein (Lectin L-29)、Galactoside-binding protein(GALBP)、MAC-2 antigenなどとも呼ばれる約35kDaの蛋白で、基底膜のLamininとの結合や細胞間の接着のほか、発生、細胞の分化・形態形成にも関与していると考えられている。腫瘍では結腸癌や乳癌などで発現がみられ、腫瘍の基底膜下への浸潤、転移などにも関わっているとみられている。 Anaplastic large cell lymphoma(ALCL)では陽性だが、Hodgkinでは反応しないとも言われ、CD15,CD30陽性腫瘍の鑑別にも使われる。ホルマリン固定組織では要熱処理。主に細胞質に反応するが、膜結合部位を持たず核や細胞外にみられることもある。 (現在、リストより削除しています) |
MADNFSLHDA LSGSGNPNPQ GWPGAWGNQP AGAGGYPGAS YPGAYPGQAP PGAYPGQAPP GAYPGAPGAY PGAPAPGVYP GPPSGPGAYP SSGQPSATGA
YPATGPYGAP AGPLIVPYNL PLPGGVVPRM LITILGTVKP NANRIALDFQ RGNDVAFHFN PRFNENNRRV IVCNTKLDNN WGREERQSVF PFESGKPFKI
QVLVEPDHFK VAVNDAHLLQ YNHRVKKLNE ISKLGISGDI DLTSASYTMI (Can:86% Sus:88% Rab:86% Mus:86% Rat:83% Gal:68%)
|
![]() Galectin-9 乳癌 X400 |
Galectin-9(Gene:17q11.2 LGALS9 )は糖鎖結合ドメイン(CRD)を2つ持つtandem(二頭立て)galectinと呼ばれるGalectin familyのひとつで、1997年にマウス胎児の腎臓から発見された。Galectin-3がマクロファージ・単球の遊走因子であるのに対し、Galectin-9は好酸球の遊走因子として知られるほか、細胞の接着、樹状細胞の成熟、CD4陽性細胞のTh1細胞への誘導、活性化したT細胞や癌細胞のアポトーシス誘導などの機能をもつとされる。
なお、乳癌においてはGalectin-9の発現が遠隔転移や再発を抑制する予後因子となることが報告されている。(Irie A, Yamauchi A, et al. "Galectin-9 as a prognostic factor with antimetastatic potential in breast cancer":Clin Cancer Res.:11(8),2962-2968,2005) (現在、リストより削除しています) |
MAFSGSQAPY LSPAVPFSGT IQGGLQDGLQ ITVNGTVLSS SGTRFAVNFQ TGFSGNDIAF HFNPRFEDGG YVVCNTRQNG SWGPEERKTH MPFQKGMPFD
LCFLVQSSDF KVMVNGILFV QYFHRVPFHR VDTISVNGSV QLSYISFQNP RTVPVQPAFS TVPFSQPVCF PPRPRGRRQK PPGVWPANPA PITQTVIHTV
QSAPGQMFST PAIPPMMYPH PAYPMPFITT ILGGLYPSKS ILLSGTVLPS AQRFHINLCS GNHIAFHLNP RFDENAVVRN TQIDNSWGSE ERSLPRKMPF
VRGQSFSVWI LCEAHCLKVA VDGQHLFEYY HRLRNLPTIN RLEVGGDIQL THVQT
|
| Gastric mucin (Human gastric mucin:HGM) Mucin,HIK1083 (M-GGMC-1) MUC1 MUC2 MUC5AC MUC6 | ||||||||||||
|---|---|---|---|---|---|---|---|---|---|---|---|---|
| ||||||||||||
|
||||||||||||
| なお、胃粘膜上皮細胞の粘液発現については「病理医のための組織学の基礎-胃」井藤久雄、九嶋亮治、片岡勝子:「病理と臨床」;22(2),189-197,文光堂,2004に詳しく述べられている。 | ||||||||||||
Adenoma malignumとHIK1083 | |
![]() |
正常の子宮頚管腺は酸性粘液を分泌しているのに対して、子宮頚部の悪性腺腫(Adenoma malignum)ではHGMやGOS陽性粘液に混じてHIK1083やConA(III)陽性の中性粘液を分泌していることが報告されている。(Ishii et al.:"A new view of the so-called adenoma malignum of the uterine cervix":Virchows Archiv.432:315-322,1998) |
| Gastrin | |
|---|---|
![]() Gastrin 十二指腸 X400 |
十二指腸-胃幽門前庭部粘膜中のG cellで主として合成され胃液、膵液、インシュリン分泌促進、胆嚢収縮作用などをもつペプチドホルモン。(Gene:17q21)免疫学的陽性細胞は膵臓や下垂体にも存在すると言われ、これらの部位にガストリン産生腫瘍(Gastrinoma)が発生することがある。プロセッシングの経路により101aaのprogastrinからアミノ酸数の異なるG14,G71,G34などができる。またコレシストキニン(CCK/PZ)とはC末端側で一部相同性がある。ブアン固定のほかホルマリン固定に対しても安定した抗原である。 |
MQRLCVYVLI FALALAAFSE ASWKPRSQQP DAPLGTGANR DLELPWLEQQ GPASHHRRQL GPQGPPHLVA DPSKKQGPWL EEEEEAYGWM DFGRRSAEDE
N (76-92) (Can:88% Fel:94% Bos:88% Sus:94% Mus:86% Rat:92%)
|
| GATA binding protein-3 (GATA3) | |
|---|---|
![]() GATA3 乳癌 X400 |
GATA3はzinc finger(zf)と呼ばれるDNA結合部位を2つもつGATA familyに属する転写因子のひとつで、Gene:10p15、蛋白としておよそ50kDaほど。これらの zf が結合するDNAの部位が G-A-T-A、つまりグアニン-アデニン-チミン-アデニンの塩基配列部であるところから GATA 結合蛋白と呼ばれる。GATA転写因子群の特にGATA1〜GATA3は造血系および泌尿器系の発生と機能維持に関与しており、特にGATA3はT細胞の分化と胸腺の形成に重要とされ、Trans-Acting T-Cell-Specific Transcription Factor GATA-3とも呼ばれている。胎生期の乳腺・泌尿器にも発現しており、腫瘍では乳癌(特に小葉癌)や移行上皮癌で発現が高いとされている。ホルマリン固定組織では要熱処理。核内に反応する。 |
MEVTADQPRW VSHHHPAVLN GQHPDTHHPG LSHSYMDAAQ YPLPEEVDVL FNIDGQGNHV PPYYGNSVRA TVQRYPPTHH GSQVCRPPLL HGSLPWLDGG
KALGSHHTAS PWNLSPFSKT SIHHGSPGPL SVYPPASSSS LSGGHASPHL FTFPPTPPKD VSPDPSLSTP GSAGSARQDE KECLKYQVPL PDSMKLESSH
SRGSMTALGG ASSSTHHPIT TYPPYVPEYS SGLFPPSSLL GGSPTGFGCK SRPKARSSTG RECVNCGATS TPLWRRDGTG HYLCNACGLY HKMNGQNRPL
IKPKRRLSAA RRAGTSCANC QTTTTTLWRR NANGDPVCNA CGLYYKLHNI NRPLTMKKEG IQTRNRKMSS KSKKCKKVHD SLEDFPKNSS FNPAALSRHM
SSLSHISPFS HSSHMLTTPT PMHPPSSLSF GPHHPSSMVT AMG
|
| Glial Fibrillary Acidic Protein (GFAP) | |
|---|---|
![]() GFAP 大脳 X400(AEC発色) ![]() Rat Free floating section |
17q21上の遺伝子に支配されるグリア線維性酸性蛋白(GFAP)は、星状膠細胞などグリア細胞の細胞骨格を成す483aa、分子量約50kDaほどの中間径フィラメントで、通常細胞質内に可溶性の重合体として存在する安定な蛋白である。脳では星状膠細胞 astrocyteに主に含まれ、脳室上衣細胞も陽性となることがあるが、神経細胞や乏突起膠細胞、ミクログリアには通常反応しない。他、下垂体の細胞、末梢神経のシュワン細胞などにも含まれる。腫瘍ではAstrocytoma,Glioblastomaなどで陽性となるが、 Oligodendrocyte、神経節細胞などに由来する腫瘍にはほとんど反応しない。 (脳腫瘍の各組織型とGFAPとの関係は、中里洋一;「病理と臨床」Vol.8,臨時増刊,258-261,2011に解説されている) ホルマリン固定やアルコールに対しても安定した抗原で、マウス・ラットなどげっ歯類との相同性も高い。下図はFree floating section法でラット脳を染めたもの。(切片厚30μm) 神経膠細胞の突起が明瞭に観察される。 |
MERRRITSAA RRSYVSSGEM MVGGLAPGRR LGPGTRLSLA RMPPPLPTRV DFSLAGALNA GFKETRASER AEMMELNDRF ASYIEKVRFL EQQNKALAAE
LNQLRAKEPT KLADVYQAEL RELRLRLDQL TANSARLEVE RDNLAQDLAT VRQKLQDETN LRLEAENNLA AYRQEADEAT LARLDLERKI ESLEEEIRFL
RKIHEEEVRE LQEQLARQQV HVELDVAKPD LTAALKEIRT QYEAMASSNM HEAEEWYRSK FADLTDAAAR NAELLRQAKH EANDYRRQLQ SLTCDLESLR
GTNESLERQM REQEERHVRE AASYQEALAR LEEEGQSLKD EMARHLQEYQ DLLNVKLALD IEIATYRKLL EGEENRITIP VQTFSNLQIR ETSLDTKSVS
EGHLKRNIVV KTVEMRDGEV IKESKQEHKD VM (Bos:90% Mus:87% Rat:87%)
|
| Glucagon | |
|---|---|
![]() Glucagon 膵 X400 |
膵ラ氏島のα細胞より分泌されるアミノ酸29個、分子量約3400のペプチドホルモン。(Gene:2q36-37)肝細胞を標的とし Glycogenと脂質の加水分解を促進し、血糖値を上昇させる。カテコールアミン、GH、Gastrinにより分泌は促進され、Insulin、Somatostatinにより抑制される。機能性島細胞腫などを対象にホルマリン固定でも検出できるが、Glucagonなど分子量の小さいペプチドは固定状況によっては抗原の流出拡散による周囲細胞の過染が起こることがあり(左図では濃く発色しているのが本物)、ブアン固定の方が優れている。なお、この抗体は種特異性が低く、いろんな動物に使用できる。 |
MKSIYFVAGL FVMLVQGSWQ QDTEEKSRSL RSFSASQADP LSDPDQMNED KRHSQGTFTS DYSKYLDSRR AQDFVQWLMN TKRNRNNIAK RHDEFERHAE
GTFTSDVSSY LEGQAAKEFI AWLVKGRGRR DFPEEVAIVE ELGRRHADGS FSDEMNTILD NLAARDFINW LIQTKITDRK (53-81)
(Can/Bos/Sus/Mus/Rat:100% Gal:96%)
|
| Glucose transporter 1(GLUT-1) ( 別名:solute carrier family 2, facilitated glucose transporter member 1,SLC2A1) | |
|---|---|
![]() GLUT1 X400 |
グルコース輸送体 Glucose transporter(GLUT:グルット)は、その名の通り細胞膜を通過してGlucose分子を輸送する12回膜貫通型(N末端、C末端共に細胞質側)の膜蛋白のファミリーで、Solute carrier family 2(SLC2)とも呼ばれる。 GLUT-1(SLC2A1)は1p34.2の遺伝子にコードされた492aa、約54kDaの蛋白で殆んどの組織に発現しているが、解糖系に依存する赤血球で最も高頻度に発現しており、脳の血管内皮細胞でも比較的強くみられる。ホルマリン固定組織でも可。(御希望が多かったので受託可能リストに復活させました) |
MEPSSKKLTG RLMLAVGGAV LGSLQFGYNT GVINAPQKVI EEFYNQTWVH RYGESILPTT LTTLWSLSVA IFSVGGMIGS FSVGLFVNRF GRRNSMLMMN
LLAFVSAVLM GFSKLGKSFE MLILGRFIIG VYCGLTTGFV PMYVGEVSPT ALRGALGTLH QLGIVVGILI AQVFGLDSIM GNKDLWPLLL SIIFIPALLQ
CIVLPFCPES PRFLLINRNE ENRAKSVLKK LRGTADVTHD LQEMKEESRQ MMREKKVTIL ELFRSPAYRQ PILIAVVLQL SQQLSGINAV FYYSTSIFEK
AGVQQPVYAT IGSGIVNTAF TVVSLFVVER AGRRTLHLIG LAGMAGCAIL MTIALALLEQ LPWMSYLSIV AIFGFVAFFE VGPGPIPWFI VAELFSQGPR
PAAIAVAGFS NWTSNFIVGM CFQYVEQLCG PYVFIIFTVL LVLFFIFTYF KVPETKGRTF DEIASGFRQG GASQSDKTPE ELFHPLGADS QV
(Rat/Rab/Can/Mus/Bos:97-96%, Gal:88%)
|
| Glycophorin A ( 別名:Sialoglycoprotein α、MN sialoglycoprotein、PAS-2、CD235a ) | |
|---|---|
![]() GPA 骨髄 X400X4 |
Glycophorinは赤血球、赤芽球の細胞膜上のグルコース輸送蛋白で、A〜Eの5種類があり、MN式血液型の抗原蛋白でもある。Glycophorin A (GPA)はGene:4q31.21、前駆体として150aa、16kD。I 型膜貫通蛋白で細胞外に突き出したN末端側に多数のオリゴ糖が付加し、糖質中の陰イオンにより赤血球表面を(-)に荷電させ血管壁と反発させている。一方、細胞内のC末端側は側鎖を有し膜骨格を成すspectrinと結合し赤血球の細胞膜を安定させている。ホルマリン固定組織でも可能、赤芽球および赤芽球性の白血病(M6)の確認などに有用。 (左図は400倍で撮影した画像をさらに4倍に拡大している。) |
MYGKIIFVLL LSAIVSISAS STTGVAMHTS TSSSVTKSYI SSQTNDTHKR DTYAATPRAH EVSEISVRTV YPPEEETGER VQLAHHFSEP EITLIIFGVM
AGVIGTILLI SYGIRRLIKK SPSDVKPLPS PDTDVPLSSV EIENPETSDQ
|
| Glypican 3 ( 別名:MXR7,OCI-5 ) | |
|---|---|
![]() GPC3 肝 HCC X400 |
Glypican(GPC)ファミリーは、Glycosylphosphatidylinositol(GPI)アンカーを介して細胞膜に結合するヘパラン硫酸プロテオグリカン(HSPG)で、哺乳類では6種類ほどが知られる。 このうち、Glypican 3 (GPC3、Gene:Xq26.2 GPC3、580aa、約60kDa)は胎児期肝細胞と肝細胞癌で過剰発現がみられ、特に正常の肝臓や良性の肝疾患では免疫組織化学的には検出できないが、肝細胞癌(HCC)では7割以上がGPC3陽性と言われ、過形成結節や肝硬変、あるいは転移性腫瘍との鑑別に利用できるバイオマーカーとして注目され、部分ペプチドワクチンを用いた臨床試験が行われている。(Nishimura Y.et al; "Usefulness of a novel oncofetal antigen, Glypican-3, for diagnosis and immunotherapy of hepatocellular carcinoma" Jap J Clin.Immunol. 31(5), 383-391, 2008) 他に肝芽腫、Melanoma、精巣の胚細胞性腫瘍(特にYolk sac tumor,Choriocarcinoma)などでも発現がみられる。種間交差性も高く、ホルマリン固定組織でも熱処理で可能、主に細胞膜、時に細胞質に顆粒状に反応。 N末端側で切断されて可溶性となった部分(sGPC3)は血清学的な肝細胞癌のマーカーとして利用されている(Hippo Y,et al.;"Identification of Soluble NH2-Terminal Fragment of Glypican-3 as a Serological Marker for Early-Stage Hepatocellular Carcinoma",Cancer Res.64(7): 2418-2423,2004) |
MAGTVRTACL VVAMLLSLDF PGQAQPPPPP PDATCHQVRS FFQRLQPGLK WVPETPVPGS DLQVCLPKGP TCCSRKMEEK YQLTARLNME QLLQSASMEL
KFLIIQNAAV FQEAFEIVVR HAKNYTNAMF KNNYPSLTPQ AFEFVGEFFT DVSLYILGSD INVDDMVNEL FDSLFPVIYT QLMNPGLPDS ALDINECLRG
ARRDLKVFGN FPKLIMTQVS KSLQVTRIFL QALNLGIEVI NTTDHLKFSK DCGRMLTRMW YCSYCQGLMM VKPCGGYCNV VMQGCMAGVV EIDKYWREYI
LSLEELVNGM YRIYDMENVL LGLFSTIHDS IQYVQKNAGK LTTTIGKLCA HSQQRQYRSA YYPEDLFIDK KVLKVAHVEH EETLSSRRRE LIQKLKSFIS
FYSALPGYIC SHSPVAENDT LCWNGQELVE RYSQKAARNG MKNQFNLHEL KMKGPEPVVS QIIDKLKHIN QLLRTMSMPK GRVLDKNLDE EGFESGDCGD
DEDECIGGSG DGMIKVKNQL RFLAELAYDL DVDDAPGNSQ QATPKDNEIS TFHNLGNVHS PLKLLTSMAI SVVCFFFLVH (Bos:95%,Mus/Rat:93%)
|
| Granulocyte colony stimulating factor (G-CSF) | |
|---|---|
![]() G-CSF 骨髄 X400X4 ![]() G-CSF 肝癌(間接法) X400 |
G-CSF(Gene:17q11-q12)はCSF3, Pluripoietin, Filgrastim, Lenograstimとも言われる単量体の分泌蛋白で、前駆体として約25kD、207aaと204aaのアイソフォームがあり、IL-6と一部相同性がある。主に顆粒球の分化・増殖および貪食やスーパーオキシド産生などの機能の促進因子として作用するサイトカインの一種。 TNFやIL-1の刺激により線維芽細胞、血管内皮、骨髄、単球/マクロファージなどから分泌される。細胞質にびまん性、時に小ドット状に反応する。ホルマリン固定組織では検出しにくいこともあり、熱処理が有効な時がある。 (御要望が多かったためリストに復活させましたが、以前に使用していた抗体は入手できなくなったため、代替抗体を使用します。左下図のように、新しい抗体でも熱処理によってホルマリン固定パラファン切片で反応していますが、未だ新しい抗体での使用経験は豊富ではありませんので、予期せぬ反応が起こらないかどうかの検証は不充分であり、今後の課題と言えます。御了承下さい。) |
MAGPATQSPM KLMALQLLLW HSALWTVQEA TPLGPASSLP QSFLLKCLEQ VRKIQGDGAA LQEKLVSECA TYKLCHPEEL VLLGHSLGIP WAPLSSCPSQ
ALQLAGCLSQ LHSGLFLYQG LLQALEGISP ELGPTLDTLQ LDVADFATTI WQQMEELGMA PALQPTQGAM PAFASAFQRR AGGVLVASHL QSFLEVSYRV
LRHLAQP (30-207) (Bos:80 Fel:80 Ovi:80 Can:79 Equ:79 Sus:78 Rat:72 Mus:71 Gal:38%)
|
![]() GM-CSF 肺 X400 |
GM-CSF(Gene:5q23-q31)はIL-3と構造的に類似したアミノ酸144個(precursorとして)、分子量約23kD(糖の修飾により変わる)の単量体糖蛋白で、顆粒球、マクロファージの分化・増殖の促進因子として作用するサイトカインの一種。 G-CSFやM-CSFと同様に線維芽細胞、血管、骨髄、単球/マクロファージなどから分泌されるが、GM-CSFは活性化したTリンパ球からも出される。また標的となる細胞も他のCSFと同様に顆粒球、マクロファージに作用するほか肥満細胞、血管内皮細胞や胎盤絨毛上皮細胞などにも作用することが知られている。ホルマリン固定組織では検出しにくいことがあるが熱処理により可能なこともある。
(抗体残量が乏しいためリストより削除しました) |
MWLQSLLLLG TVACSISAPA RSPSPSTQPW EHVNAIQEAR RLLNLSRDTA AEMNETVEVI SEMFDLQEPT CLQTRLELYK QGLRGSLTKL KGPLTMMASH
YKQHCPPTPE TSCATQIITF ESFKENLKDF LLVIPFDCWE PVQE
|
| Granzyme B | |
|---|---|
![]() Granzyme B リンパ腫 X400 |
Granzymeは細胞傷害性Tリンパ球(CTL)や Natural killer細胞(NK細胞)の細胞質内のアズール顆粒(Granules)に含まれるキモトリプシン様のセリンプロテアーゼに属する酵素(Enzyme:EC3.4.21.79)で、マウスではA〜Gくらいまで知られている。ヒトのGranzyme Bは29kD(33kDと書いている資料もある)の単量体で、遺伝子座は14q11.2。脱顆粒によりPerforinとともに分泌されると標的となる細胞内に入り込みCytochrome Cの遊離を促しCaspase3をFragmentに分解し活性化させApoptosisを惹起するところからFragmentinとも呼ばれる。 CTL,NK細胞、の他EBV陽性のホジキン病でのRS細胞や悪性腫瘍でも発現が見られることがあるといわれる。ホルマリン固定組織では熱処理が必要。細胞質内にドット状〜顆粒状に反応する。 |
MQPILLLLAF LLLPRADAGE IIGGHEAKPH SRPYMAYLMI WDQKSLKRCG GFLIQDDFVL TAAHCWGSSI NVTLGAHNIK EQEPTQQFIP VKRPIPHPAY
NPKNFSNDIM LLQLERKAKR TRAVQPLRLP SNKAQVKPGQ TCSVAGWGQT APLGKHSHTL QEVKMTVQED RKCESDLRHY YDSTIELCVG DPEIKKTSFK
GDSGGPLVCN KVAQGIVSYG RNNGMPPRAC TKVSSFVHWI KKTMKRY
|
| Green fluorescent protein (GFP) | |
|---|---|
![]() GFP Formalin固定組織 X400 |
GFPは海洋生物学者の下村 脩が1960年代にオワンクラゲ Aquorea victoria から発見した238aa、約27kDaの蛋白質で、励起光(最大吸収波長395nm)を受けると509nmをピークとする緑色蛍光を発する。 90年代に入り、GFP遺伝子の同定・クローニング、異種細胞への導入・発現の成功とともにレポーター遺伝子として利用されるようになった。N末端から65番目のS(Ser)-Y(Tyr)-G(Gly)が発色団形成の中心となっており、このSをT(Thr)に置換したS65Tや64番目のF(Phe)をL(Leu)に変えたものなどの変異型も作られている。ホルマリン固定後はGFPの蛍光が弱くなりやすく本抗体での免疫組織化学が役立つ。 |
MSKGEELFTG VVPVLVELDG DVNGQKFSVS GEGEGDATYG KLTLNFICTT GKLPVPWPTL VTTFSYGVQC FSRYPDHMKQ HDFFKSAMPE GYVQERTIFY
KDDGNYKTRA EVKFEGDTLV NRIELKGIDF KEDGNILGHK MEYNYNSHNV YIMGDKPKNG IKVNFKIRHN IKDGSVQLAD HYQQNTPIGD GPVLLPDNHY
LSTQSALSKD PNEKRDHMIL LEFVTAARIT HGMDELYK (Aquorea victoria)
|
| Gross cystic disease fluid protein-15 (GCDFP15) ( 別名:BRST-2,PIP,GP17,SABP ) | |
|---|---|
![]() GCDFP15 乳癌 X400 |
分子量約16kDの単量体分泌型の糖蛋白(Gene:7q34)で、Prolactin inducible protein(PIP)、Secretory actin binding protein(SABP)とも呼ばれる。皮膚アポクリン汗腺などに反応し、汗腺や一部の唾液腺由来の腫瘍でも陽性となる。乳腺ではアポクリン化生細胞のほか一部の乳管上皮細胞で陽性となるが、乳癌ではアポクリン癌以外の乳管癌でも部分的にでも陽性所見が見られる症例も多い。(浸潤性乳管癌における陽性症例率は1/3-1/2といわれる→北大DB「immu〜no」GCDFP15の項より引用) 一方、乳腺以外に由来する腺癌では陰性のことが多いのでα-Lactalbumin,HMFGや ER,PGR等と共に転移性乳癌の確認にも利用される。 (Paget病に関しては乳房外Paget病ではGCDFP15陽性であるのに対して、乳房Paget病では通常陰性であるとの報告もある。) 【B】BRST-2の項参照 |
MRLLQLLFRA SPATLLLVLC LQLGANKAQD NTRKIIIKNF DIPKSVRPND EVTAVLAVQT ELKECMVVKT YLISSIPLQG AFNYKYTACL CDDNPKTFYW DFYTNRTVQI AAVVDVIREL GICPDDAAVI PIKNNRFYTI EILKVE (29-146) |
(別名:Neuromodulin, Neural phosphoprotein B-50, PP46, Axonal membrane protein GAP-43) | |
|---|---|
| GAP43は軸索の伸長とシナプス形成に関わり、protein kinase Cにより特異的にリン酸化される蛋白(Gene:3q13.1, 238aa, 約25kD)で、calmodulinとの結合性を有し Neuromodulinとも呼ばれる。再生神経線維の成長円錐growth cone(側芽の先端にあってイオンチャネルの蓄積する膨んだ部分)のmajor componentであり、広範な神経系で特に傷害後の再生ニューロンに強く発現する。比較的種間相同性が高い。ホルマリン固定組織用抗体。(抗体の期限切れに伴いリストより削除しました) | |
MLCCMRRTKQ VEKNDDDQKI EQDGIKPEDK AHKAATKIQA SFRGHITRKK LKGEKKDDVQ AAEAEANKKD EAPVADGVEK KGEGTTTAEA APATGSKPDE
PGKAGETPSE EKKGEGDAAT EQAAPQAPAS SEEKAGSAET ESATKASTDN SPSSKAEDAP AKEEPKQADV PAAVTAAAAT TPAAEDAAAK ATAQPPTETG
ESSQAEENIE AVDETKPKES ARQDEGKEEE PEADQEHA
|
| Growth hormone (GH, hGH) ( 別名:Somatotropic hormone:STH, Somatotropin ) | |
|---|---|
![]() GH 下垂体腺腫 X400 |
GH-RH(GRF)の刺激により下垂体前葉の好酸性細胞(Somatotroph cell)で産生分泌されるペプチドホルモン。Somatostatin(GIF)により抑制される。アミノ酸191個、分子量約21500(Gene:17q22-q24)の他、分子量の異なる数種のvriantがある。肝、腎、筋肉、胸腺、脂肪細胞などに受容体があり、インスリン様成長因子(IGF)の生成分泌により軟骨細胞増殖、コンドロイチン硫酸合成、蛋白同化の促進など成長促進作用を示すほか、脂肪細胞での脂肪分解、血糖上昇、インスリン拮抗作用、小腸でのCa吸収促進、胸腺のチミュリン分泌促進さらにプロラクチン様作用など多彩な作用を持つ。 GH産生性下垂体腺腫などが対象となり、ホルマリン固定でも検出できるが固定状況によっては抗原量が多い場合に流出によりバックグランドが過染状態になることがあり、ブアン固定の方が優れている。 (あまり知られていないが、実はclass I サイトカインファミリーの一員でもある。) |
MATGSRTSLL LAFGLLCLPW LQEGSAFPTI PLSRLFDNAM LRAHRLHQLA FDTYQEFEEA YIPKEQKYSF LQNPQTSLCF SESIPTPSNR EETQQKSNLE
LLRISLLLIQ SWLEPVQFLR SVFANSLVYG ASDSNVYDLL KDLEEGIQTL MGRLEDGSPR TGQIFKQTYS KFDTNSHNDD ALLKNYGLLY CFRKDMDKVE
TFLRIVQCRS VEGSCGF (27-217)
|
























